Neuro CT Mimics
Normal variants that mimic pathology
Case 1
Free
Wormian Bones
Case 2
Free
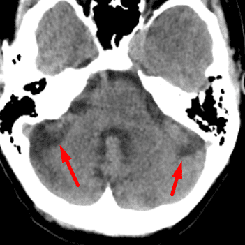
Pseudo-Subarachnoid Hemorrhage
Case 3
Free
Postoperative Ocular Device
Case 4
Free
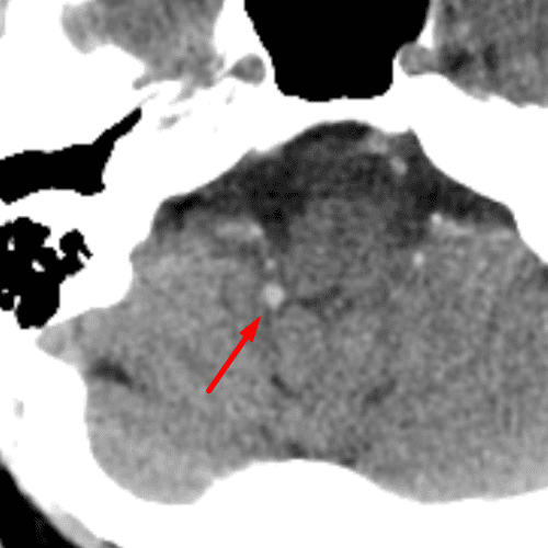
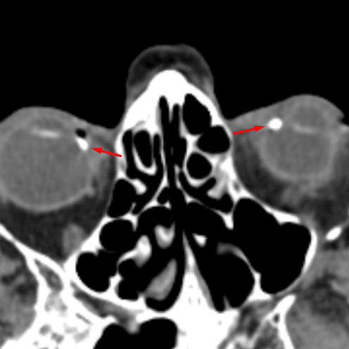
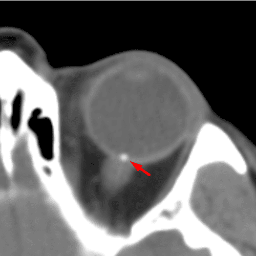
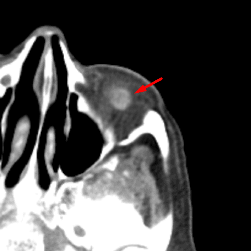
Trochlear Calcification
Case 5
Free
Pre-Mental Fat Pad
Case 6
Free
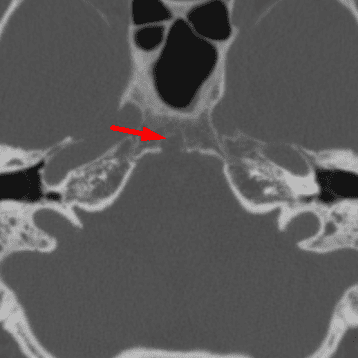
Medial Occipital Condyle "Notch"
Case 7
Free
Cerebellar Horizontal Fissure
Case 8
Free
Limbus Vertebra
Case 9
Free
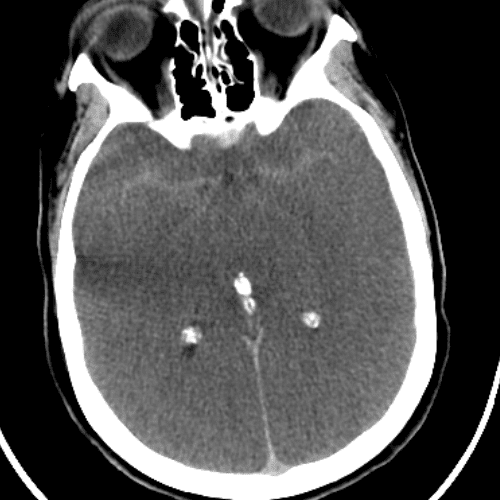
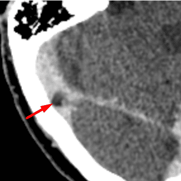
Cortical Vein
Case 10
Free
Choroid Plexus in Foramina of Luschka
Case 11
Free
Enlarged Parietal Foramina
Case 12
Free
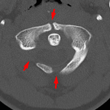
Congenital Anomalies of C1
Case 13
Free
Optic Disc Drusen
Case 14
Free
Tornwaldt Cyst
Case 15
Free
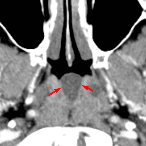
Ecchordosis Physaliphora
Case 16
Free
Metopic Suture
Case 17
Free
Mendosal Suture
Case 18
Free
Flocculus
Case 19
Free
Arachnoid Granulation
Case 20
Free
Calcific Scleral Plaques
Case 21
Free
Inferior Oblique Muscle
Case 22
Free