跳转到主要内容
Skip to main content

学习放射学的更好方式

1,900+ 个必学交互式病例,由放射科医师精心策划,并根据您的培训阶段量身定制。

显示视频文字记录

Learning radiology can be intimidating... but it doesn't have to be.

Meet CaseStacks.

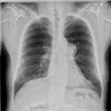
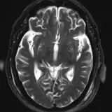
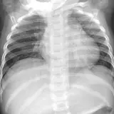
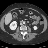
Over 2,100 interactive radiology cases, curated by radiologists for your level of training. Scroll, window, and view cases full screen — just like on PACS. Click linked findings in each writeup to jump straight to them on the image. Cases include sample reports, a focused discussion section, original illustrations, and videos.

Our site includes 3 main courses: Call Preparation, Introduction to Radiology, and Neuro Fellowship.

Call Preparation — our comprehensive curriculum for junior residents preparing for call covering both classic and atypical presentations. Use the call simulator to practice a real call shift — shuffle cases, enter your own preliminary report, and receive constructive AI feedback.

Intro to Radiology — a course coming later this year designed specifically for beginners. Terms are defined inline, lessons include introductory videos, and cases include guided video reviews by a radiologist who steps you through every finding. Lessons also include high-yield multiple choice questions that reinforce what you've learned and prepare you for boards.

Neuro Fellowship — a course tailored for fellows and practicing radiologists with in-depth reviews of advanced neuro topics like brain tumors, featuring rare diagnoses, differentials, and clinical pearls.

Have a question on any case? Simply ask Voxel, our AI radiology tutor, tailored to your level of training and aware of the case you're studying.

The entire platform is packed with features like dark mode, text-to-speech, in-depth progress tracking, and the ability to earn CME credits and certificates.

Every lesson includes free cases. Upgrade to PRO to unlock the full library.

精心策划的课程与交互式病例

比在工作中随意浏览病例更高效地掌握各类病变的经典与非典型表现。

正在加载查看器…

  • 交互式病例

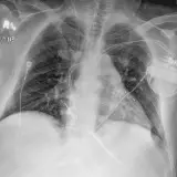
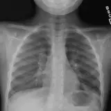
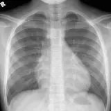
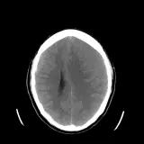
    完全交互式病例,配备您在 PACS 上期待的各项工具——滚动、调窗、缩放、平移、测量、ROI 和全屏模式。

  • 关联标注

    丰富的标注直接在病例图像上突出关键发现。点击病例讲解中的关联发现,即可跳转至其在扫描上的精确位置。

  • 随时随地学习

    在任何支持现代浏览器的设备上访问您的学习资料。我们集成了大量工具与功能 ↓,助您更聪明地学习。

高效学习

聚焦数量与效率。病例附带示例初步报告,我们的 Call Simulator 会以打乱顺序、限时训练的方式运行,并对您提交的每份报告给出 AI 反馈。

开始使用

证书和 CME

完成任何课程即可立即获得免费结业证书。非官方认证。

完成病例以获得 CME。支付费用以申领您的 CME — 最多可获得 105 个 AMA PRA Category 1™ 学分

了解更多

功能丰富

我们致力于不断改进和完善网站。

交互式病例

像在工作站 PAC 上一样滚动、平移、调窗和缩放

进度追踪

登录即可标记病例完成并追踪您的学习进度

键盘快捷键

丰富的键盘快捷键让病例学习更高效

无缝 CME

完成病例可获取最多 105 CME 学分

示例病例报告

每个病例均附带简短的示例报告,帮助您掌握措辞

收藏病例

登录后点击病例页面的星标即可收藏病例

Call Simulator

从我们的课程中随机打乱病例,并提交您自己的初步报告

Program Director 面板

Program Director 可监督住院医师的学习进度

标注图像

通过标注的影像发现与示意图高效学习

优质参考文献

每个病例都附带为清晰度与质量精选的参考文献

深色模式

切换深色模式,在昏暗环境中更舒适地查看病例

New

全天候 Lofi 音乐

精选 Lofi 音乐,伴您学习

New

番茄钟

使用我们内置且可自定义的番茄钟保持专注

New

多语言支持

本站支持九种语言

更多详情 →
New

文字转语音

在查看病例时收听病例讲解的朗读

New

语音录入报告

像在工作中一样语音录入您的 Call Simulator 报告

New

笔记

为每个病例记录笔记,巩固您的学习

New

术语

将鼠标悬停在放射学关键术语上,即可以无缝浮层形式查看定义

New

徽章

达成里程碑时获得徽章,建立您的信心

New

学习连续天数

通过每日连续学习积累势头

New

排行榜

查看您和您所在项目在全球的排名

AI 驱动的工具

Beta

专为放射学培训者打造 — 无论您是在学习病例、准备值班,还是在阅片工作站上查阅随访指南。

用户评价

"如果我在 R1 或 R2 时就有 CaseStacks,我一定会在开始值班前付费使用这项服务。它对于增强我面对挑战性经历的信心来说,将是无价的。"

Ben White, MD

Associate Program Director,Baylor University

阅读完整评价
"[CaseStacks] 是一个出色的教育资源,为即将开始值班的住院医师提供主动、实用的准备。"
Dr. Carol Geer

Carol Geer, MD

神经放射科医师,Wake Forest

"能够切换序列、主动调窗并真正操控图像,这种学习方式让知识牢牢扎根,单纯读书远远做不到。"
Dr. Joe Wilson

Joe Wilson, MD

Assistant Professor,U Chicago

"给 R1 们的建议:放射科住院医培训就是一场数量游戏。我找到的用于 R1 轮转和 Call Prep 的最佳资源就是 @CaseStacks。"
Vedant Acharya

Vedant Acharya, MD

IR/DR PGY-3,UPenn

"#RadRes 学习放射学最好的方式之一,就是尽可能多地查看并与病例互动。"
Paul M. Bunch

Paul M. Bunch, MD

神经放射科医师,Wake Forest

"我问我的住院医师是怎么懂这么多放射学的,他告诉我是因为你!"
Maria Velasco

Maria Velasco, MD

心胸放射科医师,USF

"@CaseStacks 是 R1 后期和值班前最有帮助的资源之一。"
Ali Tejani

Ali Tejani, MD

神经放射科 Fellow,UCSF

"真正的参与不能只是坐在住院医师身后,让学生每 10 分钟问一个问题。必须通过像 @CaseStacks 这样的方式,用真实病例向学生展示与讲解。"
Adam Petraglia

Adam Petraglia, MD

放射科住院医师,Wake Forest

"演示了这款产品,非常出色!界面简洁,具备自主学习与测验功能。是绝佳的学习工具与评估工具。"
Courtney Tomblinson

Courtney Tomblinson, MD

神经放射科医师 & Fellowship Director,Vanderbilt

"我是 CaseStacks 的忠实粉丝,尤其是用于 Call Prep!"
Xiao Wu

Xiao Wu, MD

IR/DR 住院医师,UCSF

"特别是一年级和二年级的住院医师很喜欢 @CaseStacks。它似乎通过对经典病例的讲解传达了扎实的基础。"
Alexander Rand

Alexander Rand, MD

乳腺影像与综合放射科医师

"我在放射科住院医培训中最喜欢的学习资源就是 @CaseStacks,他们拥有无与伦比的 neuro 病例收藏。"
Sagar Wagle

Sagar Wagle, MD

肌肉骨骼放射科 Fellow,Stanford

"+1 给 casestacks。每次回到夜班前,我都会提前过一遍尽可能多的病例(以及所有 neuro 病例)来复习。它是个高质量的产品,也是住院医师教育基金的绝佳用途。"
eggztyrone

eggztyrone

放射科住院医师 · r/Residency

数据说话

受到全球数千名医学专业人士的信赖

📈
1,900+
病例
😲
1.6M+
已完成病例
🌍
77+
国家
🤝
慈善合作伙伴

常见问题

准备好升级到 PRO 了吗?

加入数千名住院医师和培训者,一起学习放射学