Skip to main content
Case #1
Demographics: 44 years old, Female
Indication: Myasthenia Gravis

Case #1

Findings

  • Smoothly marginated soft tissue mass adjacent to the right heart border, likely in the anterior mediastinum
  • No evidence of acute cardiopulmonary disease

Diagnosis

Anterior mediastinal mass (thymoma)

Sample Report

No evidence of acute cardiopulmonary disease.

Smoothly marginated soft tissue mass adjacent to the right heart border, likely in the anterior mediastinum. Recommend obtaining a chest CT for further evaluation.

Discussion

  • CT was obtained and showed an anterior mediastinal mass that turned out to be a thymoma
  • The boundaries of the anterior mediastinum include the right and left heart borders and ascending aorta. Therefore, bulging of these contours can be seen with an anterior mediastinal mass
  • Consider the following when you see an anterior (prevascular) mediastinal mass:
    • Thymic pathology - thymoma, carcinoma, cyst
    • Enlarged lymph nodes - e.g. lymphoma
    • Germ cell tumor
    • Thyroid enlargement/mass

Annotated Images & Illustrations

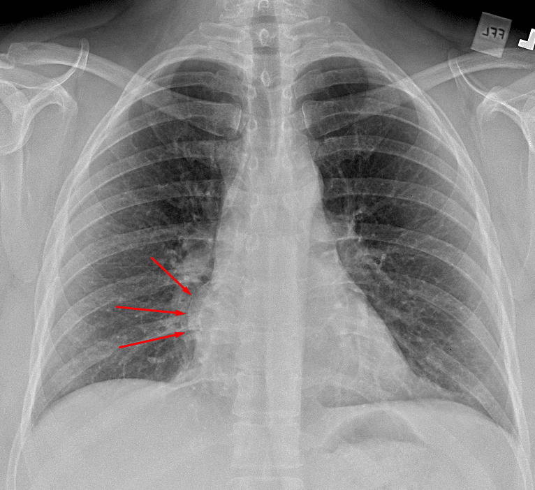
Approximately 4 cm mass in the mediastinum (red arrows) adjacent to the right heart border.

Approximately 4 cm mass in the mediastinum (red arrows) adjacent to the right heart border.

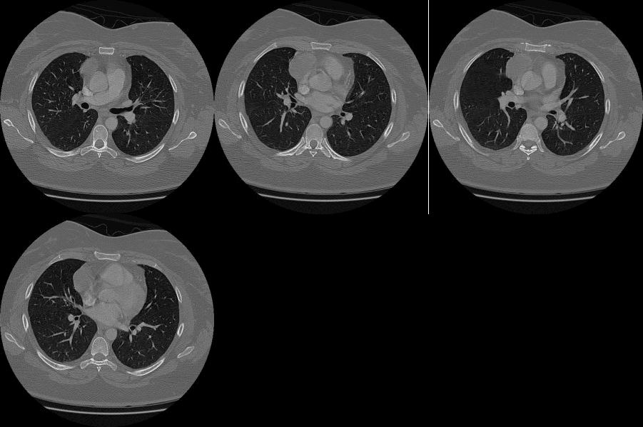
Subsequent CT shows an anterior mediastinal mass most consistent with a thymoma.

Subsequent CT shows an anterior mediastinal mass most consistent with a thymoma.

Site Feedback

Your feedback helps us improve CaseStacks. Please share your thoughts, suggestions, or report any issues you've encountered.

/5
Thank you for your feedback! We appreciate your input.