Skip to main content
Case #1
Demographics: 8 years old, Male
Indication: Fall

Case #1

Findings

  • Acute buckle fractures of the distal radial and ulnar metaphyses with slight dorsal angulation

Diagnosis

Buckle fractures

Sample Report

Acute buckle fractures of the distal radial and ulnar metaphyses with slight dorsal angulation.

No joint malalignment.

Discussion

  • Buckle fractures are very common in children, and most commonly involve the dorsal distal radial and ulnar metaphyses
  • Buckle fractures often come in pairs, so look very closely at the distal radial and ulnar metaphyses on all radiographic views
  • Make sure to look for intra-articular fracture extension and joint malalignment

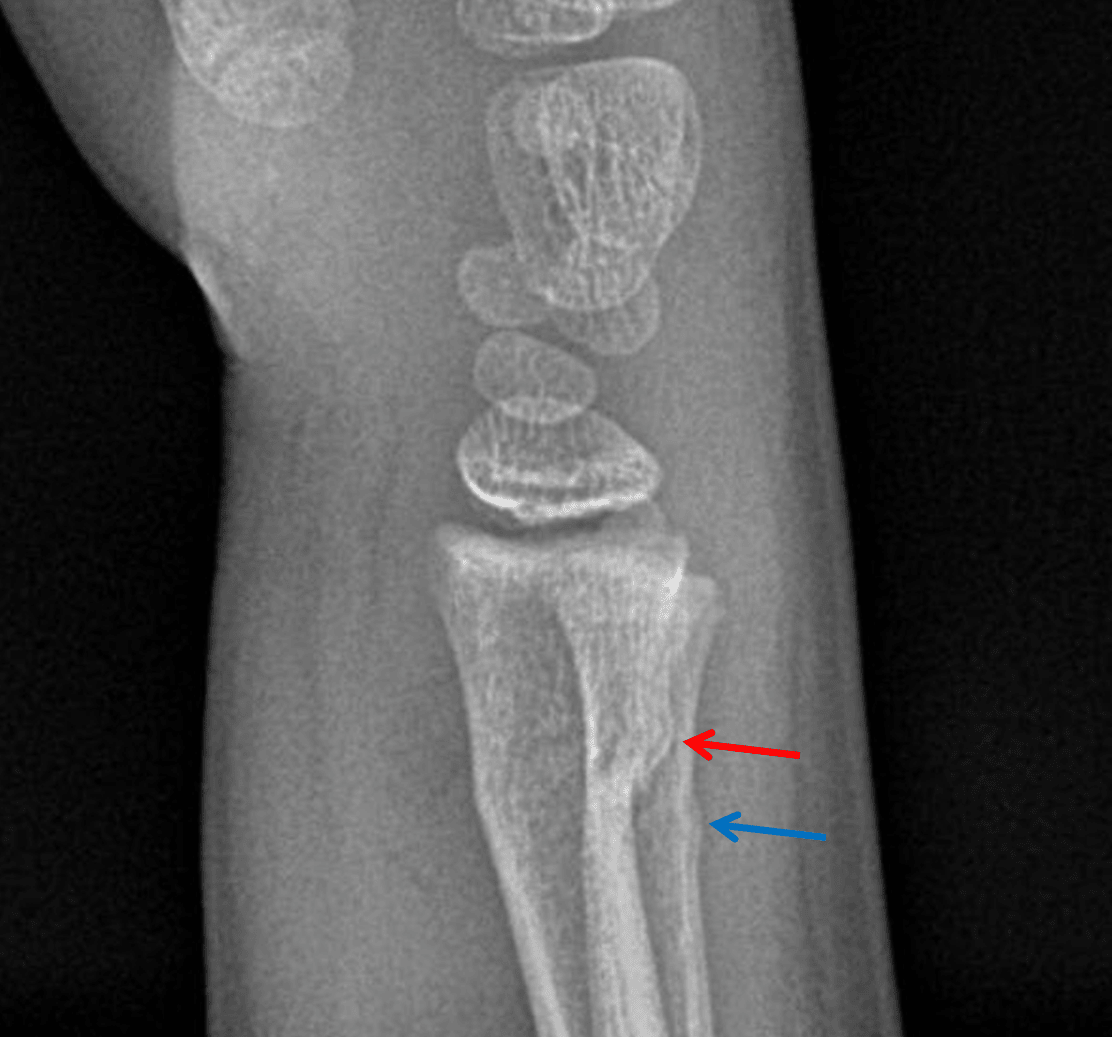
Annotated Images & Illustrations

Acute buckle fractures of the dorsal distal radial (red arrow) and ulnar (blue arrow) metaphyses.

Acute buckle fractures of the dorsal distal radial (red arrow) and ulnar (blue arrow) metaphyses.

Site Feedback

Your feedback helps us improve CaseStacks. Please share your thoughts, suggestions, or report any issues you've encountered.

/5
Thank you for your feedback! We appreciate your input.