Skip to main content
Case #16

PRO Plan Required

Unlock this case with a PRO membership

Demographics: 52 years old, Male
Indication: Vision loss

Case #16

Findings

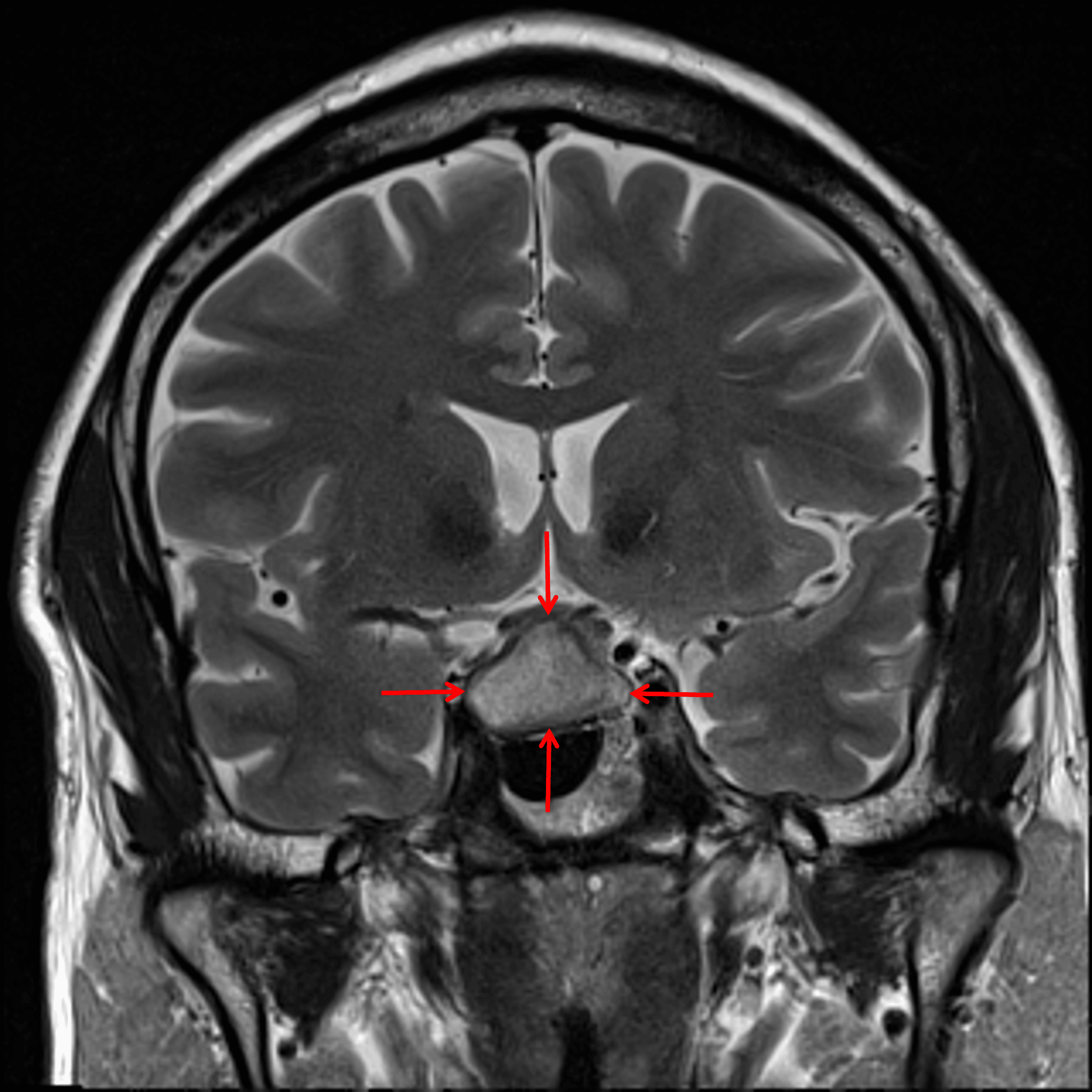
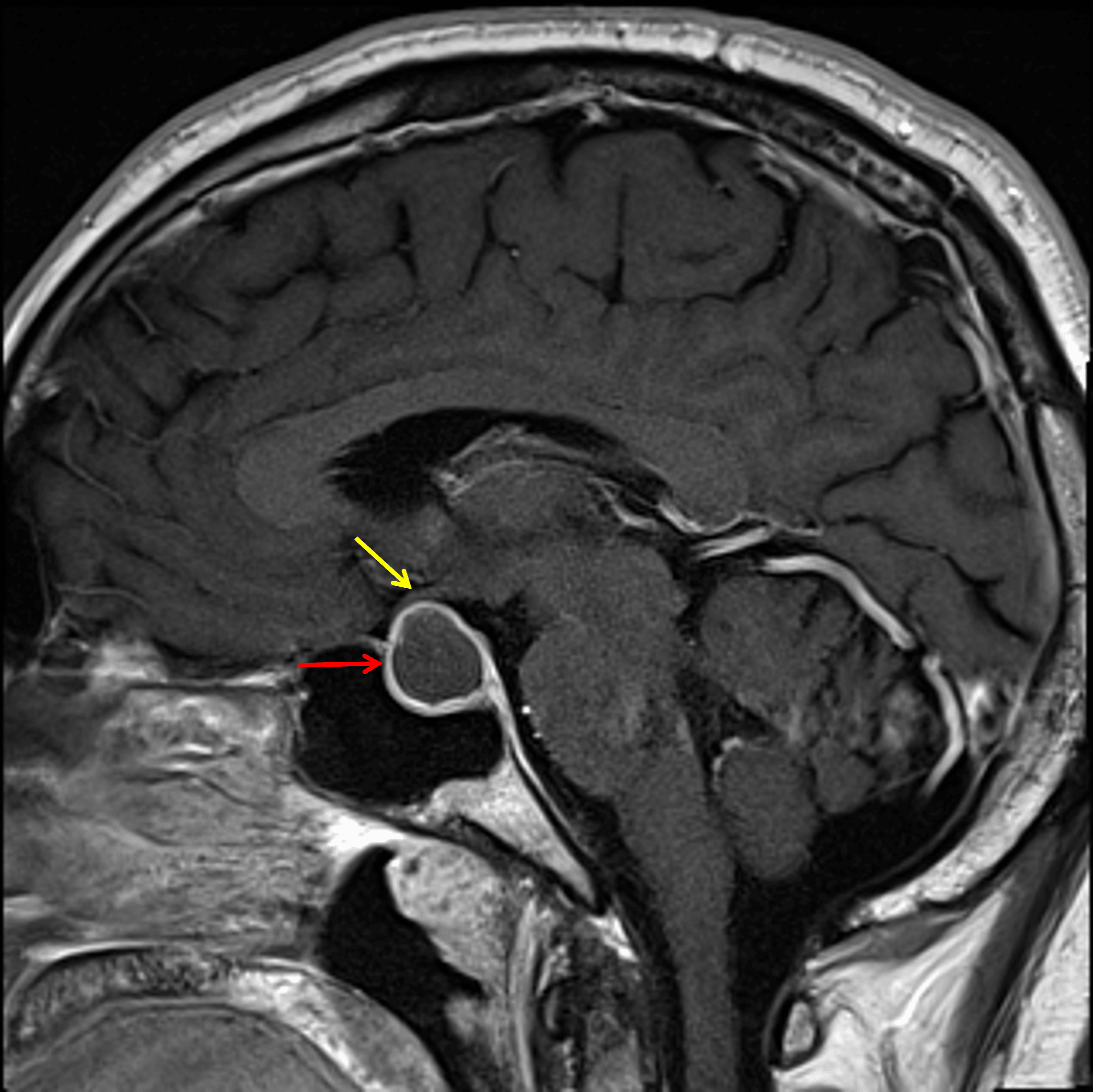
  • Peripherally-enhancing sellar/suprasellar mass measuring 2.5 x 1.6 x 1.7 cm, which is not separable from the pituitary gland
  • Centrally, the lesion is mildly T1 hypointense and T2 hyperintense
  • No corresponding restricted diffusion
  • The lesion bulges to the intercarotid line on the right and remains medial to the medial carotid tangent line on the left
  • The lesion contacts and mildly uplifts the optic chiasm

Annotated Images & Illustrations

Cystic sellar/suprasellar mass with internal T2 signal hyperintensity (red arrows).

Cystic sellar/suprasellar mass with internal T2 signal hyperintensity (red arrows).

The lesion demonstrates peripheral enhancement (red arrow) and contacts and mildly uplifts the optic chiasm (yellow arrow).

The lesion demonstrates peripheral enhancement (red arrow) and contacts and mildly uplifts the optic chiasm (yellow arrow).

Diagnosis

Cystic pituitary adenoma

Differential Diagnosis

Become a PRO member to unlock the differential diagnosis

Pearls

Become a PRO member to unlock the pearls

Site Feedback

Your feedback helps us improve CaseStacks. Please share your thoughts, suggestions, or report any issues you've encountered.

/5
Thank you for your feedback! We appreciate your input.