Saltar al contenido principal
Skip to main content

Una Mejor Forma de Aprender Radiología

Más de 1.900 casos interactivos imprescindibles, cuidadosamente seleccionados por radiólogos y adaptados a su nivel de formación.

Mostrar transcripción del video

Learning radiology can be intimidating... but it doesn't have to be.

Meet CaseStacks.

Over 2,100 interactive radiology cases, curated by radiologists for your level of training. Scroll, window, and view cases full screen — just like on PACS. Click linked findings in each writeup to jump straight to them on the image. Cases include sample reports, a focused discussion section, original illustrations, and videos.

Our site includes 3 main courses: Call Preparation, Introduction to Radiology, and Neuro Fellowship.

Call Preparation — our comprehensive curriculum for junior residents preparing for call covering both classic and atypical presentations. Use the call simulator to practice a real call shift — shuffle cases, enter your own preliminary report, and receive constructive AI feedback.

Intro to Radiology — a course coming later this year designed specifically for beginners. Terms are defined inline, lessons include introductory videos, and cases include guided video reviews by a radiologist who steps you through every finding. Lessons also include high-yield multiple choice questions that reinforce what you've learned and prepare you for boards.

Neuro Fellowship — a course tailored for fellows and practicing radiologists with in-depth reviews of advanced neuro topics like brain tumors, featuring rare diagnoses, differentials, and clinical pearls.

Have a question on any case? Simply ask Voxel, our AI radiology tutor, tailored to your level of training and aware of the case you're studying.

The entire platform is packed with features like dark mode, text-to-speech, in-depth progress tracking, and the ability to earn CME credits and certificates.

Every lesson includes free cases. Upgrade to PRO to unlock the full library.

Cursos Seleccionados con Casos Interactivos

Domine las presentaciones clásicas y atípicas de las patologías de forma más eficiente que revisando casos al azar en el trabajo.

Cargando visor…

  • Casos Interactivos

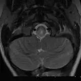
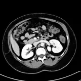
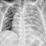
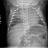
    Casos totalmente interactivos con las herramientas que esperaría de un PACS: scroll, ventana, zoom, pan, mediciones, ROI y modo de pantalla completa.

  • Anotaciones enlazadas

    Anotaciones extensas resaltan los hallazgos clave directamente sobre los casos. Haga clic en los hallazgos enlazados dentro de la descripción del caso para saltar a su ubicación exacta en el estudio.

  • Aprenda en cualquier momento y lugar

    Acceda a sus materiales de estudio desde cualquier dispositivo con un navegador moderno. Hemos incorporado un montón de herramientas y funciones ↓ para ayudarle a estudiar de forma más inteligente.

Aprenda de Forma Eficiente

Enfóquese en volumen y eficiencia. Los casos incluyen ejemplos de informes preliminares, y nuestro call simulator ejecuta sesiones cronometradas y aleatorias con retroalimentación de IA en cada informe que envía.

Comenzar

Certificados y CME

Complete cualquier curso para reclamar al instante un Certificado de Finalización gratuito. No acreditado.

Complete casos para obtener CME. Pague una tarifa para reclamar su CME — hasta 105 créditos AMA PRA Categoría 1™ disponibles.

Más información

Repleto de Funciones

Estamos obsesionados con mejorar y perfeccionar continuamente el sitio.

Casos Interactivos

Desplace, arrastre, ajuste ventana y amplíe como en una estación PACS de trabajo

Seguimiento de Progreso

Inicie sesión para marcar casos como completados y seguir su progreso

Atajos de Teclado

Los casos están optimizados para la eficiencia con numerosos atajos de teclado

CME Sin Complicaciones

Obtenga hasta 105 horas de crédito CME al completar casos

Informes de Caso de Ejemplo

Cada caso incluye un breve informe de ejemplo para ayudarle con la redacción

Casos Guardados

Inicie sesión y haga clic en la estrella de la página del caso para guardarlo

Call Simulator

Mezcle casos de nuestros cursos y envíe su propio informe preliminar

Panel del Program Director

Los directores de programa pueden supervisar el progreso de los residentes

Imágenes Anotadas

Aprenda con eficiencia gracias a hallazgos de imagen anotados e ilustraciones

Referencias de Calidad

Cada caso incluye referencias seleccionadas por su claridad y calidad

Modo Oscuro

Active el modo oscuro para visualizar casos con comodidad en poca luz

Nuevo

Música Lofi 24/7

Música lofi seleccionada para escuchar mientras estudia

Nuevo

Temporizador Pomodoro

Mantenga la concentración con nuestro temporizador pomodoro integrado y personalizable

Nuevo

Varios Idiomas

Nuestro sitio está disponible en nueve idiomas

Más detalles →
Nuevo

Texto a Voz

Escuche la descripción del caso mientras lo revisa

Nuevo

Dicte sus Informes

Dicte sus informes del call simulator como si estuviera en el trabajo

Nuevo

Notas

Tome notas en cada caso para reforzar su aprendizaje

Nuevo

Términos

Pase el cursor sobre los términos radiológicos clave para ver su definición como una superposición sutil

Nuevo

Insignias

Gane insignias al alcanzar hitos y construya su confianza

Nuevo

Rachas de Estudio

Cree impulso con rachas de estudio diarias

Nuevo

Tabla de Clasificación

Vea dónde se clasifican usted y su programa a nivel mundial

Herramientas con IA

Beta

Diseñadas para residentes de radiología — ya sea que esté estudiando casos, preparándose para las guardias o consultando pautas de seguimiento en la estación de lectura.

Testimonios

"Si CaseStacks hubiera existido cuando yo era R1 o R2, sin duda habría pagado por el servicio...antes de empezar las guardias. Habría sido invaluable para mi confianza al enfrentar una experiencia desafiante."

Ben White, MD

Subdirector de Programa en Baylor University

Leer reseña completa
"[CaseStacks] es un recurso educativo excepcional que ofrece preparación activa y práctica para los residentes que se preparan para las guardias."
Dr. Carol Geer

Carol Geer, MD

Neurorradióloga, Wake Forest

"La capacidad de cambiar secuencias, ajustar la ventana activamente y realmente interactuar ayuda a que el material se fije de una forma que simplemente leer un libro no logra."
Dr. Joe Wilson

Joe Wilson, MD

Profesor Asistente, U Chicago

"Para los R1: la residencia de radiología es un juego de volumen. El mejor recurso que encontré para las rotaciones de R1 y la preparación de guardias fue @CaseStacks."
Vedant Acharya

Vedant Acharya, MD

IR/DR PGY-3, UPenn

"Una de las mejores formas para que los #RadRes aprendan radiología es viendo e interactuando con la mayor cantidad posible de casos."
Paul M. Bunch

Paul M. Bunch, MD

Neurorradiólogo, Wake Forest

"¡Le pregunté a mi residente cómo sabía tanta radiología ya y me dijo que era gracias a usted!"
Maria Velasco

Maria Velasco, MD

Radióloga Cardiotorácica, USF

"@CaseStacks fue uno de los recursos más útiles al final del R1 y antes de empezar las guardias."
Ali Tejani

Ali Tejani, MD

Fellow de Neurorradiología, UCSF

"La verdadera participación no puede ser solo sentarse detrás del residente y dejar que el estudiante haga una pregunta cada 10 minutos. Hay que mostrar y enseñar a los estudiantes con casos reales a través de una modalidad como @CaseStacks"
Adam Petraglia

Adam Petraglia, MD

Residente de Radiología, Wake Forest

"¡Hice una demostración de este producto y fue fenomenal! Interfaz limpia, funciones autodirigidas y de cuestionarios. Excelente herramienta de aprendizaje y evaluación."
Courtney Tomblinson

Courtney Tomblinson, MD

Neurorradióloga y Directora de Fellowship, Vanderbilt

"¡Soy una gran fan de CaseStacks, especialmente para la preparación de guardias!"
Xiao Wu

Xiao Wu, MD

Residente IR/DR, UCSF

"Los residentes de primer y segundo año en particular han estado disfrutando @CaseStacks. Parece transmitir los fundamentos con recorridos de casos clásicos."
Alexander Rand

Alexander Rand, MD

Radiólogo general y de imagen mamaria

"Mi recurso de aprendizaje favorito en la residencia de radiología ha sido @CaseStacks, con su incomparable colección de casos de neuro."
Sagar Wagle

Sagar Wagle, MD

Fellow de radiología musculoesquelética, Stanford

"+1 para casestacks. Cada vez que vuelvo a las guardias nocturnas, repaso la mayor cantidad de casos posible de antemano (y todos los casos de neuro) solo para refrescar. Es un producto de calidad y un excelente uso de su fondo educativo como residente."
eggztyrone

eggztyrone

Residente de Radiología • r/Residency

En Números

La confianza de miles de profesionales médicos en todo el mundo

📈
1,900+
Casos
😲
1.6M+
Casos Completados
🌍
77+
Países
🤝
Socios Benéficos

Preguntas frecuentes

¿Listo para pasar a PRO?

Únase a miles de residentes y aprendices que estudian radiología