Zum Hauptinhalt springen
Skip to main content

Ein besserer Weg, Radiologie zu lernen

Über 1.900 wichtige interaktive Fälle, sorgfältig kuratiert von Radiologen und auf Ihren Ausbildungsstand zugeschnitten.

Videotranskript anzeigen

Learning radiology can be intimidating... but it doesn't have to be.

Meet CaseStacks.

Over 2,100 interactive radiology cases, curated by radiologists for your level of training. Scroll, window, and view cases full screen — just like on PACS. Click linked findings in each writeup to jump straight to them on the image. Cases include sample reports, a focused discussion section, original illustrations, and videos.

Our site includes 3 main courses: Call Preparation, Introduction to Radiology, and Neuro Fellowship.

Call Preparation — our comprehensive curriculum for junior residents preparing for call covering both classic and atypical presentations. Use the call simulator to practice a real call shift — shuffle cases, enter your own preliminary report, and receive constructive AI feedback.

Intro to Radiology — a course coming later this year designed specifically for beginners. Terms are defined inline, lessons include introductory videos, and cases include guided video reviews by a radiologist who steps you through every finding. Lessons also include high-yield multiple choice questions that reinforce what you've learned and prepare you for boards.

Neuro Fellowship — a course tailored for fellows and practicing radiologists with in-depth reviews of advanced neuro topics like brain tumors, featuring rare diagnoses, differentials, and clinical pearls.

Have a question on any case? Simply ask Voxel, our AI radiology tutor, tailored to your level of training and aware of the case you're studying.

The entire platform is packed with features like dark mode, text-to-speech, in-depth progress tracking, and the ability to earn CME credits and certificates.

Every lesson includes free cases. Upgrade to PRO to unlock the full library.

Kuratierte Kurse mit interaktiven Fällen

Beherrschen Sie klassische und atypische Erscheinungsbilder von Pathologien effizienter als durch die zufällige Durchsicht von Fällen im Arbeitsalltag.

Viewer wird geladen…

  • Interaktive Fälle

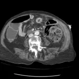
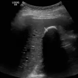
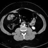
    Vollständig interaktive Fälle mit den Werkzeugen, die Sie von einem PACS erwarten – Scrollen, Fenstern, Zoomen, Schwenken, Messungen, ROIs und Vollbildmodus.

  • Verknüpfte Annotationen

    Umfangreiche Annotationen heben die wichtigsten Befunde direkt im Fall hervor. Klicken Sie auf verlinkte Befunde in den Fallbeschreibungen, um direkt zur exakten Stelle im Scan zu springen.

  • Lernen jederzeit, überall

    Greifen Sie auf jedem Gerät mit modernem Browser auf Ihre Lerninhalte zu. Wir haben zahlreiche Werkzeuge und Funktionen ↓ integriert, die Ihnen helfen, klüger zu lernen.

Effizient lernen

Fokus auf Volumen und Effizienz. Die Fälle enthalten Beispiel-Vorbefunde, und unser Call Simulator führt gemischte, zeitgesteuerte Sitzungen mit KI-Feedback zu jedem eingereichten Befund durch.

Jetzt loslegen

Zertifikate & CME

Absolvieren Sie einen beliebigen Kurs, um sofort ein kostenloses Abschlusszertifikat zu erhalten. Nicht akkreditiert.

Bearbeiten Sie Fälle, um CME zu erwerben. Zahlen Sie eine Gebühr, um Ihre CME zu beantragen — bis zu 105 AMA PRA Category 1™ Credits verfügbar.

Mehr erfahren

Vollgepackt mit Funktionen

Wir sind besessen davon, die Seite ständig zu verbessern und zu perfektionieren.

Interaktive Fälle

Scrollen, Schwenken, Fenstern und Zoomen wie an einer PACS-Arbeitsstation

Fortschritt verfolgen

Anmelden, Fälle als erledigt markieren und Fortschritt überwachen

Tastenkürzel

Fälle sind mit umfangreichen Tastenkürzeln auf Effizienz optimiert

Nahtlose CME

Erwerben Sie bis zu 105 CME-Stunden durch das Bearbeiten von Fällen

Beispiel-Befunde

Jeder Fall enthält einen kurzen Beispielbefund als Formulierungshilfe

Gespeicherte Fälle

Anmelden und auf den Stern klicken, um Fälle zu speichern

Call Simulator

Fälle aus unseren Kursen mischen und eigenen Vorbefund einreichen

Program Director Dashboard

Program Directors können den Fortschritt der Assistenzärzte überwachen

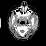
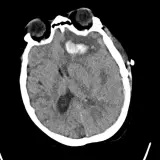
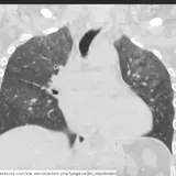
Annotierte Bilder

Effizient lernen mit annotierten Bildbefunden und Illustrationen

Hochwertige Literatur

Jeder Fall enthält nach Klarheit und Qualität ausgewählte Referenzen

Dunkelmodus

Dunkelmodus für angenehmeres Betrachten bei schwachem Licht

Neu

Lofi-Musik rund um die Uhr

Kuratierte Lofi-Musik zum Lernen

Neu

Pomodoro-Timer

Bleiben Sie fokussiert mit unserem eingebauten, anpassbaren Pomodoro-Timer

Neu

Mehrere Sprachen

Unsere Seite ist in neun Sprachen verfügbar

Mehr Details →
Neu

Text-zu-Sprache

Lassen Sie sich Fallbeschreibungen vorlesen, während Sie den Fall durchgehen

Neu

Befunde diktieren

Diktieren Sie Ihre Call-Simulator-Befunde wie bei der Arbeit

Neu

Notizen

Notizen zu jedem Fall erstellen, um das Gelernte zu vertiefen

Neu

Fachbegriffe

Fahren Sie über radiologische Fachbegriffe, um deren Definition als nahtloses Overlay anzuzeigen

Neu

Abzeichen

Verdienen Sie Abzeichen bei Meilensteinen und bauen Sie Selbstvertrauen auf

Neu

Lern-Streaks

Bauen Sie mit täglichen Lern-Streaks Schwung auf

Neu

Bestenliste

Sehen Sie, wo Sie und Ihr Programm weltweit stehen

KI-gestützte Werkzeuge

Beta

Entwickelt für Radiologie-Auszubildende — ob Sie Fälle studieren, sich auf den Bereitschaftsdienst vorbereiten oder an der Befundungsstation Follow-up-Leitlinien nachschlagen.

Stimmen unserer Nutzer

"Hätte es CaseStacks gegeben, als ich R1 oder R2 war, hätte ich den Service absolut bezahlt…vor Beginn des Bereitschaftsdienstes. Es wäre unschätzbar wertvoll für mein Selbstvertrauen vor einer herausfordernden Erfahrung gewesen."

Ben White, MD

Associate Program Director, Baylor University

Vollständige Rezension lesen
"[CaseStacks] ist eine herausragende Lernressource, die aktive, praxisnahe Vorbereitung für Assistenzärzte bietet, die sich auf den Bereitschaftsdienst vorbereiten."
Dr. Carol Geer

Carol Geer, MD

Neuroradiologin, Wake Forest

"Die Möglichkeit, Sequenzen zu wechseln, aktiv zu fenstern und wirklich zu steuern, hilft dabei, das Material so zu verinnerlichen, wie es das Lesen eines Buches schlicht nicht kann."
Dr. Joe Wilson

Joe Wilson, MD

Assistant Professor, U Chicago

"Für R1s: Die Radiologie-Weiterbildung ist ein Volumen-Spiel. Die beste Ressource, die ich für R1-Rotationen und die Call-Prep gefunden habe, war @CaseStacks."
Vedant Acharya

Vedant Acharya, MD

IR/DR PGY-3, UPenn

"Einer der besten Wege für #RadRes, Radiologie zu lernen, ist es, so viele Fälle wie möglich zu sehen und mit ihnen zu interagieren."
Paul M. Bunch

Paul M. Bunch, MD

Neuroradiologe, Wake Forest

"Ich habe meinen Assistenzarzt gefragt, woher er schon so viel Radiologie wisse, und er sagte mir, es liege an Ihnen!"
Maria Velasco

Maria Velasco, MD

Kardiothorakale Radiologin, USF

"@CaseStacks war eine der hilfreichsten Ressourcen Ende R1/vor Beginn des Bereitschaftsdienstes."
Ali Tejani

Ali Tejani, MD

Neuroradiologie-Fellow, UCSF

"Echtes Engagement kann nicht nur sein, hinter dem Assistenzarzt zu sitzen und den Studenten alle 10 Minuten eine Frage stellen zu lassen. Wir müssen Studenten durch echte Fälle zeigen und lehren – über ein Medium wie @CaseStacks."
Adam Petraglia

Adam Petraglia, MD

Radiologie-Assistenzarzt, Wake Forest

"Habe eine Demo dieses Produkts gemacht und es war phänomenal! Saubere Oberfläche, selbstgesteuerte Funktionen und Quiz-Funktionen. Ein großartiges Lern- und Prüfungswerkzeug."
Courtney Tomblinson

Courtney Tomblinson, MD

Neuroradiologin & Fellowship Director, Vanderbilt

"Ich bin ein großer Fan von CaseStacks, besonders für die Call-Prep!"
Xiao Wu

Xiao Wu, MD

IR/DR Assistenzarzt, UCSF

"Besonders die Assistenzärzte im ersten und zweiten Jahr haben Freude an @CaseStacks. Es scheint die Grundlagen anhand klassischer Fall-Durchgänge zu vermitteln."
Alexander Rand

Alexander Rand, MD

Brustbildgebung und allgemeiner Radiologe

"Meine Lieblings-Lernressource während der Radiologie-Weiterbildung war @CaseStacks mit seiner unvergleichlichen Neuro-Fallsammlung."
Sagar Wagle

Sagar Wagle, MD

Muskuloskelettale Radiologie-Fellow, Stanford

"+1 für CaseStacks. Wann immer ich in den Nachtdienst zurückkehre, gehe ich vorher so viele Fälle wie möglich durch (und alle Neuro-Fälle), nur um aufzufrischen. Es ist ein Qualitätsprodukt und eine ausgezeichnete Verwendung Ihres Fortbildungsbudgets als Assistenzarzt."
eggztyrone

eggztyrone

Radiologie-Assistenzarzt • r/Residency

In Zahlen

Vertrauen von Tausenden medizinischen Fachkräften weltweit

📈
1,900+
Fälle
😲
1.6M+
Fälle bearbeitet
🌍
77+
Länder
🤝
Charity-Partner

Häufig gestellte Fragen

Bereit für PRO?

Schließen Sie sich Tausenden von Assistenzärzten und Auszubildenden an, die Radiologie lernen