Twelve Courses and Counting
Review cases with classic "textbook" pathology. Once you've mastered the basics, move on to practice cases with more challenging or subtle findings.
Neuro CT
Peds Radiographs
Chest CT
Body CT
Ultrasound
75 cases Covering OB/GYN, GI/GU, and more
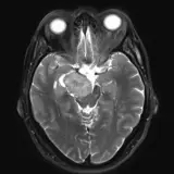
Neuro MRI
MSK Radiographs
Chest Radiographs
Abdominal Radiographs
Brain Tumors
Congenital Hearing Loss
A review of congenital hearing loss, including an approach to cochlear abnormalities
13 cases
Neurodegenerative
Practice is Key
Oftentimes the key to nailing a difficult radiology case is having seen a similar case before. Practice with over 1,500 carefully selected cases covering a comprehensive list of diagnoses.
Interactive Radiology Cases
Scroll, pan, window, and zoom
Cases are interactive, just like on a work PACS. All you need is a modern browser, which means you can learn radiology at home or on the go.
Efficient Learning
Carefully selected case sets
Master classic and atypical appearances of pathologies more efficiently than haphazardly reviewing cases at work. Cases include sample reports, focused discussions, annotated images, and reputable references.
100+ CME Available
On-Call Radiology Resources
Helpful resources while on the clock
The Pediatric Normals by Age, Body CT Incidental Findings, and Neuro CT Mimics resources were specifically created to help on call. Select illustrations are accessible via the media index.
Trusted by Programs of All Sizes
If CaseStacks existed when I was an R1 or R2, I absolutely would have paid for the service for a few months before starting call. It would’ve been invaluable for my confidence going into a challenging experience.
Ben White, MD
benwhite.com
👉 View the review
Features

Interactive Cases

Track Your Progress
Keyboard Shortcuts
Cases are optimized for efficiency with extensive keyboard shortcuts

Seamless CME
Earn 100+ CME credit hours by completing cases

Example Case Reports

Saved Cases
Call Simulator
Shuffle cases from our courses and submit your own prelim report

Program Director Dashboard INSTITUTIONS
Program directors can monitor resident progress

Annotated Images

Quality References
Dark Mode
Toggle dark mode for easier viewing of cases in dim light
Radiology Trainees & Radiologists
Courses are designed for call preparation, but also useful for preparing for new rotations or refreshing your knowledge of topics outside your specialty.
An Ideal Resource For
Providers in Other Specialties
Courses cover "must-know" diagnoses pertinent to a variety of specialties, including: EM, orthopedics, pediatrics, neurology, and neurosurgery.
Medical Students
Our medical school curriculum and anatomy modules are ideal for medical students wanting to improve their imaging interpretation prior to rotations, internship, or residency. Contact us for details.
Additional Resources
Peds Normals by Age
Database of reference normal radiographs, CTs, and MRIs by child age from birth to age 16
Neuro CT Mimics
Visual reference of common pathology mimics on CT
Incidental CT Findings Guidelines
Quick reference to recent consensus guidelines for managing incidental findings found on CT imaging of the chest, abdomen, and pelvis
Medical School Anatomy Modules
Labeled radiographs and scrollable CT/MRI series teaching radiologic anatomy in a level of detail appropriate for medical students









