Findings
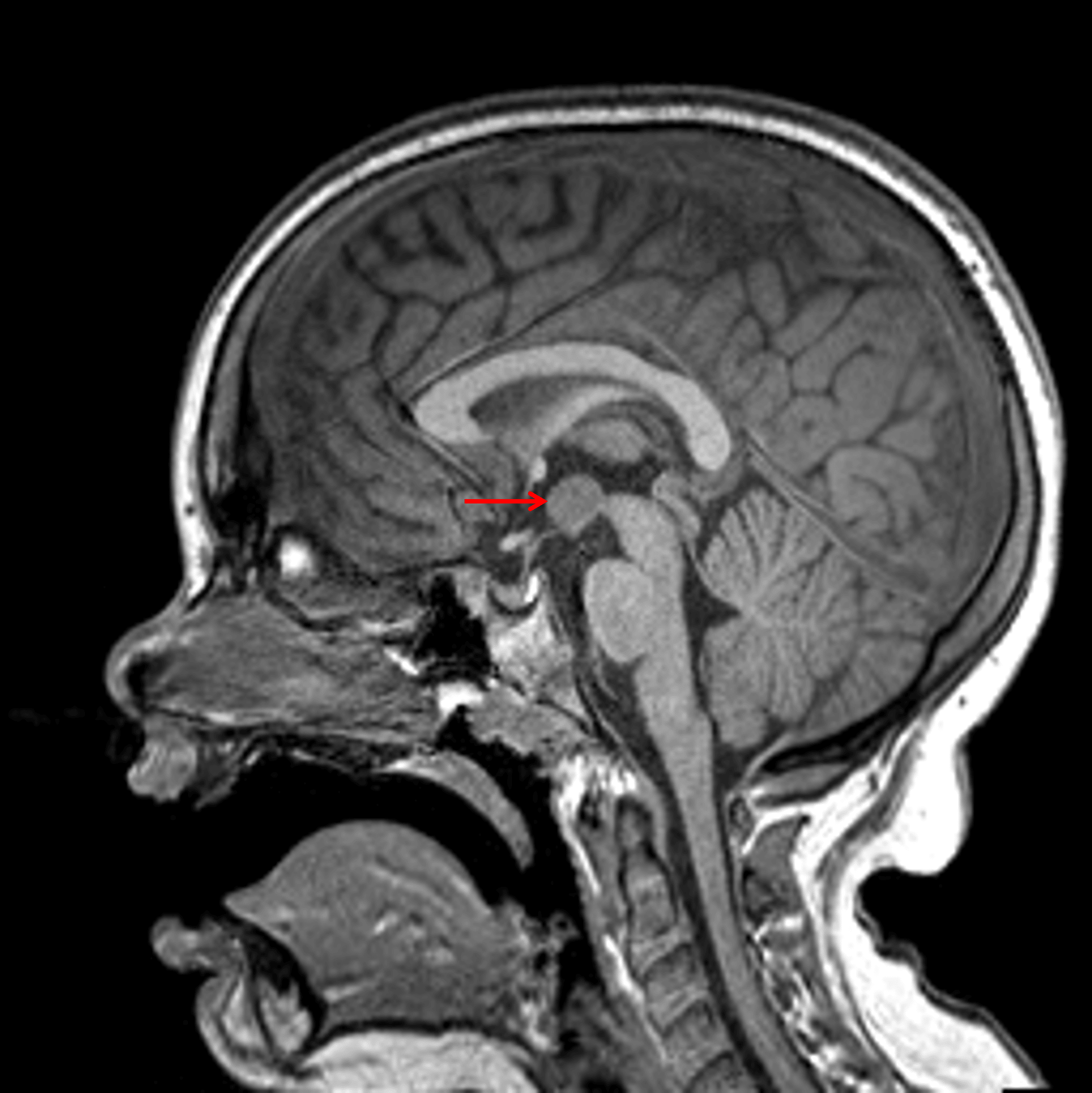
- Nonenhancing mass in the right eccentric floor of the third ventricle (tuber cinereum) measuring 12 x 10 x 9 mm, which follows gray matter signal on all sequences
- Mild mass effect on the right lateral wall of the third ventricle, the right mammillary body, and the right forniceal column
- No herniation or hydrocephalus
Annotated Images & Illustrations
Relevant anatomic structures on a midline sagittal image in and around the hypothalamus: purple - anterior commissure, pink - lamina terminalis, blue - optic chiasm, orange - pituitary infundibulum, green - tuber cinereum, yellow - mammillary body.
Rounded mass centered on the floor of the third ventricle which is isointense to gray matter (red arrow), consistent with a hypothalamic hamartoma.
Diagnosis
Hypothalamic hamartoma
Key Imaging Features
Become a PRO member to unlock the key imaging features
Differential Diagnosis
Become a PRO member to unlock the differential diagnosis
Discussion
Pearls
Become a PRO member to unlock the pearls