Skip to main content
Case #3
Demographics: 44 years old, Female
Indication: Knee pain

Case #3

Findings

  • No acute fracture
  • Lateral patellar dislocation
  • Moderate joint effusion

Diagnosis

Patellar dislocation

Sample Report

No acute fracture.

Lateral patellar dislocation.

Moderate joint effusion.

Joint spaces are maintained.

Discussion

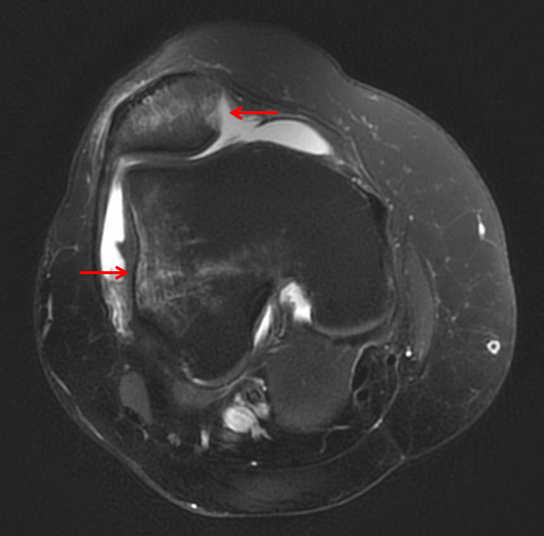
  • The patella most commonly dislocates laterally, which is often transient, such that there may be no radiographic abnormalities by the time the patient is imaged
  • MRI often shows a “kissing contusion” pattern with bone contusions along the medial patella and lateral femoral condyle at the sites of impact
  • MRI may also show associated injury to the medial patellofemoral ligament (MPFL) or medial retinaculum
  • There are predisposing factors to patellar dislocation including trochlear dysplasia and patella alta, which will not be discussed further here

Annotated Images & Illustrations

Sequela of lateral patellar dislocation. MRI in this patient shows kissing contusions in the medial patella and lateral femoral condyle (red arrows).

Sequela of lateral patellar dislocation. MRI in this patient shows kissing contusions in the medial patella and lateral femoral condyle (red arrows).

Site Feedback

Your feedback helps us improve CaseStacks. Please share your thoughts, suggestions, or report any issues you've encountered.

/5
Thank you for your feedback! We appreciate your input.