Skip to main content
Skip to main content

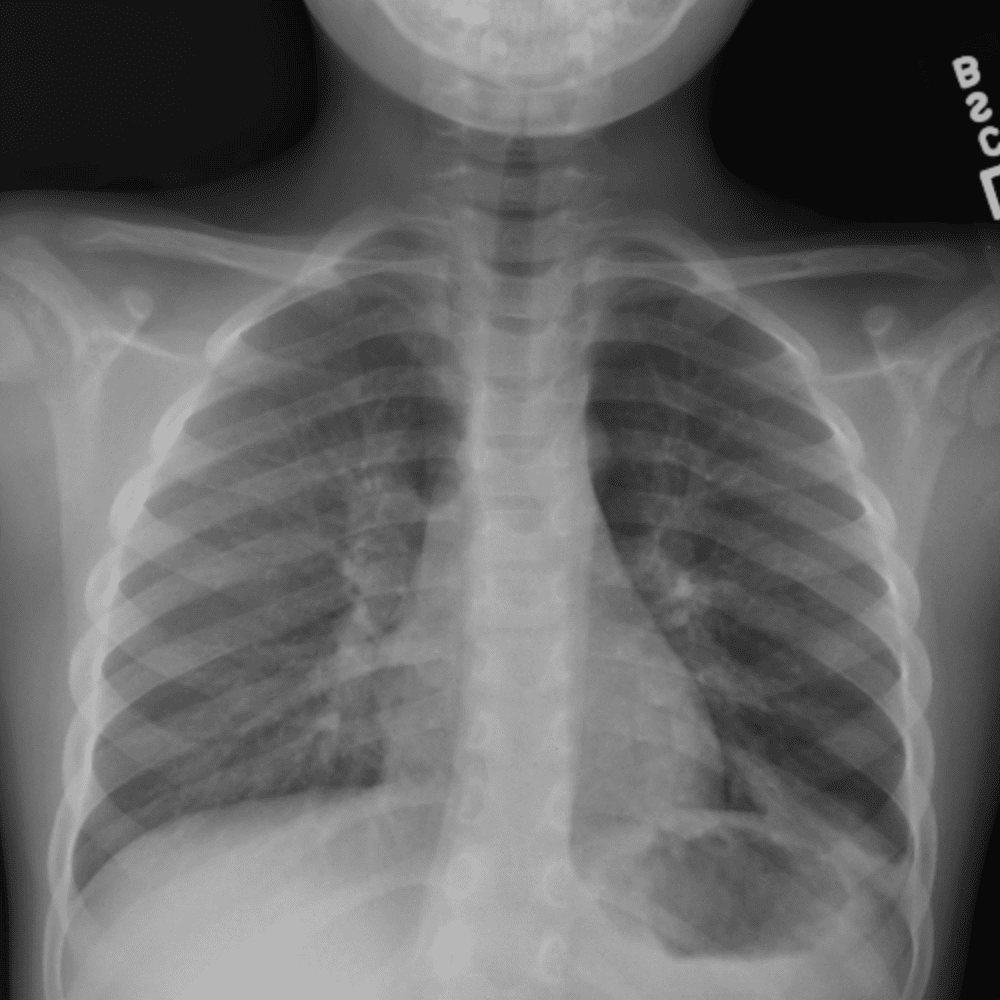
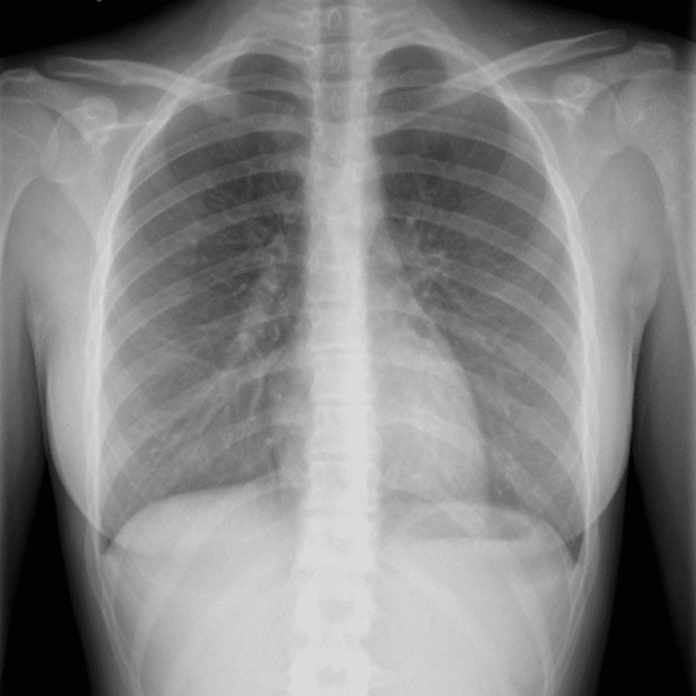
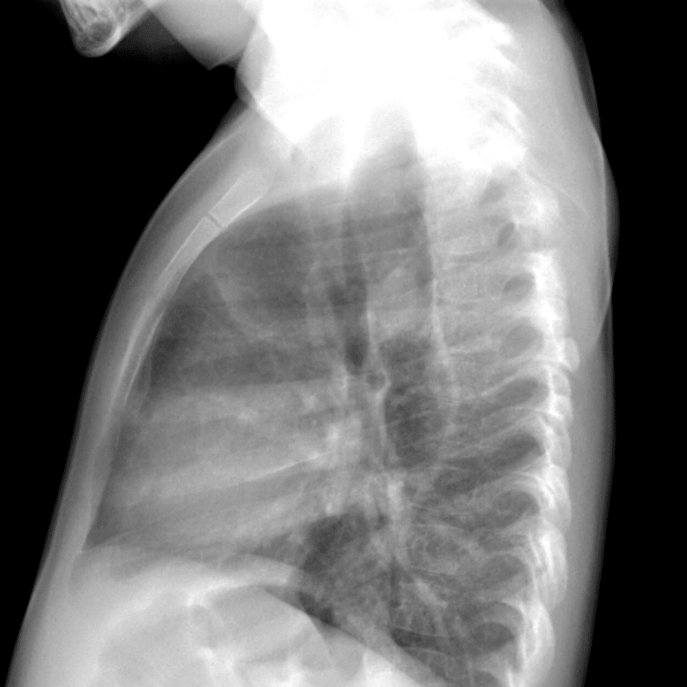
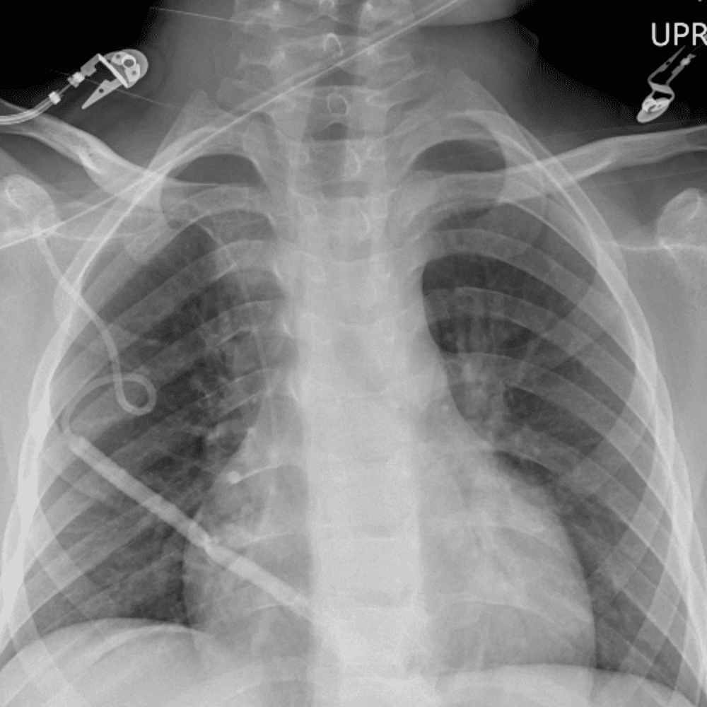
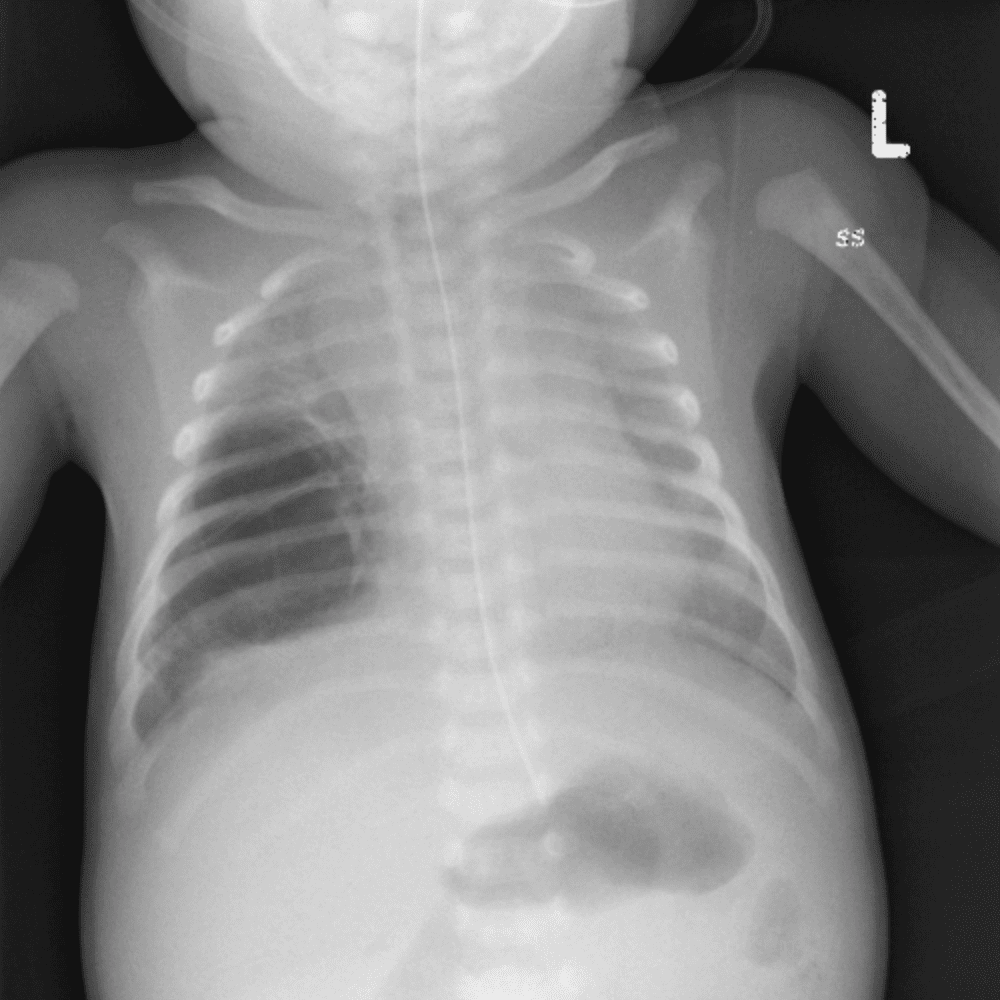
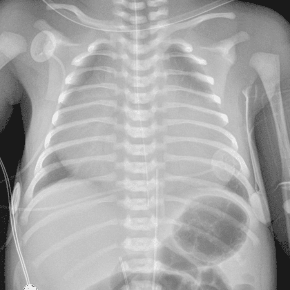
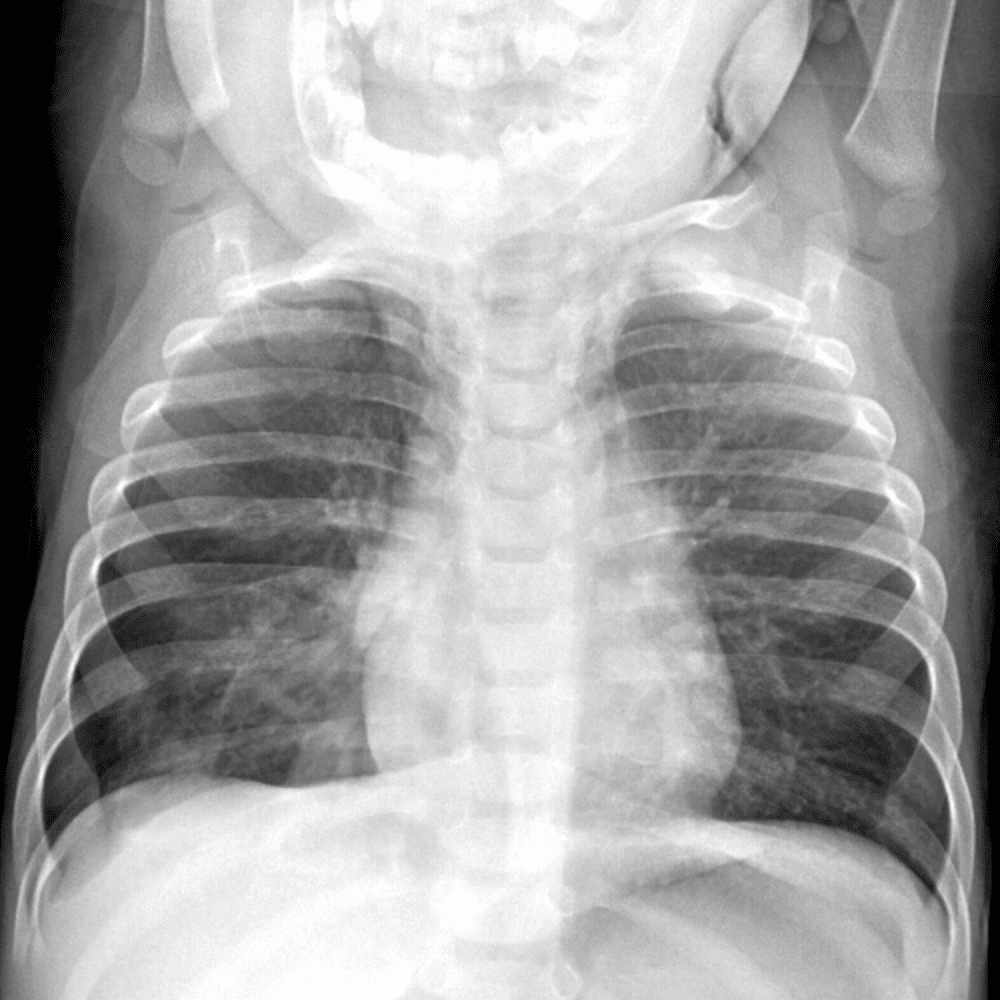
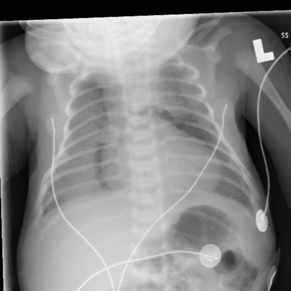
Peds Chest

Practice

Simulates call by including subtle or difficult cases and some normals.

50 cases