Skip to main content
Case #12

PRO Plan Required

Unlock this case with a PRO membership

Demographics: 5 years old, Female
Indication: Headache, imbalance

Case #12

Findings

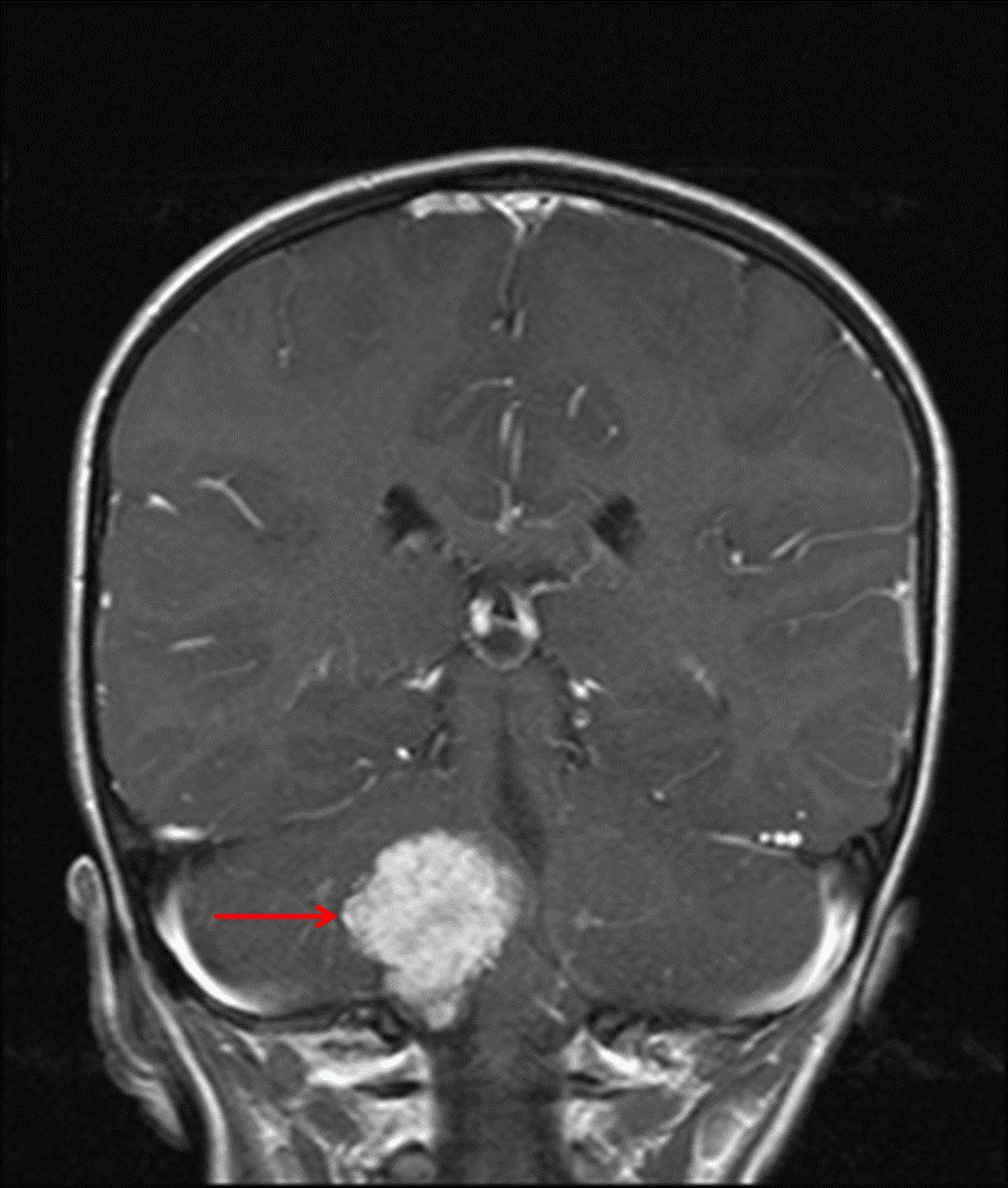
  • Avidly enhancing extra-axial mass with frondlike projections measuring 3.5 x 3 x 3 cm centered in the right foramen of Luschka with superior extension into the fourth ventricle and inferior extension through the foramen magnum
  • Corresponding T2 signal hyperintensity
  • Numerous foci of internal susceptibility artifact
  • Corresponding mass effect on the adjacent cerebellum and brainstem without parenchymal edema
  • No hydrocephalus

Annotated Images & Illustrations

Avidly enhancing mass centered in the right foramen of Luschka (red arrow), consistent with a choroid plexus tumor.

Avidly enhancing mass centered in the right foramen of Luschka (red arrow), consistent with a choroid plexus tumor.

Diagnosis

Choroid plexus papilloma

Key Imaging Features

Become a PRO member to unlock the key imaging features

Differential Diagnosis

Become a PRO member to unlock the differential diagnosis

Discussion

PRO Plan Required

Unlock the discussion with a PRO membership

View Plans

Pearls

Become a PRO member to unlock the pearls

Site Feedback

Your feedback helps us improve CaseStacks. Please share your thoughts, suggestions, or report any issues you've encountered.

/5
Thank you for your feedback! We appreciate your input.