Skip to main content
Case #17

PRO Plan Required

Unlock this case with a PRO membership

Demographics: 9 years old, Male
Indication: Follow-up hydrocephalus

Case #17

Findings

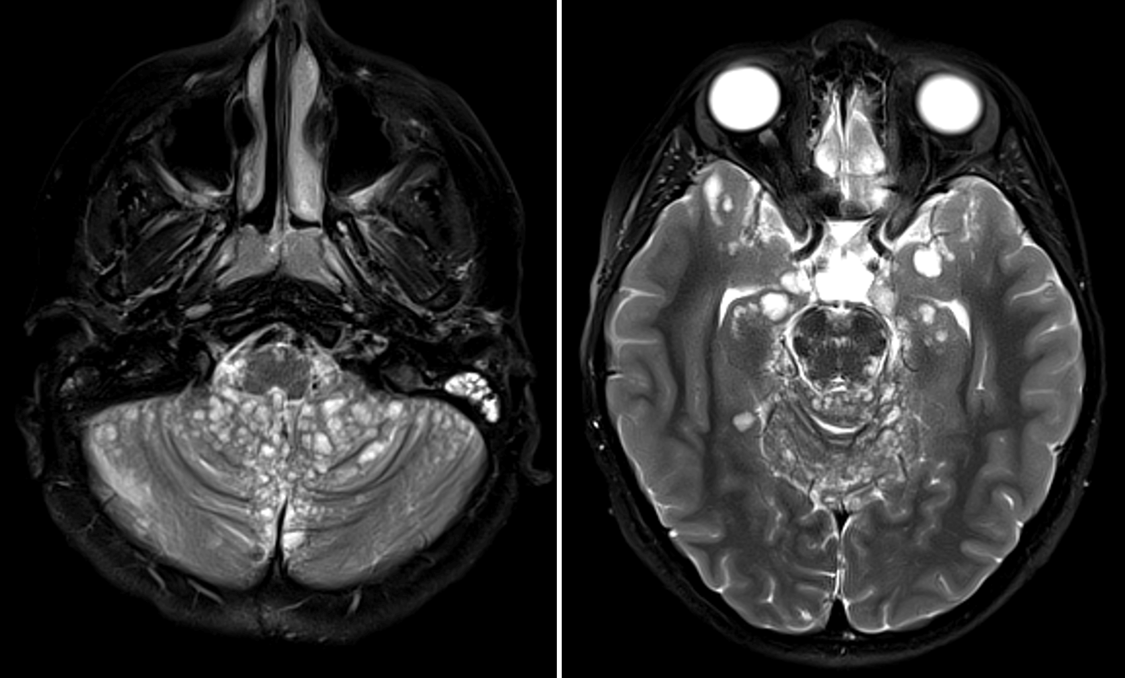
  • Numerous T2/FLAIR hyperintense leptomeningeal lesions along the surface of the brainstem, cerebellum, hippocampi, thalami, basal ganglia, and inferior right frontal lobe
  • Associated mass effect on the fourth ventricle without hydrocephalus
  • Rounded subcortical T2/FLAIR hyperintense lesion in the right frontal lobe
  • Right frontal approach ventriculostomy catheter with tip near the foramen of Monro
  • Prior suboccipital craniectomy
  • Bilateral mastoid effusions

Annotated Images & Illustrations

Numerous subpial cysts coating the brainstem, cerebellum, and inferior aspects of the supratentorial structures, which is a characteristic imaging appearance for diffuse leptomeningeal glioneuronal tumor.

Numerous subpial cysts coating the brainstem, cerebellum, and inferior aspects of the supratentorial structures, which is a characteristic imaging appearance for diffuse leptomeningeal glioneuronal tumor.

Diagnosis

Diffuse leptomeningeal glioneuronal tumor

Key Imaging Features

Become a PRO member to unlock the key imaging features

Differential Diagnosis

Become a PRO member to unlock the differential diagnosis

Discussion

PRO Plan Required

Unlock the discussion with a PRO membership

View Plans

Pearls

Become a PRO member to unlock the pearls

Site Feedback

Your feedback helps us improve CaseStacks. Please share your thoughts, suggestions, or report any issues you've encountered.

/5
Thank you for your feedback! We appreciate your input.