Skip to main content
Case #34

PRO Plan Required

Unlock this case with a PRO membership

Demographics: 13 years old, Male
Indication: Headache, history of renal transplant

Case #34

Findings

CT

  • Numerous hyperattenuating foci in the cerebral and cerebellar white matter bilaterally with associated vasogenic edema

MRI

  • Numerous enhancing lesions in the bilateral cerebral and cerebellar hemispheres, the cerebellar vermis, and the medulla, many of which are periventricular in location and extend to the ependymal surface of the ventricles
  • The majority of these lesions demonstrate solid enhancement, though a few demonstrate peripheral enhancement
  • Variable corresponding restricted diffusion
  • Corresponding vasogenic edema and mass effect without midline shift or evidence of herniation or hydrocephalus

Annotated Images & Illustrations

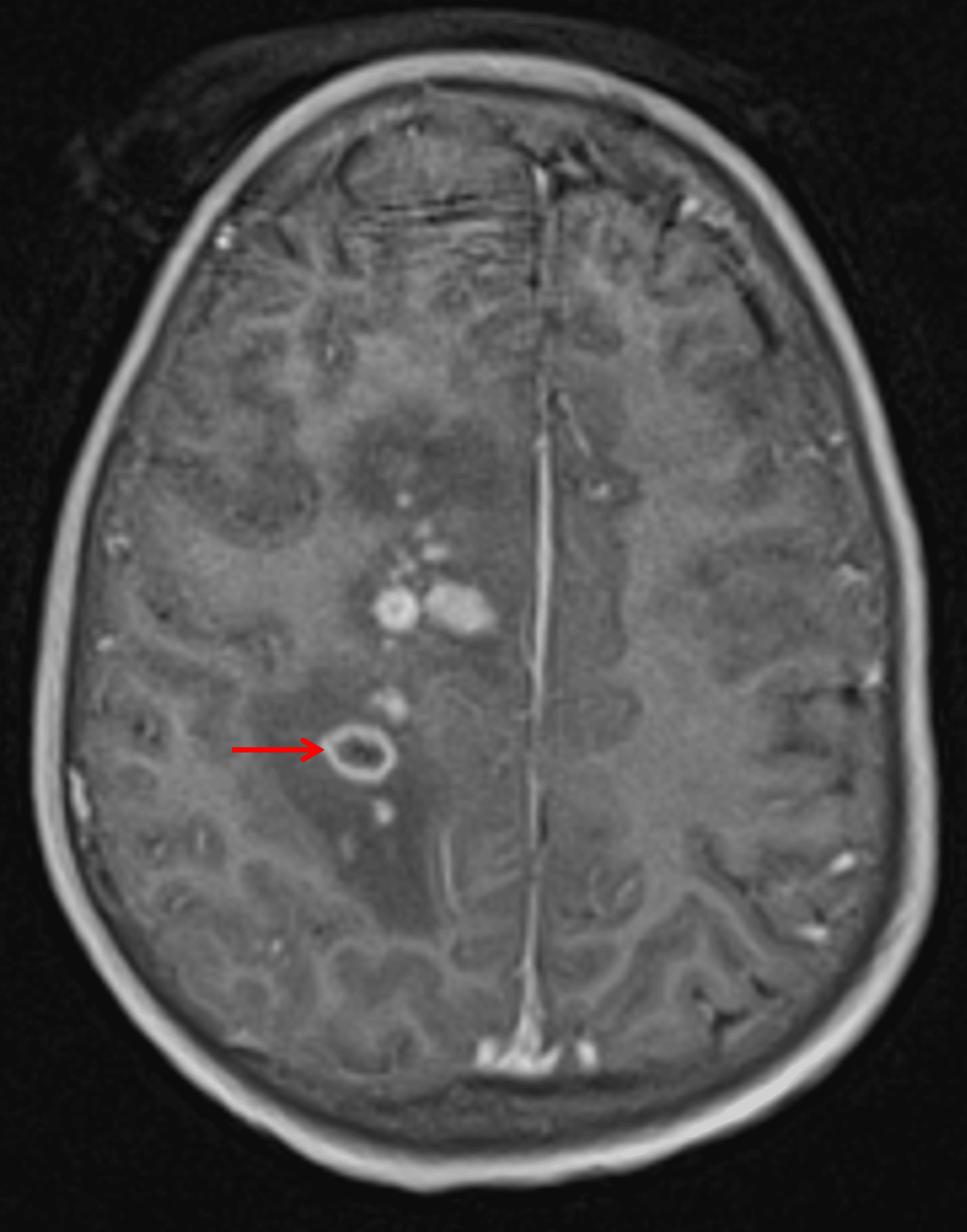
Numerous small enhancing lesions are seen. Most solidly enhance, but one in this image demonstrates peripheral enhancement (red arrow).

Numerous small enhancing lesions are seen. Most solidly enhance, but one in this image demonstrates peripheral enhancement (red arrow).

Diagnosis

Post-transplant lymphoproliferative disorder (PTLD)

Key Imaging Features

Become a PRO member to unlock the key imaging features

Differential Diagnosis

Become a PRO member to unlock the differential diagnosis

Discussion

PRO Plan Required

Unlock the discussion with a PRO membership

View Plans

Pearls

Become a PRO member to unlock the pearls

Site Feedback

Your feedback helps us improve CaseStacks. Please share your thoughts, suggestions, or report any issues you've encountered.

/5
Thank you for your feedback! We appreciate your input.