Skip to main content
Case #21

PRO Plan Required

Unlock this case with a PRO membership

Demographics: 47 years old, Female
Indication: Headache

Case #21

Findings

Annotated Images & Illustrations

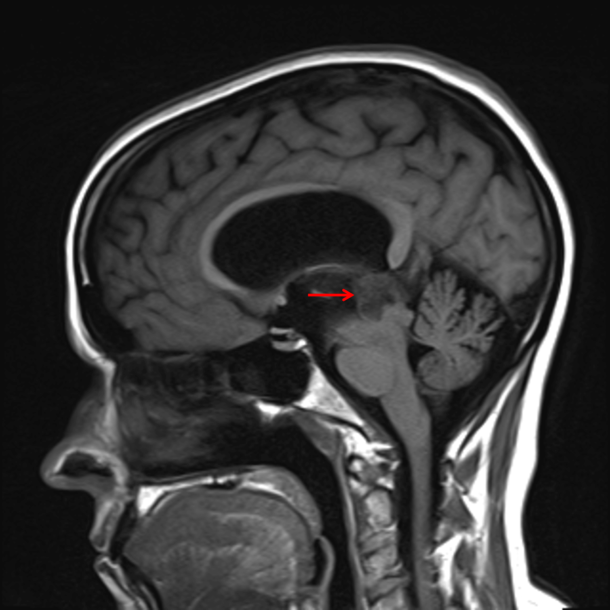
T1 hypointense pineal region mass (red arrow) with downward mass effect on the tectum and associated obstructive hydrocephalus.

T1 hypointense pineal region mass (red arrow) with downward mass effect on the tectum and associated obstructive hydrocephalus.

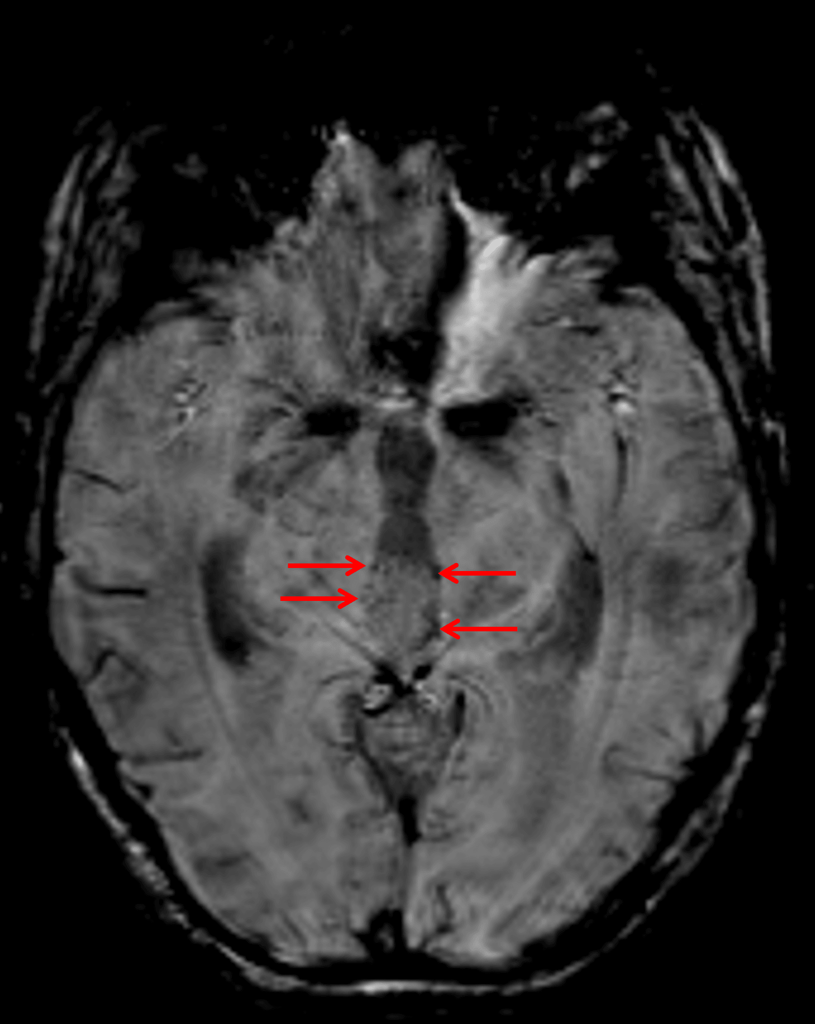
Foci of susceptibility artifact along the periphery of the mass (red arrows) represent peripheral calcification.

Foci of susceptibility artifact along the periphery of the mass (red arrows) represent peripheral calcification.

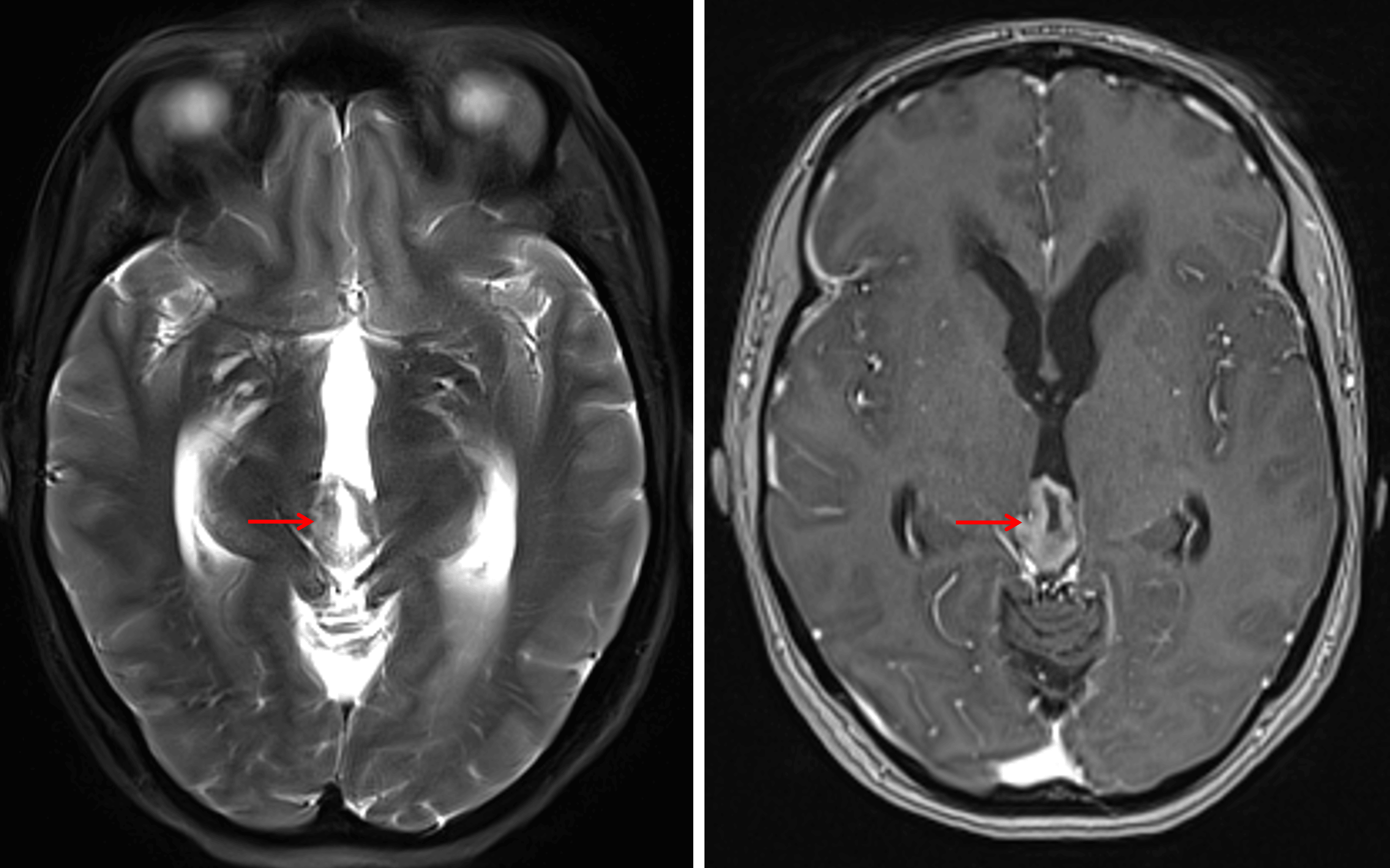
The mass has an internal cystic component with avid enhancement of the solid components (red arrows).

The mass has an internal cystic component with avid enhancement of the solid components (red arrows).

Diagnosis

Pineocytoma

Key Imaging Features

Become a PRO member to unlock the key imaging features

Differential Diagnosis

Become a PRO member to unlock the differential diagnosis

Discussion

PRO Plan Required

Unlock the discussion with a PRO membership

View Plans

Pearls

Become a PRO member to unlock the pearls

Site Feedback

Your feedback helps us improve CaseStacks. Please share your thoughts, suggestions, or report any issues you've encountered.

/5
Thank you for your feedback! We appreciate your input.