Skip to main content
Skip to main content
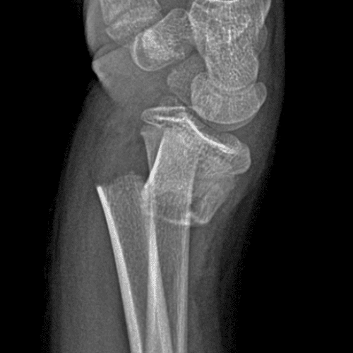
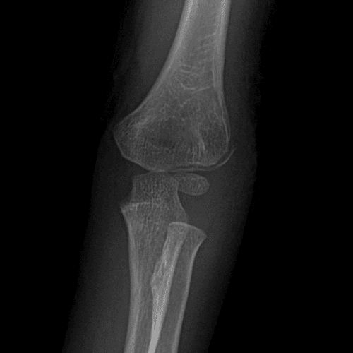
Practice

Simulates call by including subtle or difficult cases and some normals.

40 cases