Skip to main content
Case #27

PRO Plan Required

Unlock this case with a PRO membership

Demographics: 17 years old, Female
Indication: Encephalopathy

Case #27

Findings

  • T2/FLAIR signal hyperintensity in the right greater than left thalami and right greater than left dorsal midbrain with involvement of the periaqueductal gray matter, hypothalamus, anterior commissure, and mamillary bodies
  • Areas of cystic change in the right thalamus and right eccentric midbrain
  • No corresponding enhancement or restricted diffusion
  • No substantial intracranial mass effect or evidence of hydrocephalus

Annotated Images & Illustrations

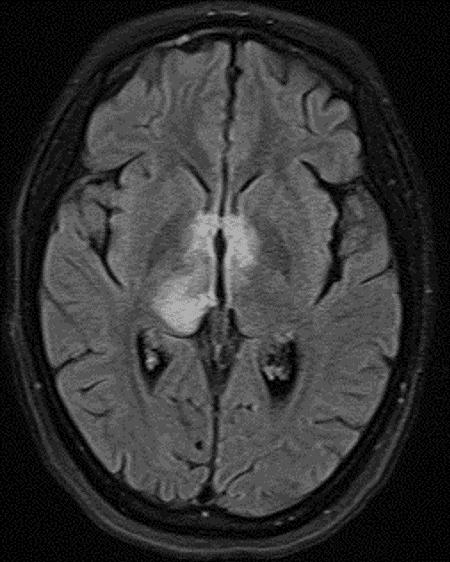
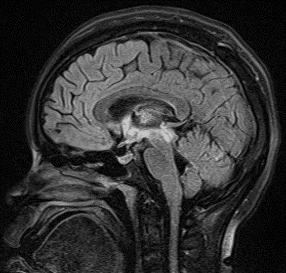
FLAIR signal hyperintensity along the ependymal margins of the third ventricle and cerebral aqueduct, extending into the right greater than left thalami.

FLAIR signal hyperintensity along the ependymal margins of the third ventricle and cerebral aqueduct, extending into the right greater than left thalami.

FLAIR signal hyperintensity along the ependymal margins of the third ventricle and cerebral aqueduct, extending into the right greater than left thalami.

FLAIR signal hyperintensity along the ependymal margins of the third ventricle and cerebral aqueduct, extending into the right greater than left thalami.

Diagnosis

Neuromyelitis optica (NMO)

Key Imaging Features

Become a PRO member to unlock the key imaging features

Differential Diagnosis

Become a PRO member to unlock the differential diagnosis

Discussion

PRO Plan Required

Unlock the discussion with a PRO membership

View Plans

Pearls

Become a PRO member to unlock the pearls

Site Feedback

Your feedback helps us improve CaseStacks. Please share your thoughts, suggestions, or report any issues you've encountered.

/5
Thank you for your feedback! We appreciate your input.