๋ฉ”์ธ ์ฝ˜ํ…์ธ ๋กœ ๊ฑด๋„ˆ๋›ฐ๊ธฐ
Skip to main content

์˜์ƒ์˜ํ•™์„ ๋ฐฐ์šฐ๋Š” ๋” ๋‚˜์€ ๋ฐฉ๋ฒ•

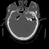
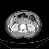
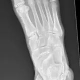
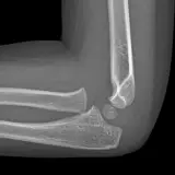
์˜์ƒ์˜ํ•™๊ณผ ์˜์‚ฌ๋“ค์ด ์—„์„ ํ•œ 1,900๊ฐœ ์ด์ƒ์˜ ์ธํ„ฐ๋ž™ํ‹ฐ๋ธŒ ํ•„์ˆ˜ ์ฆ๋ก€, ์ˆ˜๋ จ ์ˆ˜์ค€์— ๋งž๊ฒŒ ์ œ๊ณต๋ฉ๋‹ˆ๋‹ค.

์˜์ƒ ๋Œ€๋ณธ ๋ณด๊ธฐ

Learning radiology can be intimidating... but it doesn't have to be.

Meet CaseStacks.

Over 2,100 interactive radiology cases, curated by radiologists for your level of training. Scroll, window, and view cases full screen โ€” just like on PACS. Click linked findings in each writeup to jump straight to them on the image. Cases include sample reports, a focused discussion section, original illustrations, and videos.

Our site includes 3 main courses: Call Preparation, Introduction to Radiology, and Neuro Fellowship.

Call Preparation โ€” our comprehensive curriculum for junior residents preparing for call covering both classic and atypical presentations. Use the call simulator to practice a real call shift โ€” shuffle cases, enter your own preliminary report, and receive constructive AI feedback.

Intro to Radiology โ€” a course coming later this year designed specifically for beginners. Terms are defined inline, lessons include introductory videos, and cases include guided video reviews by a radiologist who steps you through every finding. Lessons also include high-yield multiple choice questions that reinforce what you've learned and prepare you for boards.

Neuro Fellowship โ€” a course tailored for fellows and practicing radiologists with in-depth reviews of advanced neuro topics like brain tumors, featuring rare diagnoses, differentials, and clinical pearls.

Have a question on any case? Simply ask Voxel, our AI radiology tutor, tailored to your level of training and aware of the case you're studying.

The entire platform is packed with features like dark mode, text-to-speech, in-depth progress tracking, and the ability to earn CME credits and certificates.

Every lesson includes free cases. Upgrade to PRO to unlock the full library.

์ธํ„ฐ๋ž™ํ‹ฐ๋ธŒ ์ฆ๋ก€๋กœ ๊ตฌ์„ฑ๋œ ์—„์„  ์ฝ”์Šค

์‹ค๋ฌด์—์„œ ์ฆ๋ก€๋ฅผ ๋ฌด์ž‘์œ„๋กœ ์ ‘ํ•˜๋Š” ๊ฒƒ๋ณด๋‹ค ํ›จ์”ฌ ํšจ์œจ์ ์œผ๋กœ ์งˆํ™˜์˜ ์ „ํ˜•์  ๋ฐ ๋น„์ „ํ˜•์  ์†Œ๊ฒฌ์„ ์ตํžˆ์„ธ์š”.

๋ทฐ์–ด ๋กœ๋”ฉ ์ค‘…

  • ์ธํ„ฐ๋ž™ํ‹ฐ๋ธŒ ์ฆ๋ก€

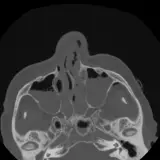
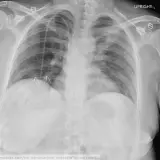
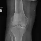
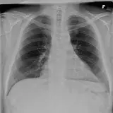
    PACS์—์„œ ๊ธฐ๋Œ€ํ•  ์ˆ˜ ์žˆ๋Š” ๋ชจ๋“  ๋„๊ตฌ๋ฅผ ๊ฐ–์ถ˜ ์™„์ „ํ•œ ์ธํ„ฐ๋ž™ํ‹ฐ๋ธŒ ์ฆ๋ก€ — ์Šคํฌ๋กค, ์œˆ๋„์šฐ ์กฐ์ ˆ, ํ™•๋Œ€/์ถ•์†Œ, ํŒจ๋‹, ๊ณ„์ธก, ROI, ์ „์ฒด ํ™”๋ฉด ๋ชจ๋“œ๊นŒ์ง€ ์ง€์›ํ•ฉ๋‹ˆ๋‹ค.

  • ์—ฐ๊ฒฐ๋œ ์ฃผ์„

    ์ฃผ์š” ์†Œ๊ฒฌ์„ ์ฆ๋ก€์— ์ง์ ‘ ํ‘œ์‹œํ•˜๋Š” ํ’๋ถ€ํ•œ ์ฃผ์„์ด ํฌํ•จ๋˜์–ด ์žˆ์Šต๋‹ˆ๋‹ค. ์ฆ๋ก€ ์„ค๋ช…์˜ ์—ฐ๊ฒฐ๋œ ์†Œ๊ฒฌ์„ ํด๋ฆญํ•˜๋ฉด ์Šค์บ” ๋‚ด ์ •ํ™•ํ•œ ์œ„์น˜๋กœ ๋ฐ”๋กœ ์ด๋™ํ•ฉ๋‹ˆ๋‹ค.

  • ์–ธ์ œ ์–ด๋””์„œ๋‚˜ ํ•™์Šต

    ์ตœ์‹  ๋ธŒ๋ผ์šฐ์ €๊ฐ€ ์žˆ๋Š” ๋ชจ๋“  ๊ธฐ๊ธฐ์—์„œ ํ•™์Šต ์ž๋ฃŒ์— ์•ก์„ธ์Šคํ•˜์„ธ์š”. ๋” ํšจ์œจ์ ์ธ ํ•™์Šต์„ ๋•๋Š” ๋‹ค์–‘ํ•œ ๋„๊ตฌ์™€ ๊ธฐ๋Šฅ โ†“์„ ์ œ๊ณตํ•ฉ๋‹ˆ๋‹ค.

์—ฐ์Šต์ด ํ•ต์‹ฌ์ž…๋‹ˆ๋‹ค

์–ด๋ ค์šด ์ฆ๋ก€๋ฅผ ์ •ํ™•ํžˆ ํŒ๋…ํ•˜๋Š” ๋น„๊ฒฐ์€ ๋Œ€๊ฐœ ์œ ์‚ฌํ•œ ์ฆ๋ก€๋ฅผ ์ด์ „์— ๋ณธ ์ ์ด ์žˆ๋Š”์ง€์— ๋‹ฌ๋ ค ์žˆ์Šต๋‹ˆ๋‹ค. ํฌ๊ด„์ ์ธ ์ง„๋‹จ ๋ชฉ๋ก์„ ์•„์šฐ๋ฅด๋Š” 1,900๊ฐœ ์ด์ƒ์˜ ์—„์„ ๋œ ์ฆ๋ก€๋กœ ์—ฐ์Šตํ•˜์„ธ์š”.

์ฆ๋ก€ ์ธ๋ฑ์Šค ๋ณด๊ธฐ

ํšจ์œจ์ ์œผ๋กœ ํ•™์Šตํ•˜์„ธ์š”

ํŒ๋…๋Ÿ‰๊ณผ ํšจ์œจ์— ์ง‘์ค‘ํ•˜์„ธ์š”. ์ฆ๋ก€์—๋Š” ์˜ˆ์‹œ ์˜ˆ๋น„ ๋ณด๊ณ ์„œ๊ฐ€ ํฌํ•จ๋˜์–ด ์žˆ์œผ๋ฉฐ, Call Simulator๋Š” ๋ฌด์ž‘์œ„๋กœ ์„ž์ธ ์‹œ๊ฐ„ ์ œํ•œ ์„ธ์…˜์„ ์ง„ํ–‰ํ•˜๋ฉด์„œ ์ œ์ถœํ•˜๋Š” ๋ชจ๋“  ๋ณด๊ณ ์„œ์— AI ํ”ผ๋“œ๋ฐฑ์„ ์ œ๊ณตํ•ฉ๋‹ˆ๋‹ค.

์‹œ์ž‘ํ•˜๊ธฐ

์ˆ˜๋ฃŒ์ฆ ๋ฐ CME

์•„๋ฌด ์ฝ”์Šค๋‚˜ ์™„๋ฃŒํ•˜๋ฉด ๋ฌด๋ฃŒ ์ˆ˜๋ฃŒ์ฆ์„ ์ฆ‰์‹œ ์ฒญ๊ตฌํ•  ์ˆ˜ ์žˆ์Šต๋‹ˆ๋‹ค. ๊ณต์ธ ์ธ์ฆ ์•„๋‹˜.

์ฆ๋ก€๋ฅผ ์™„๋ฃŒํ•˜์—ฌ CME๋ฅผ ํš๋“ํ•˜์„ธ์š”. ์ˆ˜์ˆ˜๋ฃŒ๋ฅผ ์ง€๋ถˆํ•˜๊ณ  CME๋ฅผ ์ฒญ๊ตฌํ•˜์„ธ์š” โ€” ์ตœ๋Œ€ 105 AMA PRA Category 1โ„ข ํฌ๋ ˆ๋”ง๊นŒ์ง€ ์ด์šฉ ๊ฐ€๋Šฅํ•ฉ๋‹ˆ๋‹ค.

์ž์„ธํžˆ ์•Œ์•„๋ณด๊ธฐ

ํ’๋ถ€ํ•œ ๊ธฐ๋Šฅ

์‚ฌ์ดํŠธ๋ฅผ ์ง€์†์ ์œผ๋กœ ๊ฐœ์„ ํ•˜๊ณ  ์™„์„ฑ๋„๋ฅผ ๋†’์ด๋Š” ๋ฐ ์ „๋ ฅ์„ ๋‹คํ•˜๊ณ  ์žˆ์Šต๋‹ˆ๋‹ค.

์ธํ„ฐ๋ž™ํ‹ฐ๋ธŒ ์ฆ๋ก€

์‹ค์ œ PACS ์›Œํฌ์Šคํ…Œ์ด์…˜์ฒ˜๋Ÿผ ์Šคํฌ๋กค, ํŒจ๋‹, ์œˆ๋„์šฐ ์กฐ์ ˆ, ํ™•๋Œ€/์ถ•์†Œ๊ฐ€ ๊ฐ€๋Šฅํ•ฉ๋‹ˆ๋‹ค

ํ•™์Šต ์ง„๋„ ์ถ”์ 

๋กœ๊ทธ์ธํ•˜์—ฌ ์ฆ๋ก€ ์™„๋ฃŒ๋ฅผ ํ‘œ์‹œํ•˜๊ณ  ํ•™์Šต ์ง„๋„๋ฅผ ์ถ”์ ํ•˜์„ธ์š”

ํ‚ค๋ณด๋“œ ๋‹จ์ถ•ํ‚ค

๋‹ค์–‘ํ•œ ํ‚ค๋ณด๋“œ ๋‹จ์ถ•ํ‚ค๋กœ ํšจ์œจ์ ์ธ ํ•™์Šต์— ์ตœ์ ํ™”๋˜์–ด ์žˆ์Šต๋‹ˆ๋‹ค

๊ฐ„ํŽธํ•œ CME

์ฆ๋ก€๋ฅผ ์™„๋ฃŒํ•˜์—ฌ ์ตœ๋Œ€ 105์‹œ๊ฐ„์˜ CME ํ•™์ ์„ ์ทจ๋“ํ•˜์„ธ์š”

์˜ˆ์‹œ ์ฆ๋ก€ ๋ณด๊ณ ์„œ

ํ‘œํ˜„์— ์ฐธ๊ณ ํ•  ์ˆ˜ ์žˆ๋Š” ๊ฐ„๋‹จํ•œ ์˜ˆ์‹œ ๋ณด๊ณ ์„œ๊ฐ€ ๊ฐ ์ฆ๋ก€์— ํฌํ•จ๋˜์–ด ์žˆ์Šต๋‹ˆ๋‹ค

์ €์žฅ๋œ ์ฆ๋ก€

๋กœ๊ทธ์ธ ํ›„ ์ฆ๋ก€ ํŽ˜์ด์ง€์˜ ๋ณ„ํ‘œ๋ฅผ ํด๋ฆญํ•˜์—ฌ ์ฆ๋ก€๋ฅผ ์ €์žฅํ•˜์„ธ์š”

Call Simulator

์ฝ”์Šค์˜ ์ฆ๋ก€๋ฅผ ๋ฌด์ž‘์œ„๋กœ ์„ž์–ด ์ง์ ‘ ์ž‘์„ฑํ•œ ์˜ˆ๋น„ ๋ณด๊ณ ์„œ๋ฅผ ์ œ์ถœํ•˜์„ธ์š”

ํ”„๋กœ๊ทธ๋žจ ๋””๋ ‰ํ„ฐ ๋Œ€์‹œ๋ณด๋“œ

ํ”„๋กœ๊ทธ๋žจ ๋””๋ ‰ํ„ฐ๊ฐ€ ์ „๊ณต์˜์˜ ํ•™์Šต ์ง„๋„๋ฅผ ๋ชจ๋‹ˆํ„ฐ๋งํ•  ์ˆ˜ ์žˆ์Šต๋‹ˆ๋‹ค

์ฃผ์„์ด ๋‹ฌ๋ฆฐ ์˜์ƒ

์ฃผ์„์ด ๋‹ฌ๋ฆฐ ์˜์ƒ ์†Œ๊ฒฌ๊ณผ ์ผ๋Ÿฌ์ŠคํŠธ๋กœ ํšจ์œจ์ ์œผ๋กœ ํ•™์Šตํ•˜์„ธ์š”

์–‘์งˆ์˜ ์ฐธ๊ณ ๋ฌธํ—Œ

๋ช…ํ™•์„ฑ๊ณผ ํ’ˆ์งˆ์„ ๊ธฐ์ค€์œผ๋กœ ์„ ๋ณ„๋œ ์ฐธ๊ณ ๋ฌธํ—Œ์ด ๋ชจ๋“  ์ฆ๋ก€์— ํฌํ•จ๋˜์–ด ์žˆ์Šต๋‹ˆ๋‹ค

๋‹คํฌ ๋ชจ๋“œ

์–ด๋‘์šด ํ™˜๊ฒฝ์—์„œ ์ฆ๋ก€๋ฅผ ํŽธ์•ˆํ•˜๊ฒŒ ๋ณด๋ ค๋ฉด ๋‹คํฌ ๋ชจ๋“œ๋กœ ์ „ํ™˜ํ•˜์„ธ์š”

์‹ ๊ทœ

24/7 Lofi ์Œ์•…

ํ•™์Šตํ•˜๋Š” ๋™์•ˆ ๋“ค์„ ์ˆ˜ ์žˆ๋Š” ์—„์„ ๋œ Lofi ์Œ์•…

์‹ ๊ทœ

ํฌ๋ชจ๋„๋กœ ํƒ€์ด๋จธ

๋‚ด์žฅ๋œ ๋งž์ถคํ˜• ํฌ๋ชจ๋„๋กœ ํƒ€์ด๋จธ๋กœ ์ง‘์ค‘๋ ฅ์„ ์œ ์ง€ํ•˜์„ธ์š”

์‹ ๊ทœ

๋‹ค๊ตญ์–ด ์ง€์›

๋ณธ ์‚ฌ์ดํŠธ๋Š” 9๊ฐœ ์–ธ์–ด๋กœ ์ œ๊ณต๋ฉ๋‹ˆ๋‹ค

์ž์„ธํžˆ ๋ณด๊ธฐ โ†’
์‹ ๊ทœ

ํ…์ŠคํŠธ ์Œ์„ฑ ๋ณ€ํ™˜

์ฆ๋ก€๋ฅผ ๊ฒ€ํ† ํ•˜๋Š” ๋™์•ˆ ์ฆ๋ก€ ์„ค๋ช…์„ ์Œ์„ฑ์œผ๋กœ ๋“ค์–ด๋ณด์„ธ์š”

์‹ ๊ทœ

๋ณด๊ณ ์„œ ์Œ์„ฑ ์ž…๋ ฅ

์‹ค๋ฌด์—์„œ์ฒ˜๋Ÿผ Call Simulator ๋ณด๊ณ ์„œ๋ฅผ ์Œ์„ฑ์œผ๋กœ ์ž…๋ ฅํ•˜์„ธ์š”

์‹ ๊ทœ

๋ฉ”๋ชจ

๊ฐ ์ฆ๋ก€์— ๋ฉ”๋ชจ๋ฅผ ์ž‘์„ฑํ•˜์—ฌ ํ•™์Šต ๋‚ด์šฉ์„ ๊ฐ•ํ™”ํ•˜์„ธ์š”

์‹ ๊ทœ

์šฉ์–ด ํ•ด์„ค

์ฃผ์š” ์˜์ƒ์˜ํ•™ ์šฉ์–ด ์œ„์— ๋งˆ์šฐ์Šค๋ฅผ ์˜ฌ๋ฆฌ๋ฉด ์ •์˜๊ฐ€ ์ž์—ฐ์Šค๋Ÿฝ๊ฒŒ ์˜ค๋ฒ„๋ ˆ์ด๋กœ ํ‘œ์‹œ๋ฉ๋‹ˆ๋‹ค

์‹ ๊ทœ

๋ฐฐ์ง€

์ฃผ์š” ๋‹ฌ์„ฑ ์‹œ์ ๋งˆ๋‹ค ๋ฐฐ์ง€๋ฅผ ํš๋“ํ•˜๊ณ  ์ž์‹ ๊ฐ์„ ํ‚ค์šฐ์„ธ์š”

์‹ ๊ทœ

ํ•™์Šต ์—ฐ์† ๊ธฐ๋ก

๋งค์ผ ์—ฐ์† ํ•™์Šต์œผ๋กœ ํ•™์Šต ํƒ„๋ ฅ์„ ์œ ์ง€ํ•˜์„ธ์š”

์‹ ๊ทœ

๋ฆฌ๋”๋ณด๋“œ

์ „ ์„ธ๊ณ„ ๋ฐ ํ”„๋กœ๊ทธ๋žจ๋ณ„ ์ˆœ์œ„์—์„œ ๋ณธ์ธ์˜ ์œ„์น˜๋ฅผ ํ™•์ธํ•˜์„ธ์š”

AI ๊ธฐ๋ฐ˜ ๋„๊ตฌ

Beta

์˜์ƒ์˜ํ•™ ์ˆ˜๋ จ์˜๋ฅผ ์œ„ํ•ด ์„ค๊ณ„๋˜์—ˆ์Šต๋‹ˆ๋‹ค — ์ฆ๋ก€๋ฅผ ๊ณต๋ถ€ํ•˜๊ฑฐ๋‚˜, ๋‹น์ง์„ ์ค€๋น„ํ•˜๊ฑฐ๋‚˜, ํŒ๋… ์›Œํฌ์Šคํ…Œ์ด์…˜์—์„œ ์ถ”์ ๊ฒ€์‚ฌ ๊ฐ€์ด๋“œ๋ผ์ธ์„ ์ฐพ์•„๋ณผ ๋•Œ๊นŒ์ง€.

์ด์šฉ ํ›„๊ธฐ

"์ œ๊ฐ€ R1์ด๋‚˜ R2์˜€์„ ๋•Œ CaseStacks๊ฐ€ ์žˆ์—ˆ๋‹ค๋ฉด, ๋‹น์ง์„ ์‹œ์ž‘ํ•˜๊ธฐ ์ „์— ๋ฐ˜๋“œ์‹œ ์ด ์„œ๋น„์Šค๋ฅผ ๊ตฌ๋…ํ–ˆ์„ ๊ฒƒ์ž…๋‹ˆ๋‹ค. ๋„์ „์ ์ธ ๊ฒฝํ—˜์„ ์•ž๋‘๊ณ  ์ž์‹ ๊ฐ์„ ํ‚ค์šฐ๋Š” ๋ฐ ๋งค์šฐ ํฐ ๋„์›€์ด ๋˜์—ˆ์„ ๊ฒƒ์ž…๋‹ˆ๋‹ค."

Ben White, MD

Baylor University ๋ถ€ํ”„๋กœ๊ทธ๋žจ ๋””๋ ‰ํ„ฐ

์ „์ฒด ๋ฆฌ๋ทฐ ์ฝ๊ธฐ
"[CaseStacks]๋Š” ๋‹น์ง์„ ์•ž๋‘” ์ „๊ณต์˜์—๊ฒŒ ๋Šฅ๋™์ ์ด๊ณ  ์‹ค์ „์ ์ธ ์ค€๋น„๋ฅผ ์ œ๊ณตํ•˜๋Š” ๋›ฐ์–ด๋‚œ ๊ต์œก ๋ฆฌ์†Œ์Šค์ž…๋‹ˆ๋‹ค."
Dr. Carol Geer

Carol Geer, MD

์‹ ๊ฒฝ์˜์ƒ์˜ํ•™๊ณผ ์˜์‚ฌ, Wake Forest

"์‹œํ€€์Šค๋ฅผ ๋ฐ”๊พธ๊ณ , ๋Šฅ๋™์ ์œผ๋กœ ์œˆ๋„์šฐ๋ฅผ ์กฐ์ ˆํ•˜๋ฉฐ, ์ง์ ‘ ์กฐ์ž‘ํ•˜๋Š” ๊ฒฝํ—˜์€ ๋‹จ์ˆœํžˆ ์ฑ…์œผ๋กœ ์ฝ๋Š” ๊ฒƒ๊ณผ๋Š” ๋น„๊ตํ•  ์ˆ˜ ์—†์„ ๋งŒํผ ํ•™์Šต ๋‚ด์šฉ์„ ๋จธ๋ฆฟ์†์— ๊ฐ์ธ์‹œ์ผœ ์ค๋‹ˆ๋‹ค."
Dr. Joe Wilson

Joe Wilson, MD

์กฐ๊ต์ˆ˜, U Chicago

"R1์„ ์œ„ํ•œ ์กฐ์–ธ: ์˜์ƒ์˜ํ•™ ์ „๊ณต์˜ ์ˆ˜๋ จ์€ ์–‘์ด ๊ณง ์‹ค๋ ฅ์ž…๋‹ˆ๋‹ค. R1 ๋กœํ…Œ์ด์…˜๊ณผ ๋‹น์ง ์ค€๋น„๋ฅผ ์œ„ํ•ด ์ œ๊ฐ€ ์ฐพ์€ ์ตœ๊ณ ์˜ ๋ฆฌ์†Œ์Šค๋Š” @CaseStacks์˜€์Šต๋‹ˆ๋‹ค."
Vedant Acharya

Vedant Acharya, MD

IR/DR PGY-3, UPenn

"#RadRes๊ฐ€ ์˜์ƒ์˜ํ•™์„ ๋ฐฐ์šฐ๋Š” ๊ฐ€์žฅ ์ข‹์€ ๋ฐฉ๋ฒ• ์ค‘ ํ•˜๋‚˜๋Š” ๊ฐ€๋Šฅํ•œ ํ•œ ๋งŽ์€ ์ฆ๋ก€๋ฅผ ๋ณด๊ณ  ์ง์ ‘ ๋‹ค๋ค„๋ณด๋Š” ๊ฒƒ์ž…๋‹ˆ๋‹ค."
Paul M. Bunch

Paul M. Bunch, MD

์‹ ๊ฒฝ์˜์ƒ์˜ํ•™๊ณผ ์˜์‚ฌ, Wake Forest

"์ œ ์ „๊ณต์˜์—๊ฒŒ ์–ด๋–ป๊ฒŒ ๋ฒŒ์จ ์˜์ƒ์˜ํ•™์„ ๊ทธ๋ ‡๊ฒŒ ๋งŽ์ด ์•„๋Š”์ง€ ๋ฌผ์—ˆ๋”๋‹ˆ, ๋‹น์‹  ๋•๋ถ„์ด๋ผ๊ณ  ํ•˜๋”๊ตฐ์š”!"
Maria Velasco

Maria Velasco, MD

์‹ฌ์žฅํ‰๋ถ€ ์˜์ƒ์˜ํ•™๊ณผ ์˜์‚ฌ, USF

"@CaseStacks๋Š” R1 ํ›„๋ฐ˜๊ณผ ๋‹น์ง์„ ์•ž๋‘๊ณ  ๊ฐ€์žฅ ๋„์›€์ด ๋œ ๋ฆฌ์†Œ์Šค ์ค‘ ํ•˜๋‚˜์˜€์Šต๋‹ˆ๋‹ค."
Ali Tejani

Ali Tejani, MD

์‹ ๊ฒฝ์˜์ƒ์˜ํ•™๊ณผ ์ „์ž„์˜, UCSF

"์ง„์ •ํ•œ ์ฐธ์—ฌ๋Š” ๋‹จ์ˆœํžˆ ์ „๊ณต์˜ ๋’ค์— ์•‰์•„ ํ•™์ƒ์ด 10๋ถ„๋งˆ๋‹ค ์งˆ๋ฌธํ•˜๊ฒŒ ๋‘๋Š” ๊ฒƒ๋งŒ์œผ๋กœ๋Š” ๋ถ€์กฑํ•ฉ๋‹ˆ๋‹ค. @CaseStacks์™€ ๊ฐ™์€ ๋ฐฉ์‹์œผ๋กœ ์‹ค์ œ ์ฆ๋ก€๋ฅผ ํ†ตํ•ด ํ•™์ƒ์—๊ฒŒ ๋ณด์—ฌ์ฃผ๊ณ  ๊ฐ€๋ฅด์ณ์•ผ ํ•ฉ๋‹ˆ๋‹ค."
Adam Petraglia

Adam Petraglia, MD

์˜์ƒ์˜ํ•™๊ณผ ์ „๊ณต์˜, Wake Forest

"์ด ์ œํ’ˆ์˜ ์‹œ์—ฐ์„ ํ•ด๋ดค๋Š”๋ฐ ์ •๋ง ํ›Œ๋ฅญํ–ˆ์Šต๋‹ˆ๋‹ค! ๊น”๋”ํ•œ ์ธํ„ฐํŽ˜์ด์Šค, ์ž๊ธฐ์ฃผ๋„ ํ•™์Šต๊ณผ ํ€ด์ฆˆ ๊ธฐ๋Šฅ์„ ๊ฐ–์ถ”๊ณ  ์žˆ์–ด์š”. ํ›Œ๋ฅญํ•œ ํ•™์Šต ๋„๊ตฌ์ด์ž ํ‰๊ฐ€ ๋„๊ตฌ์ž…๋‹ˆ๋‹ค."
Courtney Tomblinson

Courtney Tomblinson, MD

์‹ ๊ฒฝ์˜์ƒ์˜ํ•™๊ณผ ์˜์‚ฌ & ํŽ ๋กœ์šฐ์‹ญ ๋””๋ ‰ํ„ฐ, Vanderbilt

"์ €๋Š” CaseStacks์˜ ์—ด๋ ฌํ•œ ํŒฌ์ž…๋‹ˆ๋‹ค, ํŠนํžˆ ๋‹น์ง ์ค€๋น„์šฉ์œผ๋กœ์š”!"
Xiao Wu

Xiao Wu, MD

IR/DR ์ „๊ณต์˜, UCSF

"ํŠนํžˆ 1, 2๋…„์ฐจ ์ „๊ณต์˜๋“ค์ด @CaseStacks๋ฅผ ์ฆ๊ฒจ ์‚ฌ์šฉํ•˜๊ณ  ์žˆ์Šต๋‹ˆ๋‹ค. ์ „ํ˜•์ ์ธ ์ฆ๋ก€๋ฅผ ๋”ฐ๋ผ๊ฐ€๋ฉฐ ๊ธฐ์ดˆ๋ฅผ ์ž˜ ์ „๋‹ฌํ•ด ์ฃผ๋Š” ๊ฒƒ ๊ฐ™์Šต๋‹ˆ๋‹ค."
Alexander Rand

Alexander Rand, MD

์œ ๋ฐฉ์˜์ƒ์˜ํ•™ ๋ฐ ์ผ๋ฐ˜์˜์ƒ์˜ํ•™๊ณผ ์˜์‚ฌ

"์˜์ƒ์˜ํ•™ ์ „๊ณต์˜ ์ˆ˜๋ จ ์ค‘ ์ œ๊ฐ€ ๊ฐ€์žฅ ์ข‹์•„ํ•˜๋Š” ํ•™์Šต ๋ฆฌ์†Œ์Šค๋Š” @CaseStacks์˜€๊ณ , ํƒ€์˜ ์ถ”์ข…์„ ๋ถˆํ—ˆํ•˜๋Š” ์‹ ๊ฒฝ์˜์ƒ ์ฆ๋ก€ ์ปฌ๋ ‰์…˜์„ ๊ฐ–์ถ”๊ณ  ์žˆ์Šต๋‹ˆ๋‹ค."
Sagar Wagle

Sagar Wagle, MD

๊ทผ๊ณจ๊ฒฉ ์˜์ƒ์˜ํ•™ ์ „์ž„์˜, Stanford

"casestacks์— ํ•œ ํ‘œ. ์•ผ๊ฐ„ ๋‹น์ง์œผ๋กœ ๋Œ์•„๊ฐˆ ๋•Œ๋งˆ๋‹ค ์‚ฌ์ „์— ์ตœ๋Œ€ํ•œ ๋งŽ์€ ์ฆ๋ก€๋ฅผ(๊ทธ๋ฆฌ๊ณ  ๋ชจ๋“  ์‹ ๊ฒฝ ์ฆ๋ก€๋ฅผ) ๋ณต์Šตํ•ฉ๋‹ˆ๋‹ค. ๊ณ ํ’ˆ์งˆ ์ œํ’ˆ์ด๋ฉฐ, ์ „๊ณต์˜๋กœ์„œ ๊ต์œก ์˜ˆ์‚ฐ์„ ๊ฐ€์žฅ ์ž˜ ํ™œ์šฉํ•  ์ˆ˜ ์žˆ๋Š” ๋ฐฉ๋ฒ•์ž…๋‹ˆ๋‹ค."
eggztyrone

eggztyrone

์˜์ƒ์˜ํ•™๊ณผ ์ „๊ณต์˜ โ€ข r/Residency

์ˆซ์ž๋กœ ๋ณด๋Š” CaseStacks

์ „ ์„ธ๊ณ„ ์ˆ˜์ฒœ ๋ช…์˜ ์˜๋ฃŒ ์ „๋ฌธ๊ฐ€๊ฐ€ ์‹ ๋ขฐํ•˜๋Š” ์„œ๋น„์Šค

๐Ÿ“ˆ
1,900+
์ฆ๋ก€
๐Ÿ˜ฒ
1.6M+
์™„๋ฃŒ๋œ ์ฆ๋ก€
๐ŸŒ
77+
๊ตญ๊ฐ€
๐Ÿค
์ž์„  ํŒŒํŠธ๋„ˆ

์ž์ฃผ ๋ฌป๋Š” ์งˆ๋ฌธ

PRO๋กœ ์—…๊ทธ๋ ˆ์ด๋“œํ•  ์ค€๋น„๊ฐ€ ๋˜์…จ๋‚˜์š”?

์˜์ƒ์˜ํ•™์„ ๋ฐฐ์šฐ๋Š” ์ˆ˜์ฒœ ๋ช…์˜ ์ „๊ณต์˜ ๋ฐ ์ˆ˜๋ จ์˜์™€ ํ•จ๊ป˜ํ•˜์„ธ์š”