Skip to main content
Case #3

PRO Plan Required

Unlock this case with a PRO membership

Demographics: 7 years old, Male
Indication: Screening MRI in patient with tuberous sclerosis

Case #3

Findings

  • Interval enlargement of an enhancing subependymal nodule near the right foramen of Monro measuring 1.5 x 1 cm
  • Multiple additional subcentimeter enhancing subependymal nodules
  • Multiple T2/FLAIR hyperintense cortical and juxtacortical lesions in the bilateral cerebral hemispheres
  • Dilated perivascular spaces in the right greater than left frontal white matter
  • No hydrocephalus
  • Right maxillary sinus mucous retention cyst. Mucosal thickening of bilateral ethmoid air cells

Annotated Images & Illustrations

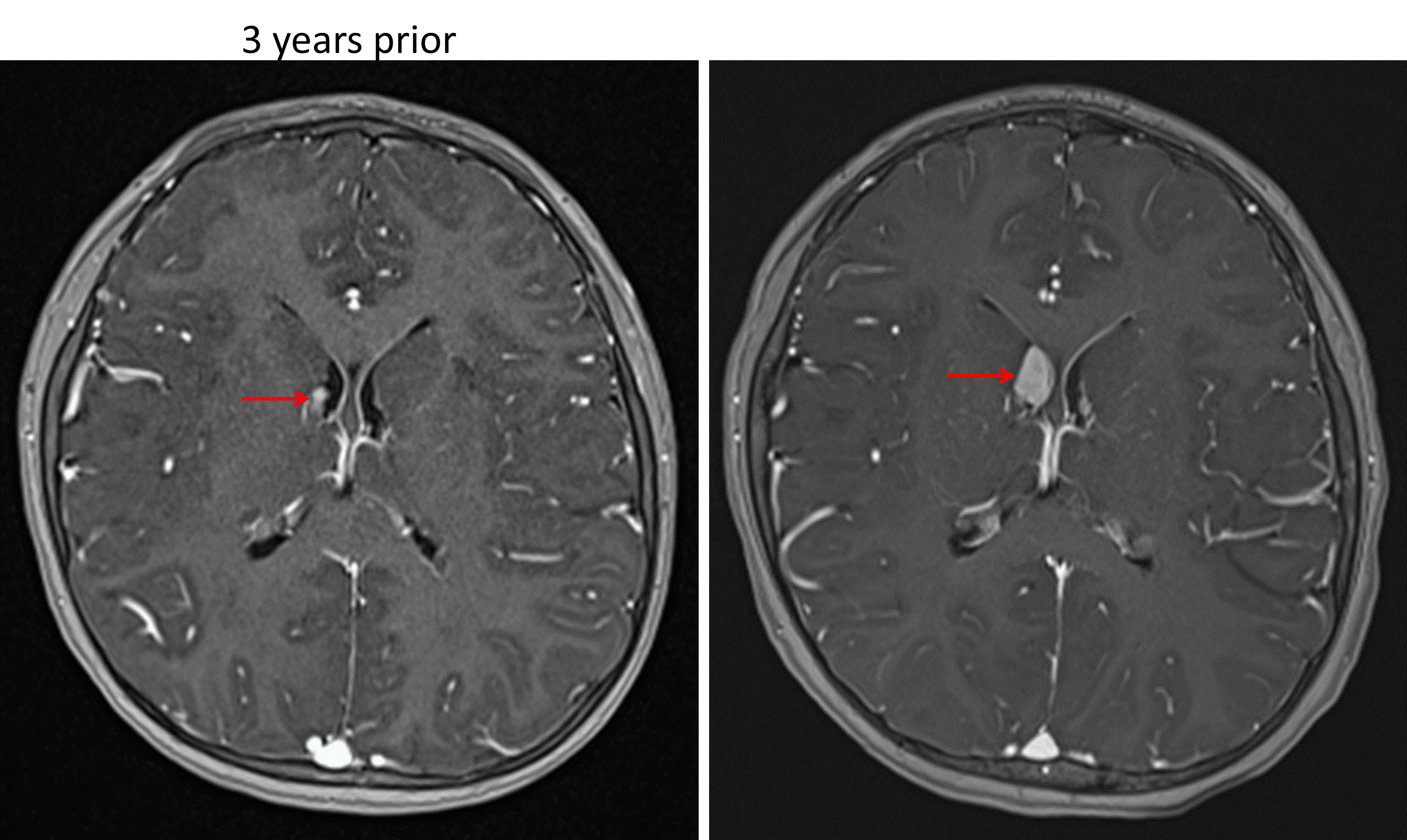
Enhancing subependymal nodule near the right foramen of Monro (red arrows) which demonstrates growth over a 3-year period, concerning for a subependymal giant cell astrocytoma in this patient with tuberous sclerosis.

Enhancing subependymal nodule near the right foramen of Monro (red arrows) which demonstrates growth over a 3-year period, concerning for a subependymal giant cell astrocytoma in this patient with tuberous sclerosis.

Diagnosis

Subependymal giant cell astrocytoma (SEGA)

Key Imaging Features

Become a PRO member to unlock the key imaging features

Differential Diagnosis

Become a PRO member to unlock the differential diagnosis

Discussion

PRO Plan Required

Unlock the discussion with a PRO membership

View Plans

Pearls

Become a PRO member to unlock the pearls

Site Feedback

Your feedback helps us improve CaseStacks. Please share your thoughts, suggestions, or report any issues you've encountered.

/5
Thank you for your feedback! We appreciate your input.