Skip to main content
Case #28

PRO Plan Required

Unlock this case with a PRO membership

Demographics: 3 years old, Female
Indication: Gait instability, confusion

Case #28

Findings

CT

MRI

  • T1 hypointense, slightly T2 hyperintense mass centered in the inferior aspect of the left cerebellar hemisphere with diffuse enhancement and mild diffuse restricted diffusion
  • Crescentic cystic components along the periphery of the mass
  • Mild adjacent parenchymal edema
  • Corresponding mass effect with obstructive hydrocephalus at the level of the fourth ventricle and mild upward transtentorial herniation

Annotated Images & Illustrations

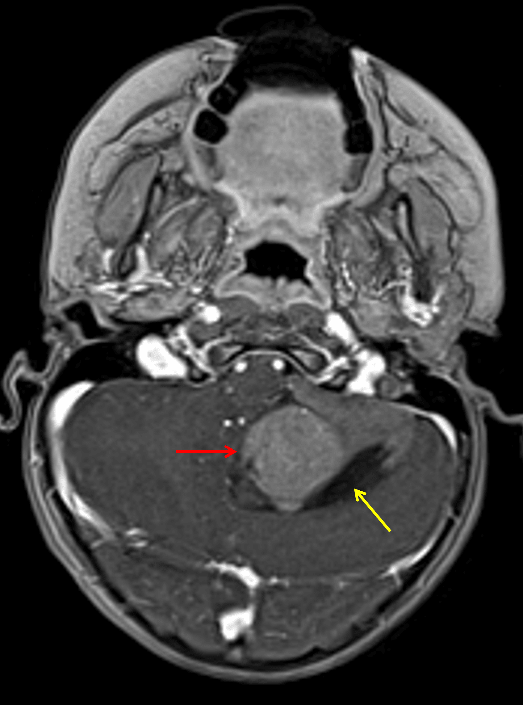
Enhancing mass centered in the left cerebellar hemisphere (red arrow) with a peripheral cystic component (yellow arrow).

Enhancing mass centered in the left cerebellar hemisphere (red arrow) with a peripheral cystic component (yellow arrow).

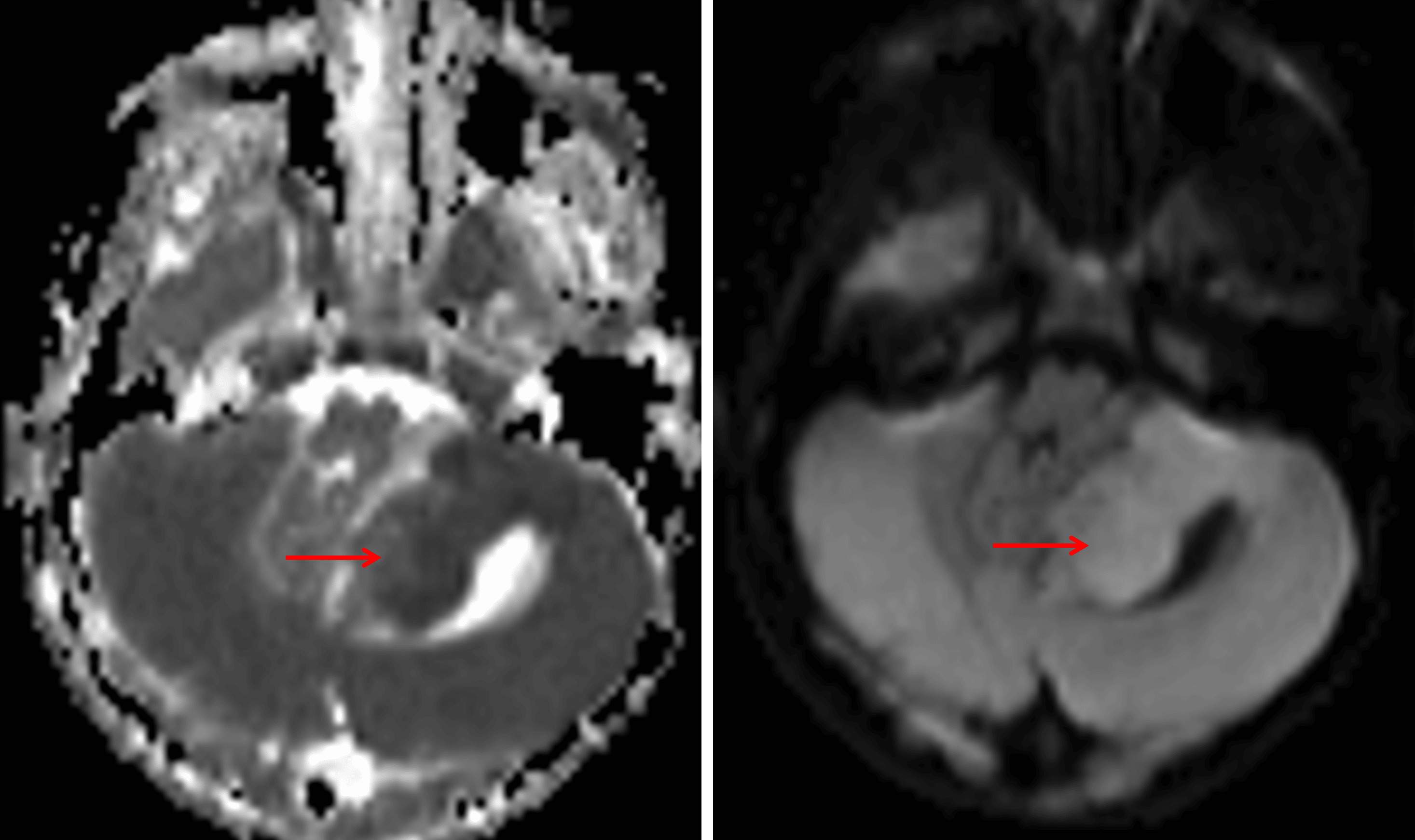
Mild corresponding restricted diffusion (red arrows).

Mild corresponding restricted diffusion (red arrows).

Diagnosis

Medulloblastoma (SHH-activated, TP53 wild-type, nodular desmoplastic histology)

Differential Diagnosis

Become a PRO member to unlock the differential diagnosis

Pearls

Become a PRO member to unlock the pearls

Site Feedback

Your feedback helps us improve CaseStacks. Please share your thoughts, suggestions, or report any issues you've encountered.

/5
Thank you for your feedback! We appreciate your input.