Skip to main content
Case #35

PRO Plan Required

Unlock this case with a PRO membership

Demographics: 68 years old, Female
Indication: Aphasia

Case #35

Findings

CT

MRI

Annotated Images & Illustrations

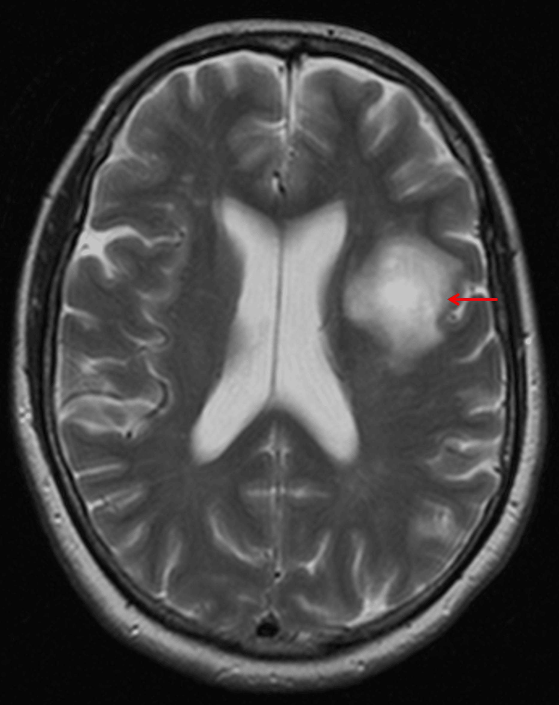
Masslike area of T2 signal hyperintensity in the left frontal white matter (red arrow) with surprisingly essentially no mass effect on the left lateral ventricle or adjacent sulci.

Masslike area of T2 signal hyperintensity in the left frontal white matter (red arrow) with surprisingly essentially no mass effect on the left lateral ventricle or adjacent sulci.

Diagnosis

Tumefactive demyelinating lesion

Key Imaging Features

Become a PRO member to unlock the key imaging features

Differential Diagnosis

Become a PRO member to unlock the differential diagnosis

Discussion

PRO Plan Required

Unlock the discussion with a PRO membership

View Plans

Pearls

Become a PRO member to unlock the pearls

Site Feedback

Your feedback helps us improve CaseStacks. Please share your thoughts, suggestions, or report any issues you've encountered.

/5
Thank you for your feedback! We appreciate your input.