Skip to main content
Case #20

PRO Plan Required

Unlock this case with a PRO membership

Demographics: 38 years old, Male
Indication: Headache

Case #20

Findings

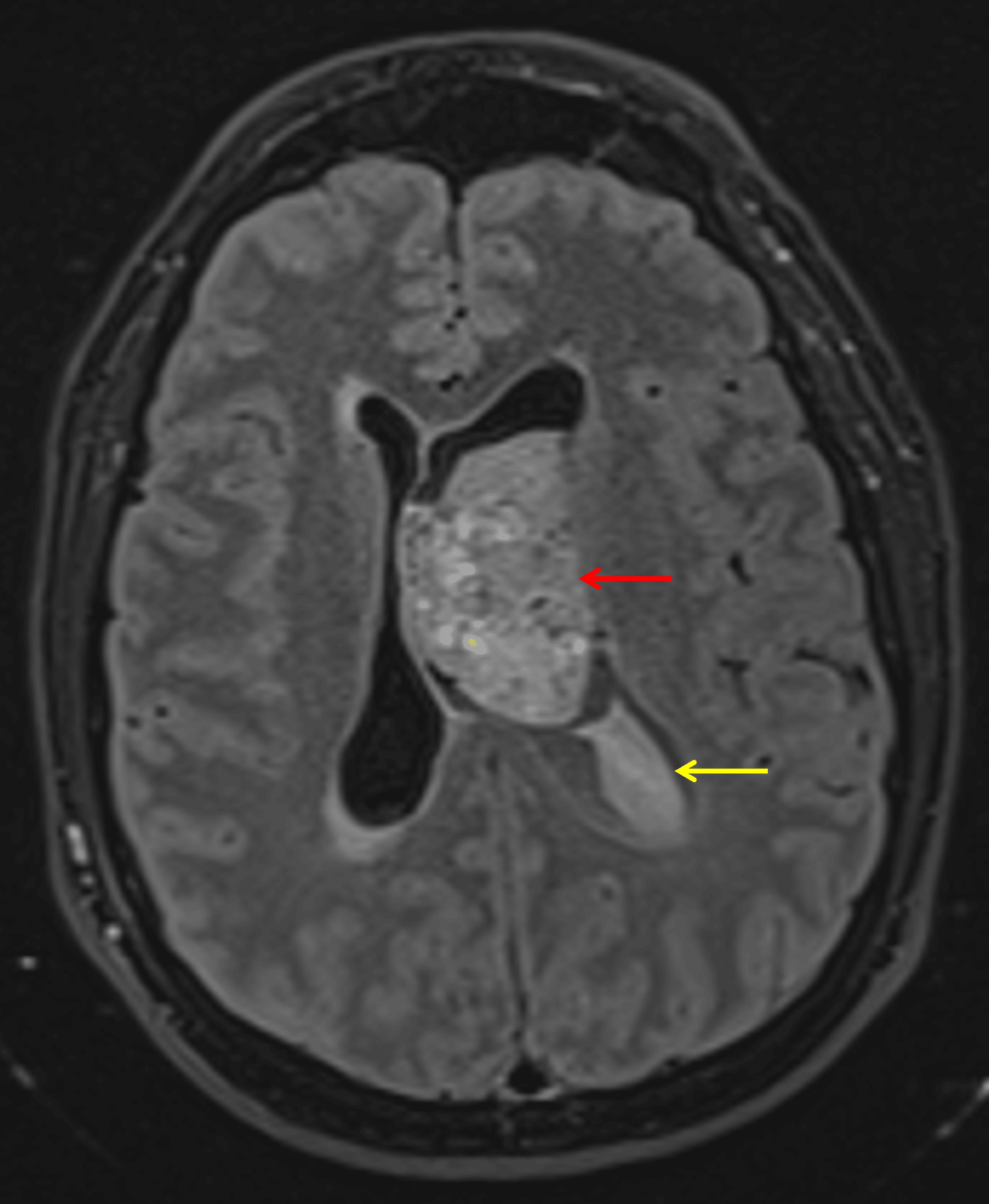
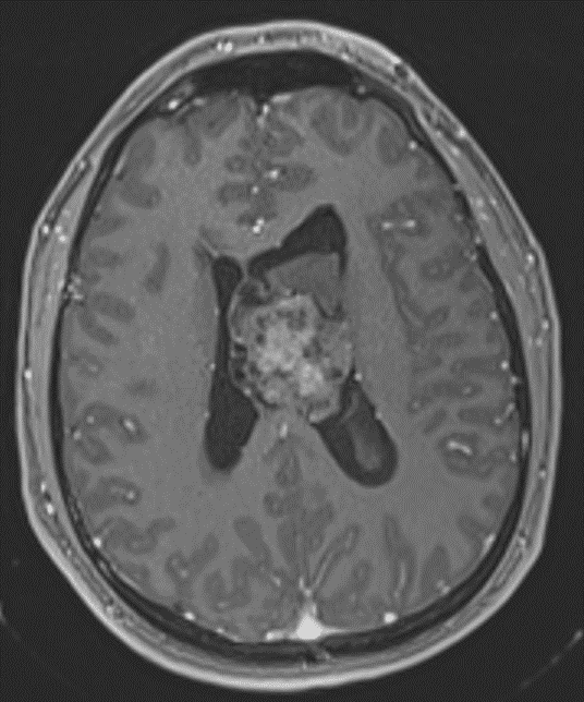
  • Mildly FLAIR hyperintense intraventricular mass in the body of the left lateral ventricle measuring 4.3 x 3.7 cm in axial dimensions with heterogeneous corresponding enhancement and restricted diffusion
  • The mass broadly contacts the septum pellucidum
  • Associated mass effect with 1.5 cm left-to-right midline shift
  • Crowding of the foramen of Monro with enlargement of the left greater than right lateral ventricles, consistent with obstructive hydrocephalus
  • T1 isointense, FLAIR hyperintense material alongside the mass and layering in the left greater than right lateral ventricles and third ventricle, most likely representing hemorrhage (likely related to ventricular drain placement)
  • Left frontal approach external ventricular drain terminates alongside or within the intraventricular mass. Mild edema along the parenchymal course of the catheter

Annotated Images & Illustrations

Mildly FLAIR hyperintense mass in the left lateral ventricle abutting the septum pellucidum (red arrow). Hyperintense material layering in the left lateral ventricle likely representing hemorrhage (yellow arrow).

Mildly FLAIR hyperintense mass in the left lateral ventricle abutting the septum pellucidum (red arrow). Hyperintense material layering in the left lateral ventricle likely representing hemorrhage (yellow arrow).

Corresponding heterogeneous enhancement.

Corresponding heterogeneous enhancement.

Diagnosis

Central neurocytoma

Key Imaging Features

Become a PRO member to unlock the key imaging features

Differential Diagnosis

Become a PRO member to unlock the differential diagnosis

Discussion

PRO Plan Required

Unlock the discussion with a PRO membership

View Plans

Pearls

Become a PRO member to unlock the pearls

Site Feedback

Your feedback helps us improve CaseStacks. Please share your thoughts, suggestions, or report any issues you've encountered.

/5
Thank you for your feedback! We appreciate your input.