Skip to main content
Skip to main content

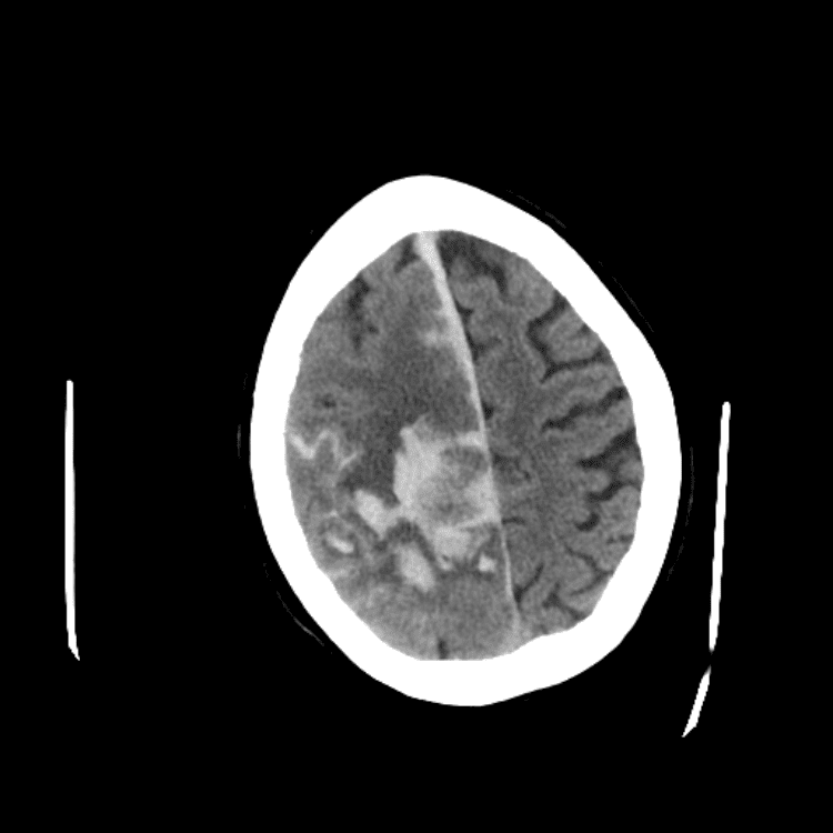
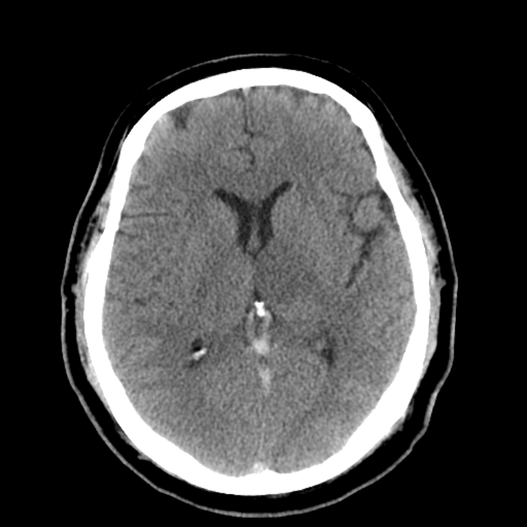
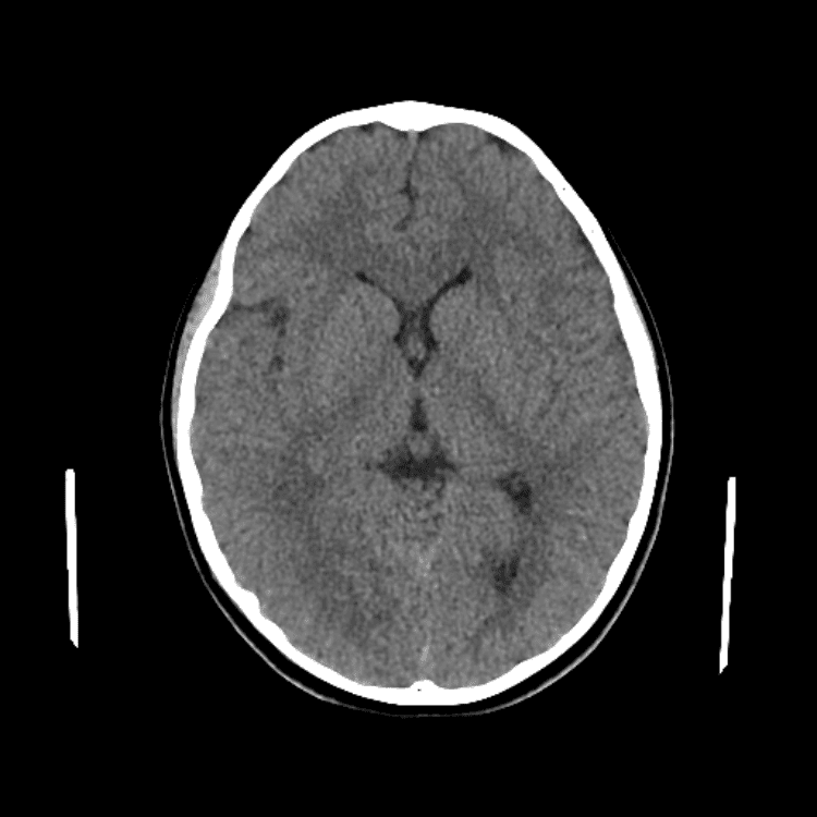
Nontraumatic Brain

Classic

Includes classic examples of cases commonly seen on call.

33 cases
Practice

Simulates call by including subtle or difficult cases and some normals.

31 cases