Skip to main content
Case #16

PRO Plan Required

Unlock this case with a PRO membership

Demographics: 13 years old, Male
Indication: Seizure

Case #16

Findings

CT

MRI

Annotated Images & Illustrations

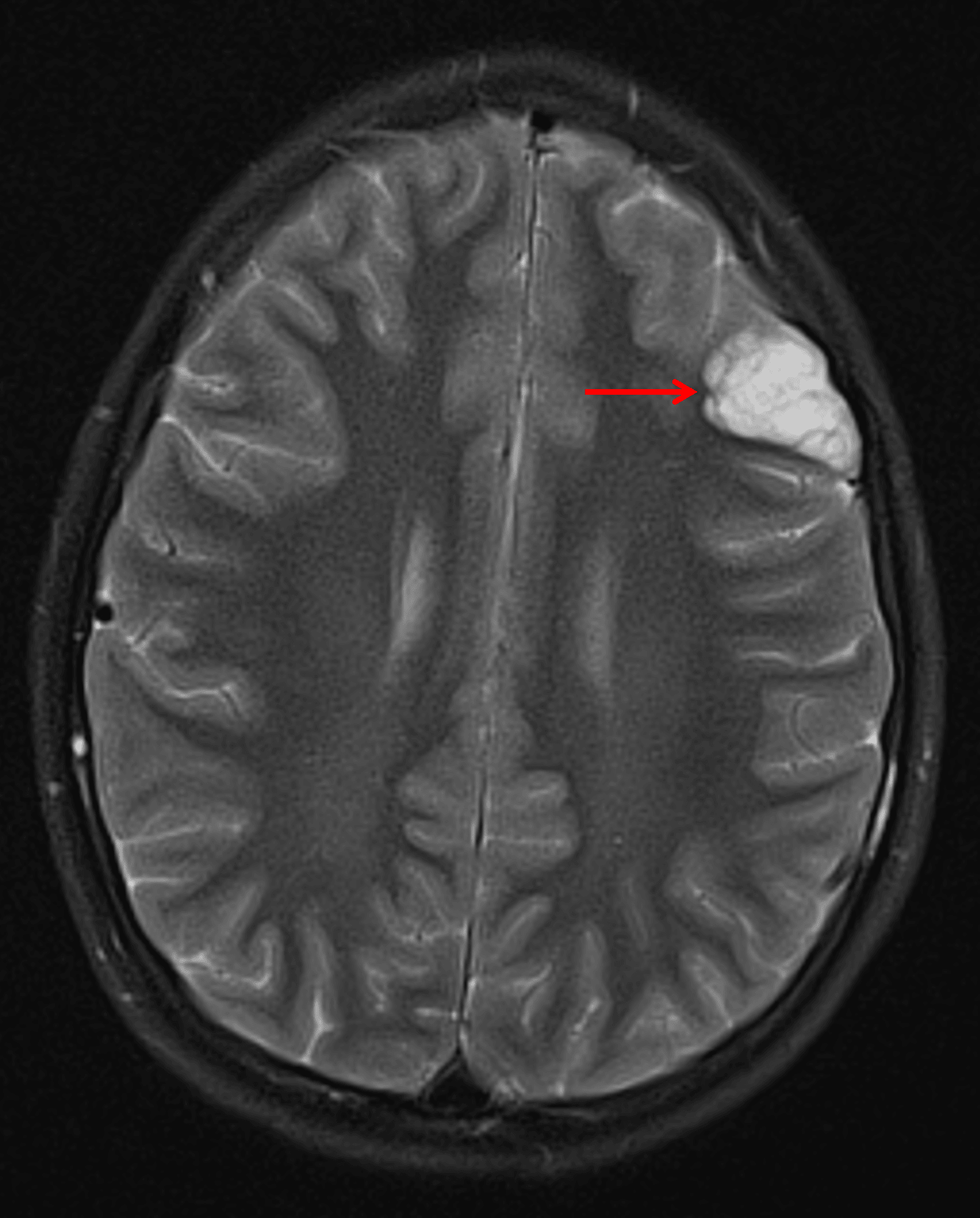
Wedge-shaped, cortically-based, bubbly T2 hyperintense lesion in the left frontal lobe (red arrow) consistent with a DNET.

Wedge-shaped, cortically-based, bubbly T2 hyperintense lesion in the left frontal lobe (red arrow) consistent with a DNET.

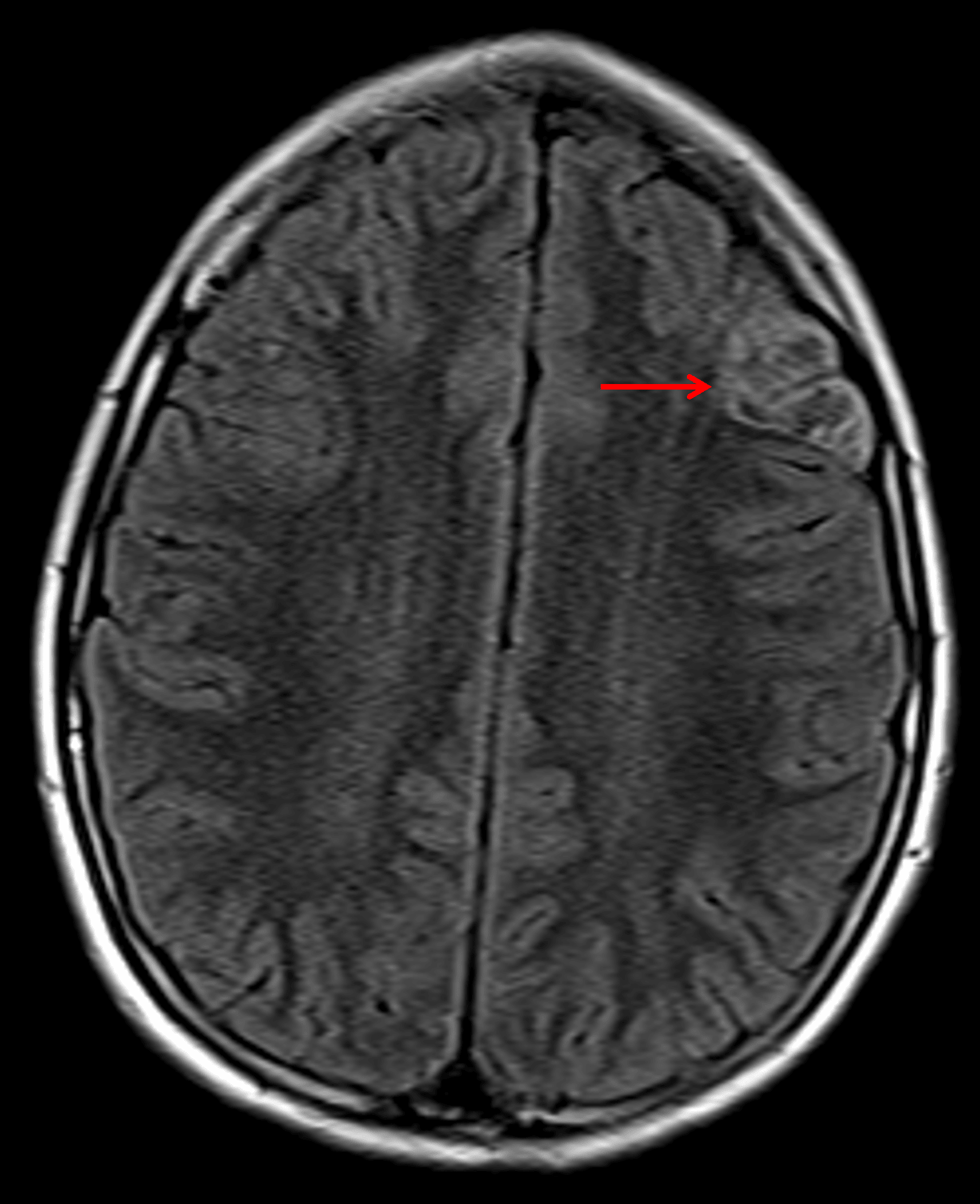
Note the heterogeneous internal FLAIR signal with a preserved hyperintense rim (red arrow).

Note the heterogeneous internal FLAIR signal with a preserved hyperintense rim (red arrow).

Diagnosis

Dysembryoplastic neuroepithelial tumor (DNET)

Key Imaging Features

Become a PRO member to unlock the key imaging features

Differential Diagnosis

Become a PRO member to unlock the differential diagnosis

Discussion

PRO Plan Required

Unlock the discussion with a PRO membership

View Plans

Pearls

Become a PRO member to unlock the pearls

Site Feedback

Your feedback helps us improve CaseStacks. Please share your thoughts, suggestions, or report any issues you've encountered.

/5
Thank you for your feedback! We appreciate your input.