メインコンテンツにスキップ
Skip to main content

より良い方法 で放射線科を学ぶ

放射線科医が厳選した1,900以上の必修インタラクティブ症例を、あなたのトレーニングレベルに合わせてお届けします。

動画の文字起こしを表示

Learning radiology can be intimidating... but it doesn't have to be.

Meet CaseStacks.

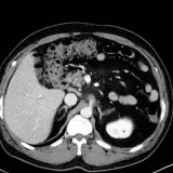
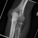
Over 2,100 interactive radiology cases, curated by radiologists for your level of training. Scroll, window, and view cases full screen — just like on PACS. Click linked findings in each writeup to jump straight to them on the image. Cases include sample reports, a focused discussion section, original illustrations, and videos.

Our site includes 3 main courses: Call Preparation, Introduction to Radiology, and Neuro Fellowship.

Call Preparation — our comprehensive curriculum for junior residents preparing for call covering both classic and atypical presentations. Use the call simulator to practice a real call shift — shuffle cases, enter your own preliminary report, and receive constructive AI feedback.

Intro to Radiology — a course coming later this year designed specifically for beginners. Terms are defined inline, lessons include introductory videos, and cases include guided video reviews by a radiologist who steps you through every finding. Lessons also include high-yield multiple choice questions that reinforce what you've learned and prepare you for boards.

Neuro Fellowship — a course tailored for fellows and practicing radiologists with in-depth reviews of advanced neuro topics like brain tumors, featuring rare diagnoses, differentials, and clinical pearls.

Have a question on any case? Simply ask Voxel, our AI radiology tutor, tailored to your level of training and aware of the case you're studying.

The entire platform is packed with features like dark mode, text-to-speech, in-depth progress tracking, and the ability to earn CME credits and certificates.

Every lesson includes free cases. Upgrade to PRO to unlock the full library.

インタラクティブ症例で構成された厳選コース

職場で症例を手当たり次第に振り返るよりも効率的に、病態の典型像と非典型像を習得できます。

ビューアを読み込み中…

  • インタラクティブ症例

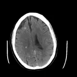
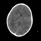
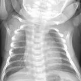
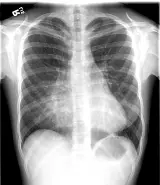
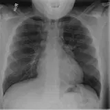
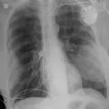
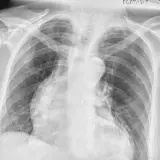
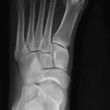
    PACSで期待されるツールを完備した完全インタラクティブな症例 — スクロール、ウィンドウ調整、ズーム、パン、計測、ROI、フルスクリーンモード。

  • リンク付きアノテーション

    重要な所見を症例画像上に直接ハイライトする豊富なアノテーション。症例解説内のリンクされた所見をクリックすると、スキャン上の正確な位置へジャンプできます。

  • いつでも、どこでも学習

    モダンブラウザを搭載したあらゆるデバイスで学習教材にアクセスできます。より賢く学習するための多彩なツールと機能 ↓を多数搭載しています。

効率的に学習

量とスピードに重点を置きます。症例にはプレリミナリーレポートの例が含まれ、Call Simulatorはシャッフルされた時間制限付きセッションを実行し、提出したすべてのレポートにAIフィードバックを返します。

始める

修了証とCME

任意のコースを修了すると、無料の修了証を即座に申請できます。認定制度外。

症例を完了してCMEを獲得しましょう。料金を支払ってCMEを申請 — 最大105 AMA PRA Category 1™単位取得可能。

詳しく見る

充実の機能

サイトの継続的な改善と完成度の向上に全力を注いでいます。

インタラクティブ症例

職場のPACSステーションと同じようにスクロール、パン、ウィンドウ調整、ズームが可能

進捗管理

ログインして症例を完了マークし、進捗を記録

キーボードショートカット

豊富なキーボードショートカットで効率的に症例を操作

シームレスなCME

症例を修了して最大105時間のCMEクレジットを取得

サンプル症例レポート

各症例には文言の参考となる簡潔なサンプルレポートが付属

保存済み症例

ログインして症例ページのスターをクリックすると保存できます

Call Simulator

コースの症例をシャッフルし、自分のプレリミナリーレポートを提出

プログラムディレクター用ダッシュボード

プログラムディレクターはレジデントの進捗をモニタリングできます

アノテーション付き画像

アノテーション付きの画像所見とイラストで効率的に学習

質の高い参考文献

各症例には明快さと質を重視して選ばれた参考文献が付属

ダークモード

暗い環境でも症例を見やすいようダークモードに切り替え

新機能

24時間Lofiミュージック

学習中に聴ける厳選されたLofiミュージック

新機能

ポモドーロタイマー

内蔵のカスタマイズ可能なポモドーロタイマーで集中力を維持

新機能

多言語対応

サイトは9言語でご利用いただけます

詳細を見る →
新機能

テキスト読み上げ

症例解説を音声で聴きながら画像を確認

新機能

レポートを音声入力

職場にいるかのようにCall Simulatorのレポートを音声入力

新機能

メモ

各症例にメモを残して学習を定着

新機能

用語解説

主要な放射線科用語にカーソルを合わせると、シームレスなオーバーレイで定義を表示

新機能

バッジ

マイルストーンを達成するたびにバッジを獲得し、自信を積み重ねましょう

新機能

学習ストリーク

毎日の学習ストリークで勢いをつけましょう

新機能

リーダーボード

自分と自分のプログラムの世界ランキングを確認

AI搭載ツール

Beta

放射線科研修医のために設計 — 症例学習、当直準備、読影ステーションでのフォローアップガイドラインの確認まで。

お客様の声

「私がR1やR2だった頃にCaseStacksがあったなら、当直開始前の数ヶ月間、間違いなくこのサービスに課金していたでしょう。困難な経験に臨む自信をつけるために、計り知れない価値があったはずです。

Ben White, MD

Baylor Universityアソシエイトプログラムディレクター

レビュー全文を読む
「[CaseStacks]は、当直に向けて準備を進めるレジデントに能動的で実践的な準備の機会を提供する、卓越した教育リソースです。」
Dr. Carol Geer

Carol Geer, MD

Wake Forest 神経放射線科医

「シーケンスを切り替え、能動的にウィンドウを調整し、自分で操作できることで、書籍を読むだけでは到底得られない形で知識が定着します。」
Dr. Joe Wilson

Joe Wilson, MD

U Chicago 助教授

「R1の皆さんへ:放射線科レジデンシーは量の勝負です。R1ローテーションと当直準備で見つけた最高のリソースは @CaseStacks でした。」
Vedant Acharya

Vedant Acharya, MD

IR/DR PGY-3、UPenn

「#RadRes が放射線科を学ぶ最良の方法の一つは、できるだけ多くの症例を見て、それらとインタラクティブに向き合うことです。」
Paul M. Bunch

Paul M. Bunch, MD

Wake Forest 神経放射線科医

「担当レジデントにどうしてこんなに放射線科を知っているのかと尋ねたら、あなたのおかげだと言われました!」
Maria Velasco

Maria Velasco, MD

USF 心臓胸部放射線科医

「@CaseStacks はR1後半から当直開始前にかけて最も役立ったリソースの一つでした。」
Ali Tejani

Ali Tejani, MD

UCSF 神経放射線フェロー

「真のエンゲージメントとは、レジデントの後ろに座って学生に10分ごとに質問させることではありません。@CaseStacksのような媒体を通じて、実際の症例で学生に見せ、教える必要があります。」
Adam Petraglia

Adam Petraglia, MD

Wake Forest 放射線科レジデント

「この製品のデモを受けましたが素晴らしかったです!クリーンなインターフェース、自己学習機能、クイズ機能を備えています。優れた学習ツールであり評価ツールです。」
Courtney Tomblinson

Courtney Tomblinson, MD

Vanderbilt 神経放射線科医・フェローシップディレクター

「CaseStacksの大ファンです。特に当直準備には最高です!」
Xiao Wu

Xiao Wu, MD

UCSF IR/DRレジデント

「特に1年目と2年目のレジデントが @CaseStacks を楽しんで使っています。古典的症例のウォークスルーで基礎をしっかり伝えてくれるようです。」
Alexander Rand

Alexander Rand, MD

乳腺画像・一般放射線科医

「放射線科レジデンシーでお気に入りの学習リソースは、比類のない神経症例コレクションを備えた @CaseStacks です。」
Sagar Wagle

Sagar Wagle, MD

Stanford 筋骨格放射線フェロー

「casestacksに一票。夜間当直に戻るたびに、事前にできるだけ多くの症例(そして全神経症例)を一通り見直しています。質の高い製品で、レジデントの教育予算の優れた使い道です。」
eggztyrone

eggztyrone

放射線科レジデント • r/Residency

数字で見るCaseStacks

世界中の何千もの医療従事者に信頼されています

📈
1,900+
症例
😲
1.6M+
修了済み症例
🌍
77+
🤝
チャリティパートナー

よくあるご質問

PROにアップグレードしませんか?

放射線科を学ぶ何千人ものレジデントや研修医の仲間入りを