Skip to main content
Case #2
Demographics: 11 years old, Female
Indication: Knee injury

Case #2

Findings

Diagnosis

Tibial plateau fracture

Sample Report

Acute minimally depressed Salter IV fracture of the lateral tibial plateau. No physeal widening.

Large joint effusion.

No joint malalignment.

Discussion

  • Tibial plateau fractures are most commonly characterized using the Schatzker classification, which classifies fractures by increasing severity of injury as well as increasing likelihood of poor outcome
  • While it is not necessary to provide a Schatzker classification in your report, it is helpful to understand the classification scheme as it can help you create reports that are more readable for your referring surgeons. Note that the lateral plateau is injured with less severe trauma than the medial plateau
  • Here is an overview of the Schatzker classification:
    • I - Lateral plateau fracture with < 4 mm depression or displacement
    • II - Lateral plateau fracture with depression or displacement > 4 mm
    • III - Pure compression fracture of the lateral plateau
    • IV - Medial plateau fracture with depression or split component
    • V - Medial and lateral plateau fractures
    • VI - Any of the above in addition to a transverse subcondylar fracture resulting in isolation of the metaphysis from the diaphysis

Annotated Images & Illustrations

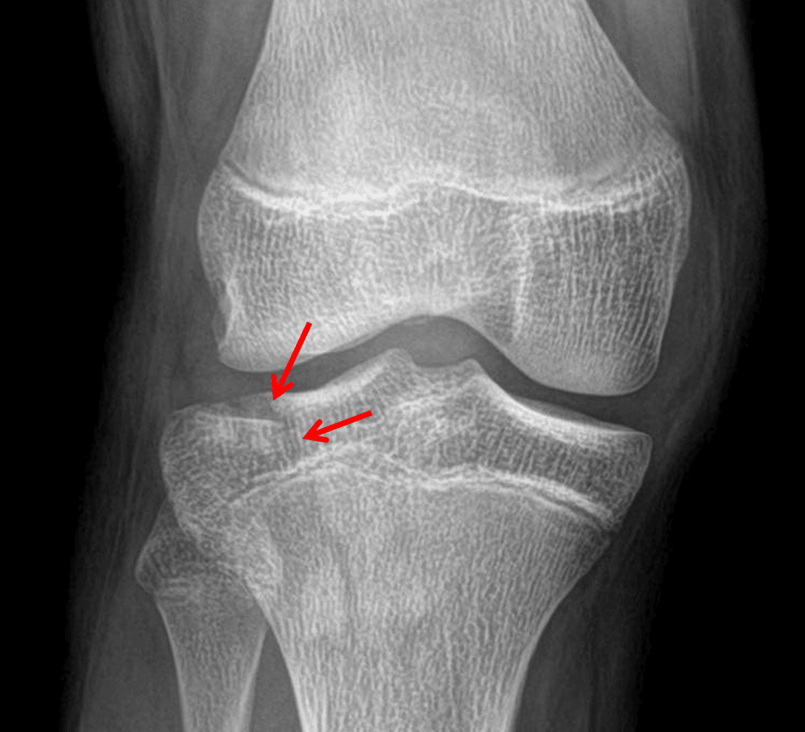
Red arrows: minimally depressed Saltar IV fracture of the lateral tibial plateau (Schatzker I).

Red arrows: minimally depressed Saltar IV fracture of the lateral tibial plateau (Schatzker I).

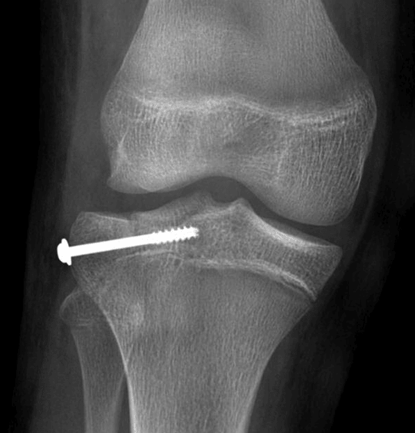
Postoperative radiograph in this patient.

Postoperative radiograph in this patient.

Site Feedback

Your feedback helps us improve CaseStacks. Please share your thoughts, suggestions, or report any issues you've encountered.

/5
Thank you for your feedback! We appreciate your input.