Skip to main content
Case #29

PRO Plan Required

Unlock this case with a PRO membership

Demographics: 67 years old, Male
Indication: New onset vertigo, nausea

Case #29

Findings

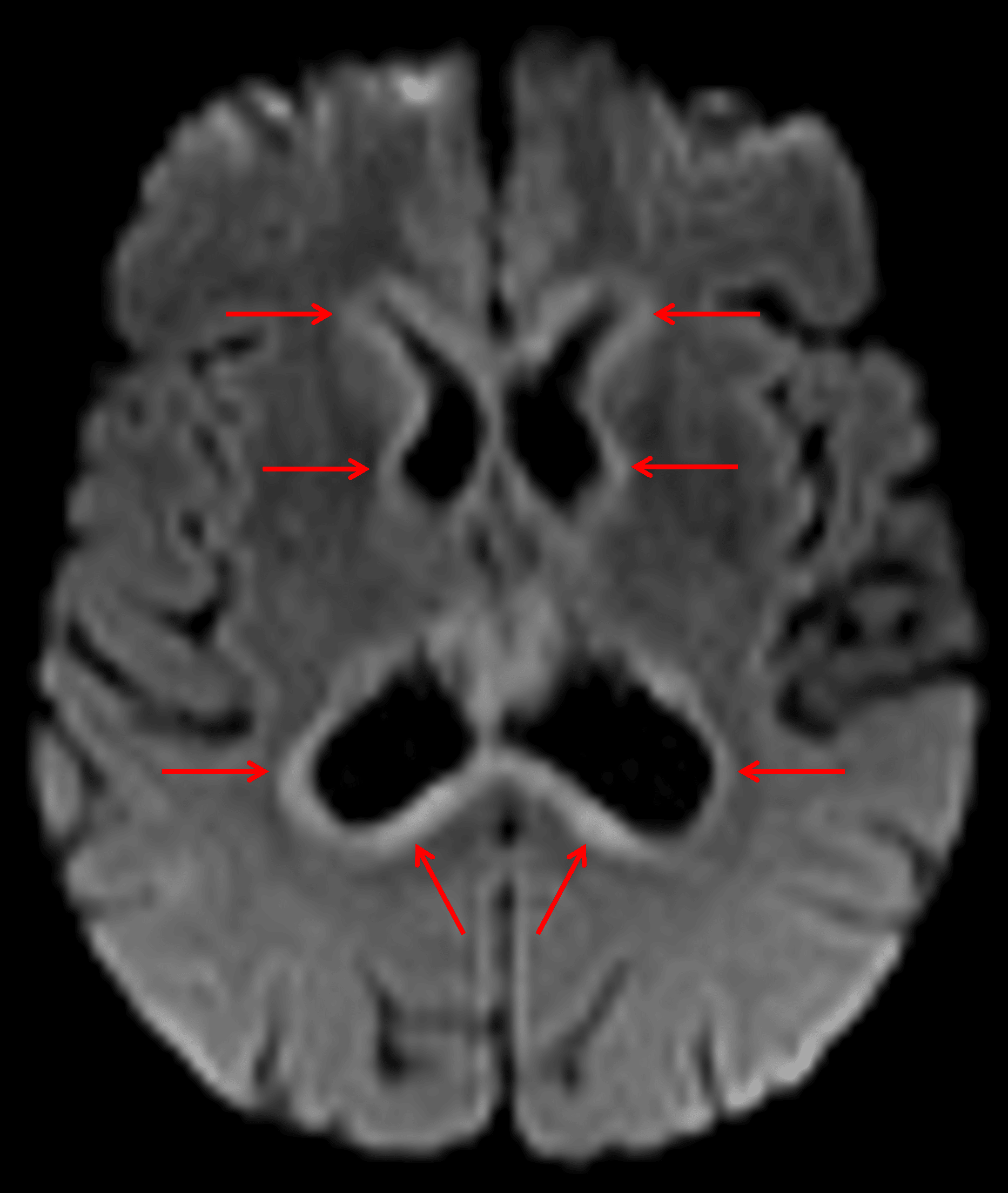
  • Thick diffuse restricted diffusion along the margins of the ventricular system with corresponding linear and nodular enhancement
  • Enhancement also extends along the hypothalamus and pituitary stalk
  • Subependymal T2/FLAIR signal hyperintensity also involving the inferior aspects of the lentiform nuclei, the hypothalamus, and the optic tracts
  • Mild prominence of the ventricular system, possibly representing communicating hydrocephalus

Annotated Images & Illustrations

Diffuse rim of restricted diffusion around the ventricles (red arrows), which is a typical appearance for secondary CNS lymphoma.

Diffuse rim of restricted diffusion around the ventricles (red arrows), which is a typical appearance for secondary CNS lymphoma.

Diagnosis

Secondary CNS lymphoma

Differential Diagnosis

Become a PRO member to unlock the differential diagnosis

Pearls

Become a PRO member to unlock the pearls

Site Feedback

Your feedback helps us improve CaseStacks. Please share your thoughts, suggestions, or report any issues you've encountered.

/5
Thank you for your feedback! We appreciate your input.