Use mouse wheel, arrow keys or left click (with scroll tool selected) to scroll
ui.case.use_touch_gestures
DICOM HelpSource: Local (us-east1-c)
Findings
- Acute mildly displaced supracondylar fracture with posterior angulation
- Elbow joint effusion
- Soft tissue swelling about the elbow
Diagnosis
Supracondylar humeral fracture
Sample Report
Acute mildly displaced supracondylar fracture with posterior angulation.
Elbow joint effusion.
Soft tissue swelling about the elbow.
Radiocapitellar alignment is maintained.
Discussion
- Supracondylar humeral fractures are the most common elbow fractures in young children
- The usual mechanism for supracondylar fractures is hyperextension at the elbow resulting in the olecranon impacting on the posterior humerus. The resultant fracture often has posterior angulation or displacement
- Look for anterior offset of the anterior humeral line (should intersect the middle third of the capitellum, but in the case of supracondylar fracture will intersect the anterior aspect or may miss the capitellum entirely), which may be the only sign of a fracture
- Also, if you see an elbow joint effusion in a child but do not see a fracture, bring up the possibility of a supracondylar fracture and recommend follow-up radiographs in 1-2 weeks to look for healing changes
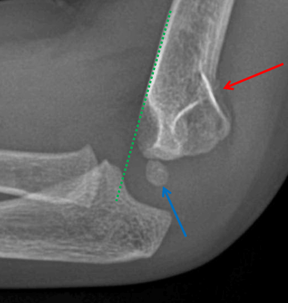
Annotated Images & Illustrations
Anterior offset of the anterior humeral line (green dotted line) relative to the capitellum (blue arrow). Acute supracondylar fracture with mild posterior angulation (red arrow).
Elbow joint effusion. Illustration by Valerie George, MD