Findings
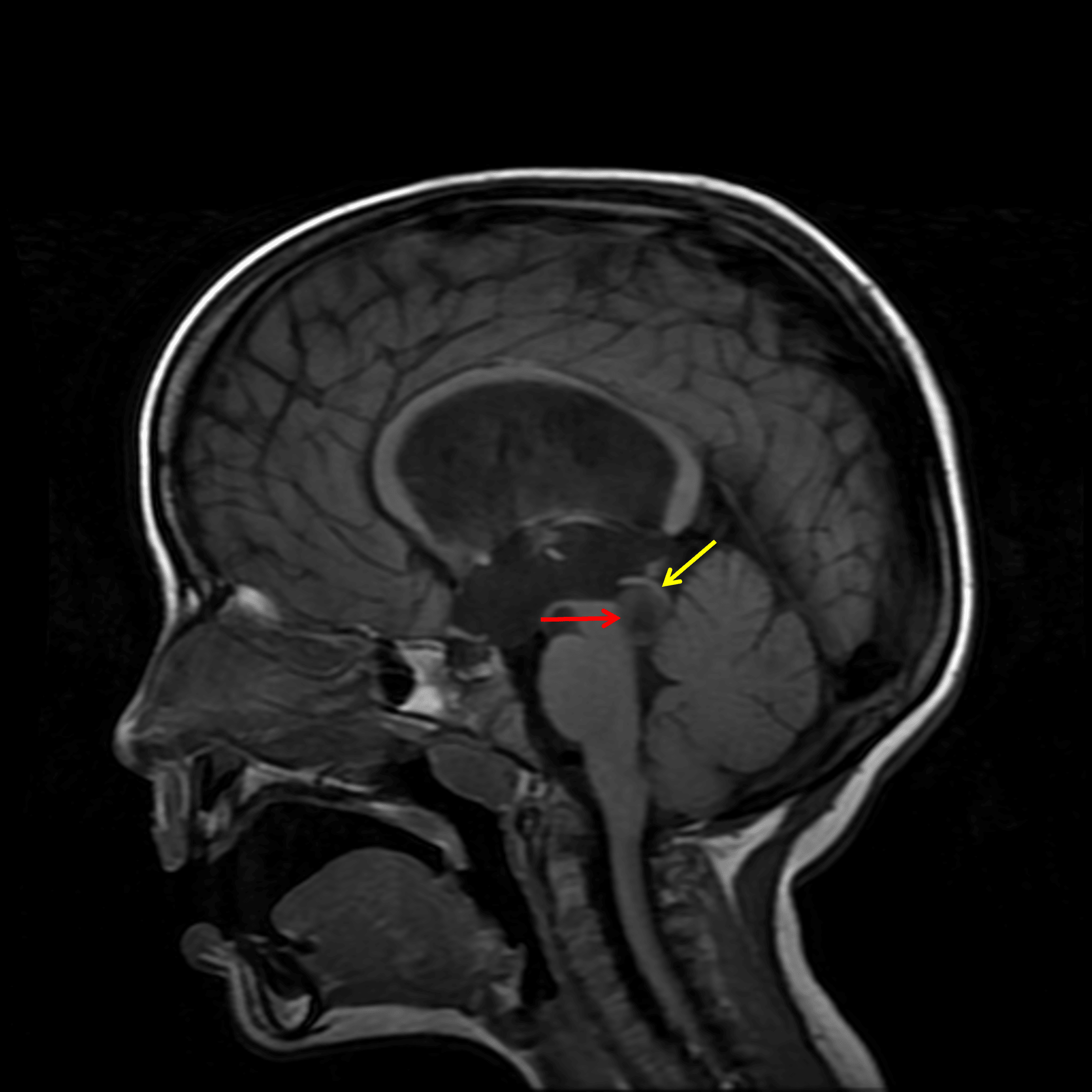
- T1 hypointense, T2/FLAIR hyperintense lesion in the right eccentric tectum measuring 1.5 x 1 x 1.5 cm
- No corresponding enhancement or restricted diffusion
- Associated mass effect on the cerebral aqueduct with resultant obstructive hydrocephalus and mild subependymal edema
Annotated Images & Illustrations
T1 hypointense tectal mass (red arrow) with associated obstructive hydrocephalus at the level of the cerebral aqueduct. A rim of normal parenchyma along its superior margin (yellow arrow) helps exclude a pineal origin of this particular mass.
Diagnosis
Tectal glioma
Key Imaging Features
Become a PRO member to unlock the key imaging features
Differential Diagnosis
Become a PRO member to unlock the differential diagnosis
Discussion
Pearls
Become a PRO member to unlock the pearls