Skip to main content
Case #26

PRO Plan Required

Unlock this case with a PRO membership

Demographics: 6 years old, Female
Indication: Headache

Case #26

Findings

  • Heterogeneously enhancing mass centered in the fourth ventricle measuring 5 x 4 x 3 cm with associated diffuse restricted diffusion
  • Multiple internal vessels are noted on SWI and postcontrast sequences
  • Resultant effacement of the fourth ventricle and obstructive hydrocephalus with subependymal edema involving the lateral and third ventricles
  • Inferior displacement of the cerebellar tonsils into the foramen magnum with crowding of the upper cervical spinal cord

Annotated Images & Illustrations

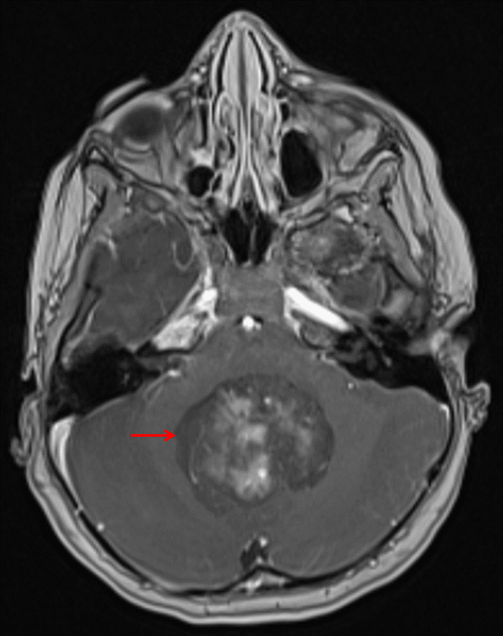
Heterogeneously enhancing mass centered in the vermis and fourth ventricle (red arrow).

Heterogeneously enhancing mass centered in the vermis and fourth ventricle (red arrow).

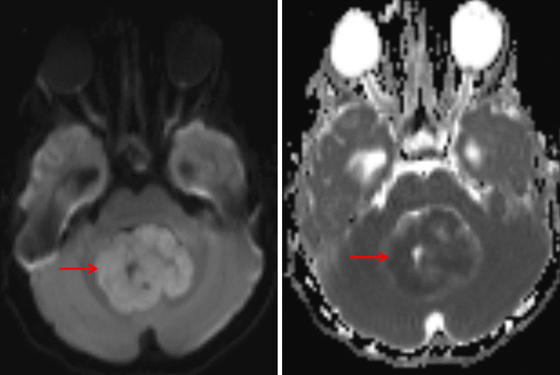
The tumor demonstrates diffuse corresponding restricted diffusion (red arrows), meaning hyperintense signal on the diffusion sequence (left) and hypointense signal on the ADC map (right).

The tumor demonstrates diffuse corresponding restricted diffusion (red arrows), meaning hyperintense signal on the diffusion sequence (left) and hypointense signal on the ADC map (right).

Diagnosis

Medulloblastoma

Key Imaging Features

Become a PRO member to unlock the key imaging features

Differential Diagnosis

Become a PRO member to unlock the differential diagnosis

Discussion

PRO Plan Required

Unlock the discussion with a PRO membership

View Plans

Pearls

Become a PRO member to unlock the pearls

Site Feedback

Your feedback helps us improve CaseStacks. Please share your thoughts, suggestions, or report any issues you've encountered.

/5
Thank you for your feedback! We appreciate your input.