Skip to main content
Case #18

PRO Plan Required

Unlock this case with a PRO membership

Demographics: 13 years old, Male
Indication: Headaches

Case #18

Findings

  • Clustered T2/FLAIR hyperintense nodularity involving the right frontal operculum and superior insula
  • Normal appearance of the overlying cortex
  • No corresponding enhancement, restricted diffusion, or susceptibility artifact

Annotated Images & Illustrations

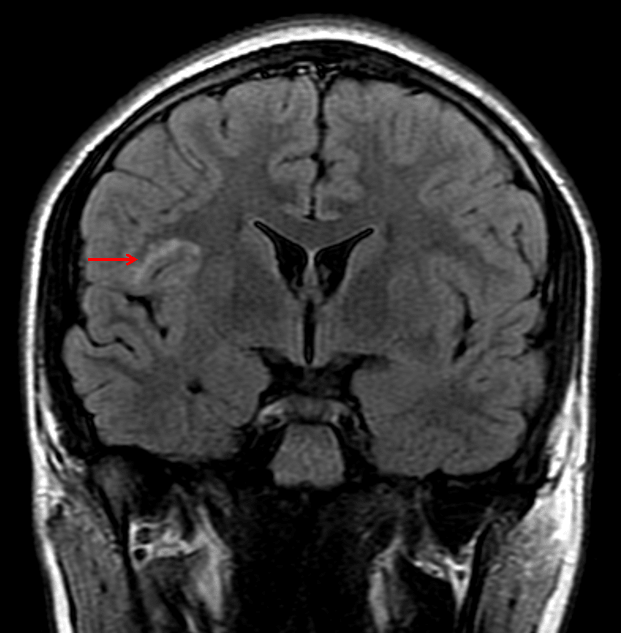
Clustered T2 hyperintense cystic structures in the subcortical white matter of the right frontal operculum and superior insula (red arrow) with normal appearance of the overlying cortex which is a typical appearance for MVNT.

Clustered T2 hyperintense cystic structures in the subcortical white matter of the right frontal operculum and superior insula (red arrow) with normal appearance of the overlying cortex which is a typical appearance for MVNT.

This lesion remains hyperintense on FLAIR (red arrow).

This lesion remains hyperintense on FLAIR (red arrow).

Diagnosis

Multinodular and vacuolating neuronal tumor (MVNT)

Key Imaging Features

Become a PRO member to unlock the key imaging features

Differential Diagnosis

Become a PRO member to unlock the differential diagnosis

Discussion

PRO Plan Required

Unlock the discussion with a PRO membership

View Plans

Pearls

Become a PRO member to unlock the pearls

Site Feedback

Your feedback helps us improve CaseStacks. Please share your thoughts, suggestions, or report any issues you've encountered.

/5
Thank you for your feedback! We appreciate your input.