Skip to main content
Case #1
Demographics: 13 years old, Male
Indication: Knee injury

Case #1

Findings

Diagnosis

Lipohemarthrosis

Sample Report

Moderate lipohemarthrosis. While no acute fracture is identified, lipohemarthrosis raises concern for occult fracture. Consider CT or MRI for further evaluation.

No malalignment.

Discussion

  • Often results from an intra-articular fracture resulting in release of fat ("lipo") and blood ("hemo") into the joint space
  • Look for a layering fat-fluid level on cross table lateral view
  • When you see lipohemarthrosis and don't see a fracture, always raise the possibility of an occult fracture and suggest CT or MRI for further evaluation

Annotated Images & Illustrations

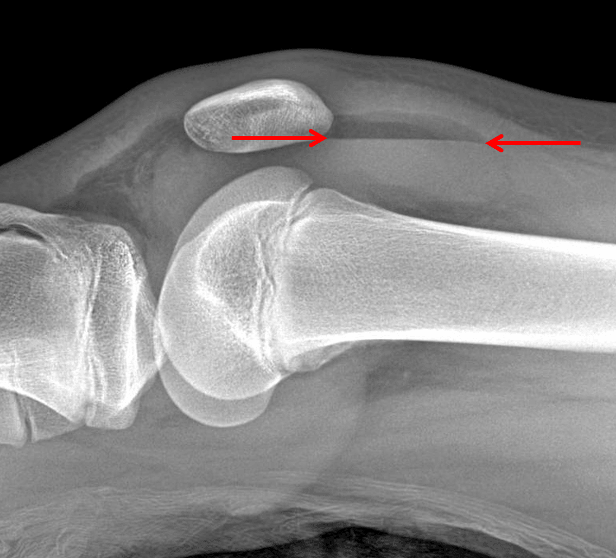
Red arrows: fat fluid level indicating a lipohemarthrosis.

Red arrows: fat fluid level indicating a lipohemarthrosis.

Followup knee MRI in this patient shows a large medial femoral condyle bone contusion without clear fracture line.

Followup knee MRI in this patient shows a large medial femoral condyle bone contusion without clear fracture line.

Site Feedback

Your feedback helps us improve CaseStacks. Please share your thoughts, suggestions, or report any issues you've encountered.

/5
Thank you for your feedback! We appreciate your input.