Skip to main content
Skip to main content

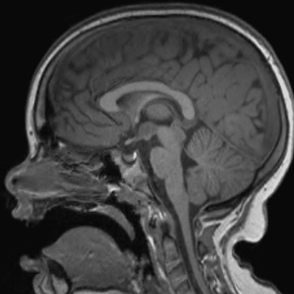
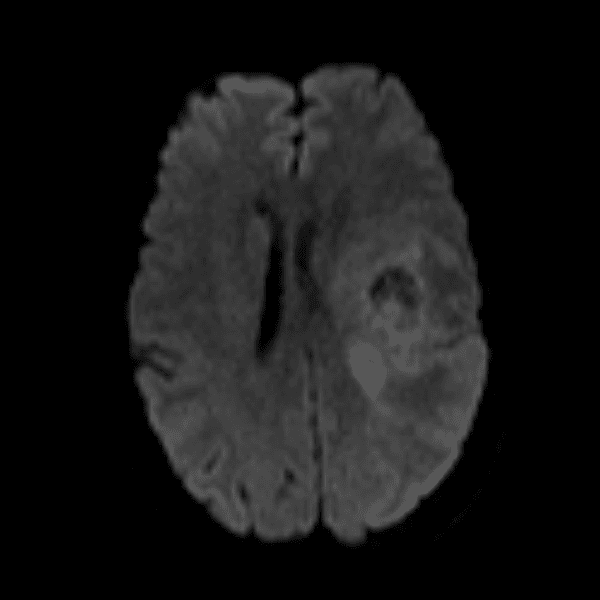
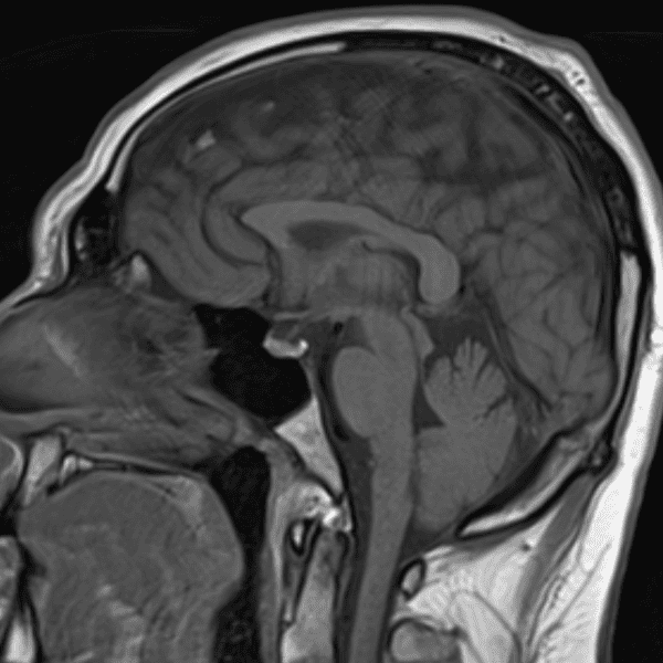
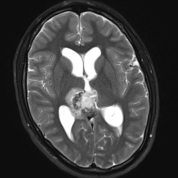
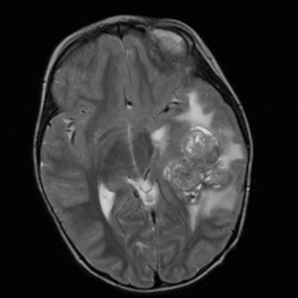
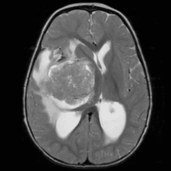
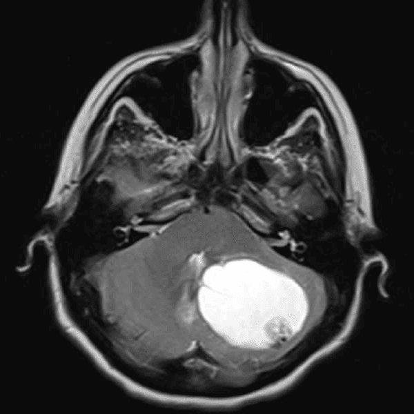
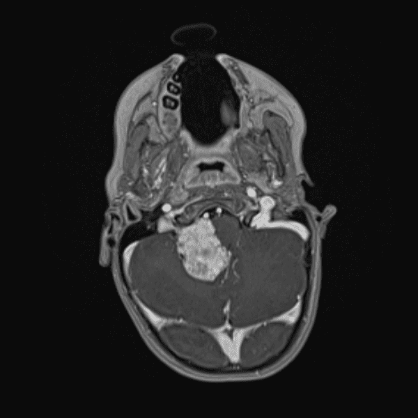
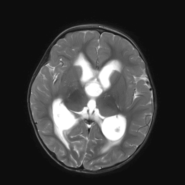
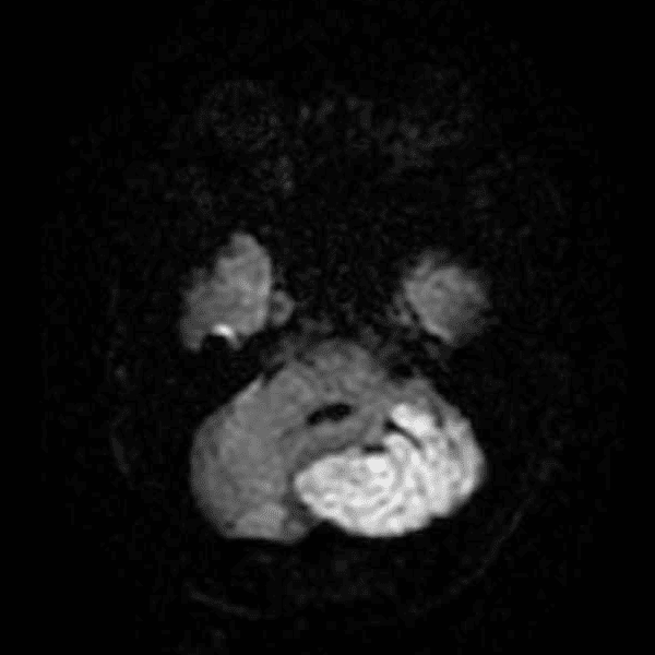
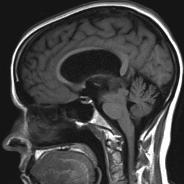
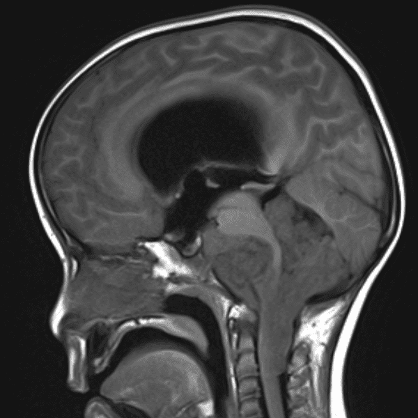
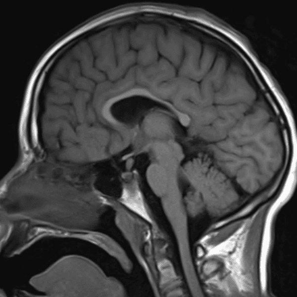
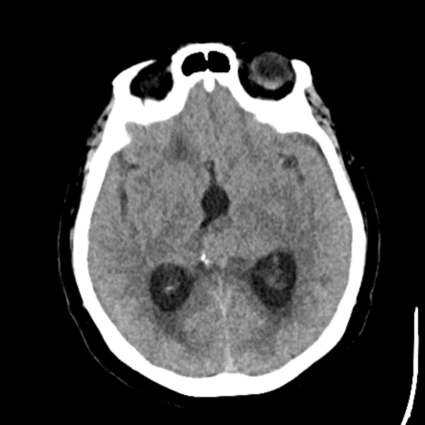
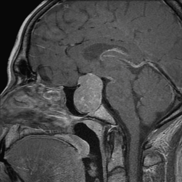
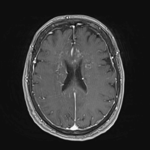
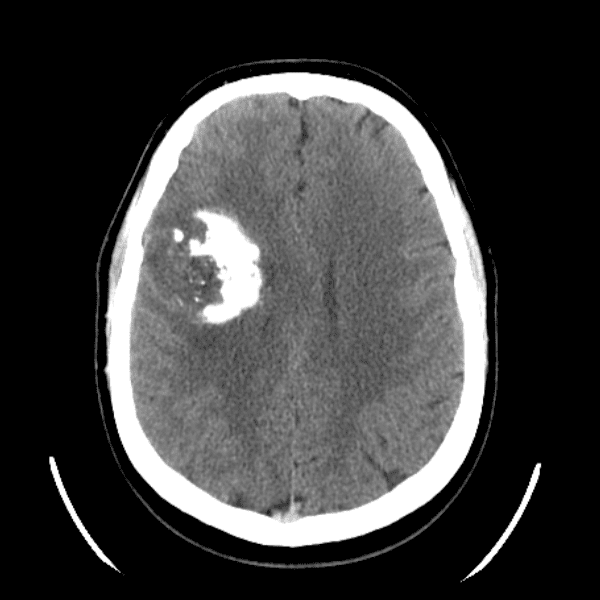
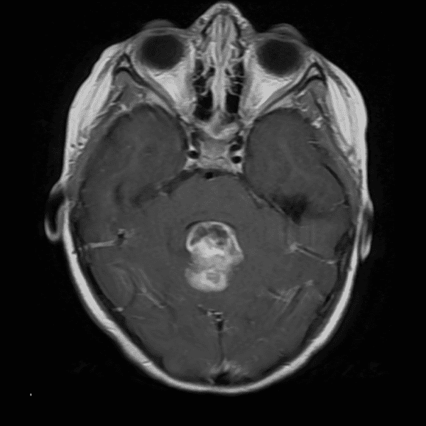
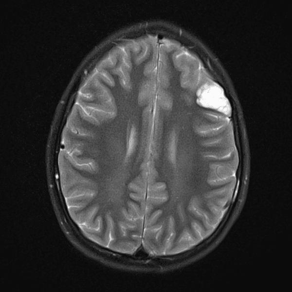
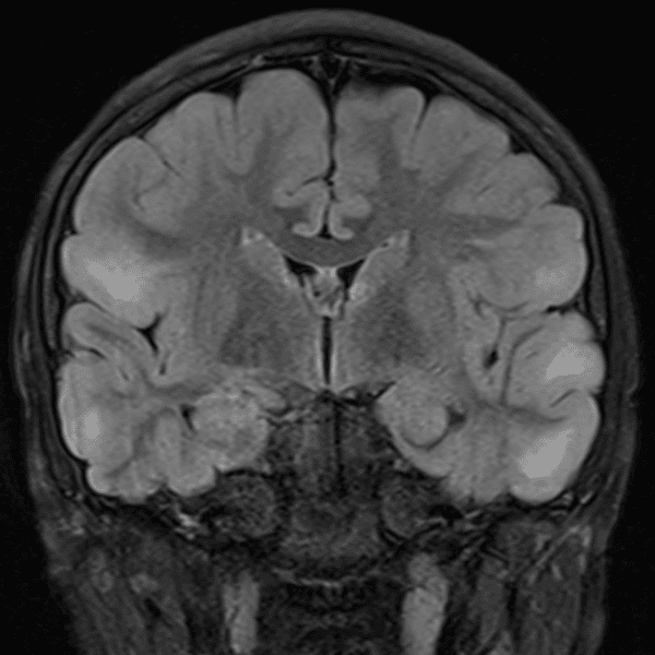
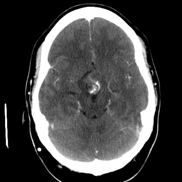
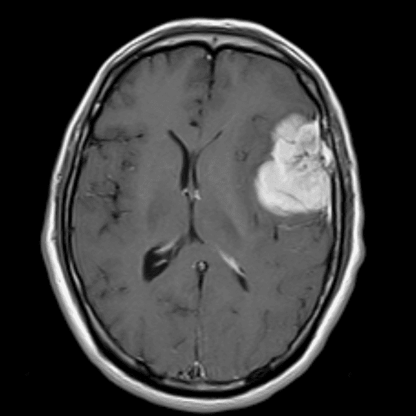
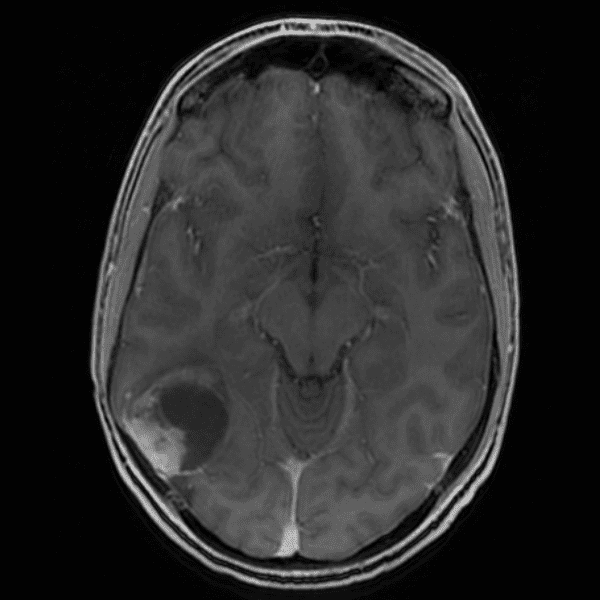
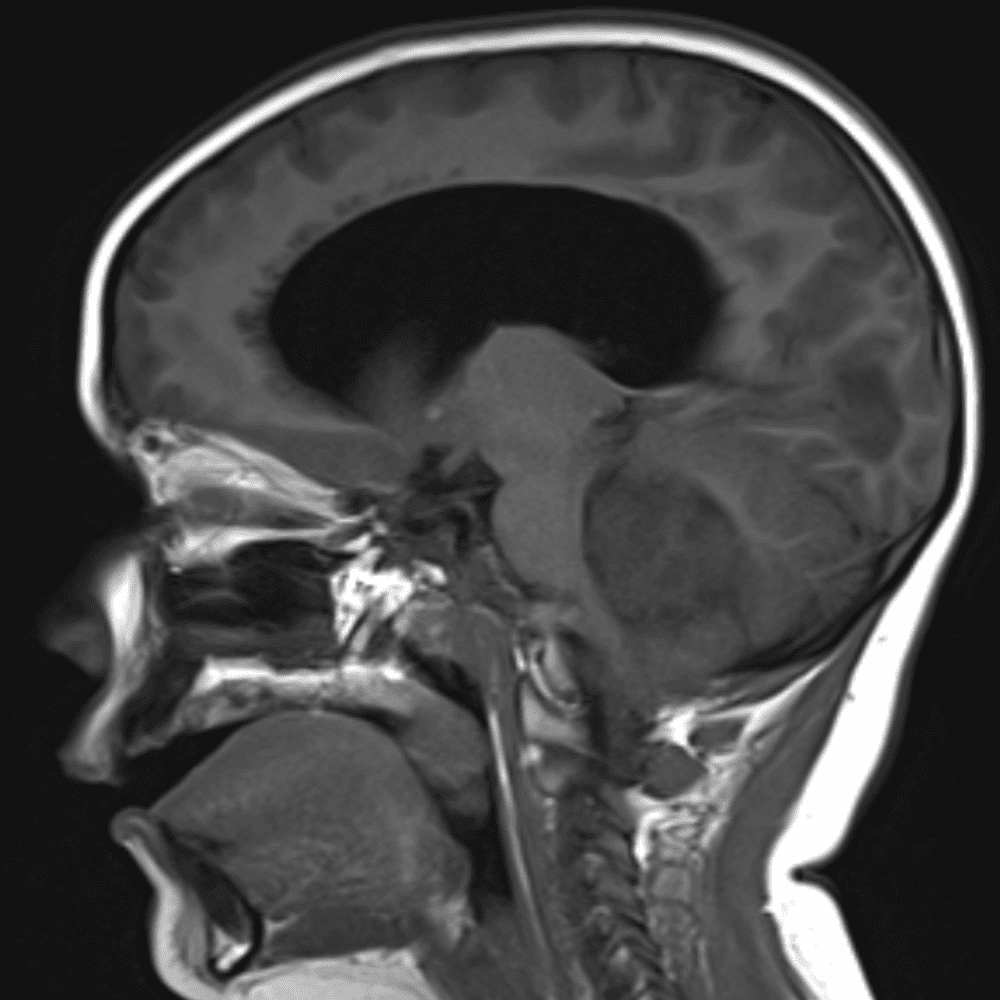
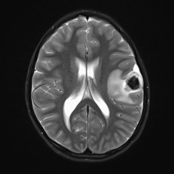
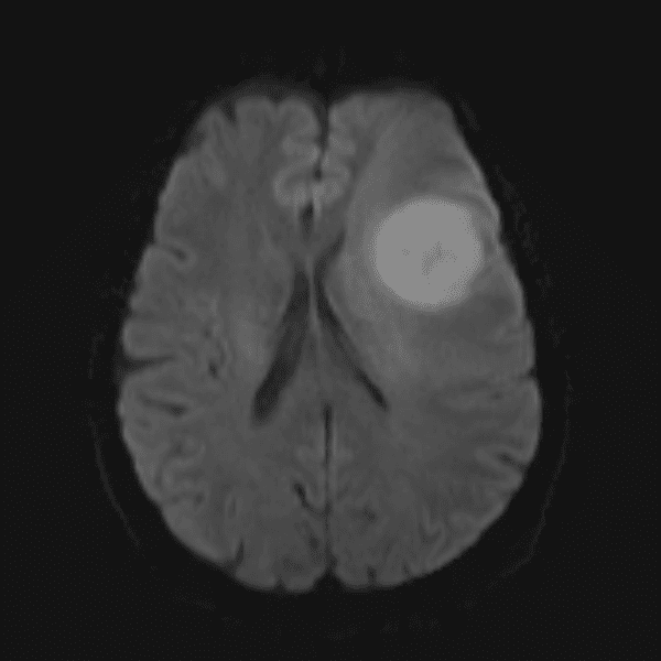
Classic Cases