Skip to main content
Case #13

PRO Plan Required

Unlock this case with a PRO membership

Demographics: 14 years old, Male
Indication: Left-sided weakness

Case #13

Findings

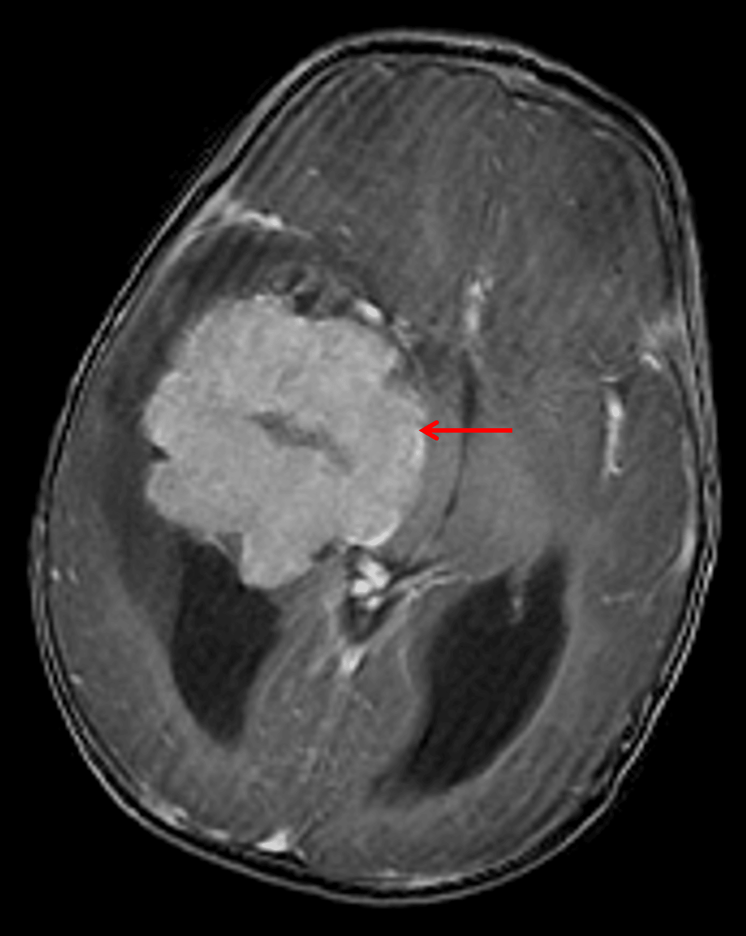
  • Avidly enhancing mass with lobulated contours centered in the temporal horn of the right lateral ventricle measuring 6.5 x 5.5 x 6 cm, inseparable from the choroid plexus
  • Adjacent parenchymal edema, particularly in the right temporal lobe, which may relate to tumor invasion or subependymal edema in the setting of hydrocephalus
  • Tumor bulges into the adjacent cerebral parenchyma in multiple locations
  • Cystic collections along the tumor margins may represent peritumoral cysts and/or isolated ventricular components
  • Mild corresponding restricted diffusion
  • Associated mass effect with 1.5 cm right-to-left midline shift, effacement of the third ventricle, and crowding of the basal cisterns with mass effect on the midbrain
  • Dilation of the lateral ventricles consistent with obstructive hydrocephalus

Annotated Images & Illustrations

Avidly enhancing mass centered in the temporal horn of the right lateral ventricle (red arrow), consistent with a choroid plexus tumor.

Avidly enhancing mass centered in the temporal horn of the right lateral ventricle (red arrow), consistent with a choroid plexus tumor.

Diagnosis

Choroid plexus carcinoma

Key Imaging Features

Become a PRO member to unlock the key imaging features

Differential Diagnosis

Become a PRO member to unlock the differential diagnosis

Discussion

PRO Plan Required

Unlock the discussion with a PRO membership

View Plans

Pearls

Become a PRO member to unlock the pearls

Site Feedback

Your feedback helps us improve CaseStacks. Please share your thoughts, suggestions, or report any issues you've encountered.

/5
Thank you for your feedback! We appreciate your input.