Vai al contenuto principale
Skip to main content

Un Modo Migliore per Imparare la Radiologia

Oltre 1.900 casi interattivi imprescindibili, selezionati con cura da radiologi e adattati al tuo livello di formazione.

Mostra trascrizione video

Learning radiology can be intimidating... but it doesn't have to be.

Meet CaseStacks.

Over 2,100 interactive radiology cases, curated by radiologists for your level of training. Scroll, window, and view cases full screen โ€” just like on PACS. Click linked findings in each writeup to jump straight to them on the image. Cases include sample reports, a focused discussion section, original illustrations, and videos.

Our site includes 3 main courses: Call Preparation, Introduction to Radiology, and Neuro Fellowship.

Call Preparation โ€” our comprehensive curriculum for junior residents preparing for call covering both classic and atypical presentations. Use the call simulator to practice a real call shift โ€” shuffle cases, enter your own preliminary report, and receive constructive AI feedback.

Intro to Radiology โ€” a course coming later this year designed specifically for beginners. Terms are defined inline, lessons include introductory videos, and cases include guided video reviews by a radiologist who steps you through every finding. Lessons also include high-yield multiple choice questions that reinforce what you've learned and prepare you for boards.

Neuro Fellowship โ€” a course tailored for fellows and practicing radiologists with in-depth reviews of advanced neuro topics like brain tumors, featuring rare diagnoses, differentials, and clinical pearls.

Have a question on any case? Simply ask Voxel, our AI radiology tutor, tailored to your level of training and aware of the case you're studying.

The entire platform is packed with features like dark mode, text-to-speech, in-depth progress tracking, and the ability to earn CME credits and certificates.

Every lesson includes free cases. Upgrade to PRO to unlock the full library.

Corsi curati con casi interattivi

Padroneggia le presentazioni classiche e atipiche delle patologie in modo piรน efficiente rispetto alla revisione casuale dei casi al lavoro.

Caricamento del visualizzatore…

  • Casi interattivi

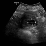
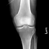
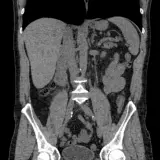
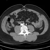
    Casi completamente interattivi con gli strumenti che ti aspetti su un PACS: scroll, windowing, zoom, pan, misurazioni, ROI e modalitร  a schermo intero.

  • Annotazioni collegate

    Annotazioni dettagliate evidenziano i reperti chiave direttamente sui casi. Clicca sui reperti collegati nella descrizione del caso per saltare alla loro esatta posizione sullo scan.

  • Studia ovunque, in qualsiasi momento

    Accedi ai tuoi materiali di studio da qualsiasi dispositivo con un browser moderno. Abbiamo integrato moltissimi strumenti e funzionalitร  โ†“ per aiutarti a studiare in modo piรน intelligente.

Impara in modo efficiente

Concentrati su volume ed efficienza. I casi includono esempi di referti preliminari, e il nostro call simulator gestisce sessioni casuali e a tempo con feedback IA su ogni referto che invii.

Inizia ora

Certificati & CME

Completa qualsiasi corso per ottenere istantaneamente un Certificato di Completamento gratuito. Non accreditato.

Completa i casi per guadagnare CME. Paga una quota per richiedere i tuoi CME โ€” fino a 105 crediti AMA PRA Category 1โ„ข disponibili.

Scopri di piรน

Ricco di funzionalitร 

Siamo ossessionati dal migliorare e perfezionare continuamente il sito.

Casi interattivi

Scorri, sposta, regola la finestra e ingrandisci proprio come su una postazione PACS di lavoro

Monitora i tuoi progressi

Accedi per segnare i casi come completati e monitorare i tuoi progressi

Scorciatoie da tastiera

I casi sono ottimizzati per l'efficienza con numerose scorciatoie da tastiera

CME senza interruzioni

Ottieni fino a 105 ore di crediti CME completando i casi

Referti di esempio

Ogni caso include un breve referto di esempio per aiutarti con la formulazione

Casi salvati

Accedi e clicca sulla stella nelle pagine dei casi per salvarli

Call Simulator

Mescola i casi dai nostri corsi e invia il tuo referto preliminare

Dashboard Program Director

I program director possono monitorare i progressi degli specializzandi

Immagini annotate

Studia in modo efficiente con reperti di imaging annotati e illustrazioni

Riferimenti di qualitร 

Ogni caso include riferimenti selezionati per chiarezza e qualitร 

Modalitร  scura

Attiva la modalitร  scura per una visualizzazione piรน confortevole dei casi in ambienti poco illuminati

Nuovo

Musica lofi 24/7

Musica lofi selezionata da ascoltare mentre studi

Nuovo

Timer Pomodoro

Resta concentrato usando il nostro timer pomodoro integrato e personalizzabile

Nuovo

Piรน lingue

Il nostro sito รจ disponibile in nove lingue

Maggiori dettagli โ†’
Nuovo

Sintesi vocale

Ascolta le descrizioni dei casi mentre li rivedi

Nuovo

Detta i tuoi referti

Detta i referti del call simulator come se fossi al lavoro

Nuovo

Appunti

Prendi appunti su ogni caso per consolidare l'apprendimento

Nuovo

Terminologia

Passa il mouse sui termini chiave di radiologia per vederne la definizione in un overlay integrato

Nuovo

Badge

Ottieni badge al raggiungimento di traguardi e costruisci la tua sicurezza

Nuovo

Serie di studio

Crea slancio con serie di studio giornaliere

Nuovo

Classifica

Scopri la tua posizione e quella del tuo programma a livello globale

Strumenti basati sull'IA

Beta

Pensati per gli specializzandi in radiologia — che tu stia studiando casi, preparandoti per la guardia o cercando linee guida per il follow-up alla postazione di refertazione.

Testimonianze

"Se CaseStacks fosse esistito quando ero R1 o R2, avrei sicuramente pagato per il servizio...prima di iniziare la guardia. Sarebbe stato preziosissimo per la mia sicurezza nell'affrontare un'esperienza impegnativa."

Ben White, MD

Associate Program Director alla Baylor University

Leggi la recensione completa
"[CaseStacks] รจ un'eccezionale risorsa formativa che offre una preparazione attiva e pratica per gli specializzandi che si preparano alla guardia."
Dr. Carol Geer

Carol Geer, MD

Neuroradiologa, Wake Forest

"La possibilitร  di cambiare le sequenze, regolare attivamente la finestra e davvero guidare l'esame aiuta a fissare i contenuti in modo che la semplice lettura di un libro non permette."
Dr. Joe Wilson

Joe Wilson, MD

Professore associato, U Chicago

"Per gli R1: la specializzazione in radiologia รจ un gioco di volume. La miglior risorsa che ho trovato per le rotazioni R1 e la preparazione alla guardia รจ stata @CaseStacks."
Vedant Acharya

Vedant Acharya, MD

IR/DR PGY-3, UPenn

"Uno dei modi migliori per i #RadRes di imparare la radiologia รจ vedere e interagire con il maggior numero di casi possibile."
Paul M. Bunch

Paul M. Bunch, MD

Neuroradiologo, Wake Forest

"Ho chiesto al mio specializzando come facesse a sapere giร  cosรฌ tanta radiologia e mi ha detto che รจ merito tuo!"
Maria Velasco

Maria Velasco, MD

Radiologa cardiotoracica, USF

"@CaseStacks รจ stata una delle risorse piรน utili a fine R1/prima di iniziare la guardia."
Ali Tejani

Ali Tejani, MD

Neuroradiology Fellow, UCSF

"Il vero coinvolgimento non puรฒ essere semplicemente stare seduti dietro lo specializzando e lasciare che lo studente faccia una domanda ogni 10 minuti. Bisogna mostrare e insegnare agli studenti attraverso casi reali con una modalitร  come @CaseStacks"
Adam Petraglia

Adam Petraglia, MD

Specializzando in radiologia, Wake Forest

"Ho fatto una demo di questo prodotto ed รจ stato fenomenale! Interfaccia pulita, funzionalitร  di studio autonomo e di quiz. Ottimo strumento per l'apprendimento e la valutazione."
Courtney Tomblinson

Courtney Tomblinson, MD

Neuroradiologa e Fellowship Director, Vanderbilt

"Sono una grande fan di CaseStacks, soprattutto per la preparazione alla guardia!"
Xiao Wu

Xiao Wu, MD

Specializzanda IR/DR, UCSF

"Gli specializzandi del primo e secondo anno in particolare si sono divertiti con @CaseStacks. Sembra che trasmetta bene i fondamenti con spiegazioni guidate di casi classici."
Alexander Rand

Alexander Rand, MD

Radiologo senologo e generale

"La mia risorsa formativa preferita durante la specializzazione in radiologia รจ stata @CaseStacks con la loro ineguagliabile raccolta di casi neuro."
Sagar Wagle

Sagar Wagle, MD

Fellow in radiologia muscoloscheletrica, Stanford

"+1 per casestacks. Ogni volta che torno alla guardia notturna, prima rivedo il maggior numero possibile di casi (e tutti i casi neuro) per rinfrescare la memoria. รˆ un prodotto di qualitร , e un ottimo uso del tuo fondo formazione come specializzando."
eggztyrone

eggztyrone

Specializzando in radiologia โ€ข r/Residency

In cifre

Scelto da migliaia di professionisti medici in tutto il mondo

๐Ÿ“ˆ
1,900+
Casi
๐Ÿ˜ฒ
1.6M+
Casi completati
๐ŸŒ
77+
Paesi
๐Ÿค
Partner benefici

Domande frequenti

Pronto a passare a PRO?

Unisciti a migliaia di specializzandi e tirocinanti che imparano la radiologia