Skip to main content
Case #2
Demographics: 13 years old, Male
Indication: Fall

Case #2

Findings

Diagnosis

Radial head fracture

Sample Report

Acute mildly impacted radial head fracture.

Elbow joint effusion.

No malalignment.

Discussion

  • Radial head fractures are the most common elbow fractures in older adolescents and adults
  • Just like supracondylar fractures, these can be subtle, with an elbow joint effusion sometimes being the only radiographic finding
  • Make sure to always look for and comment on joint alignment

Annotated Images & Illustrations

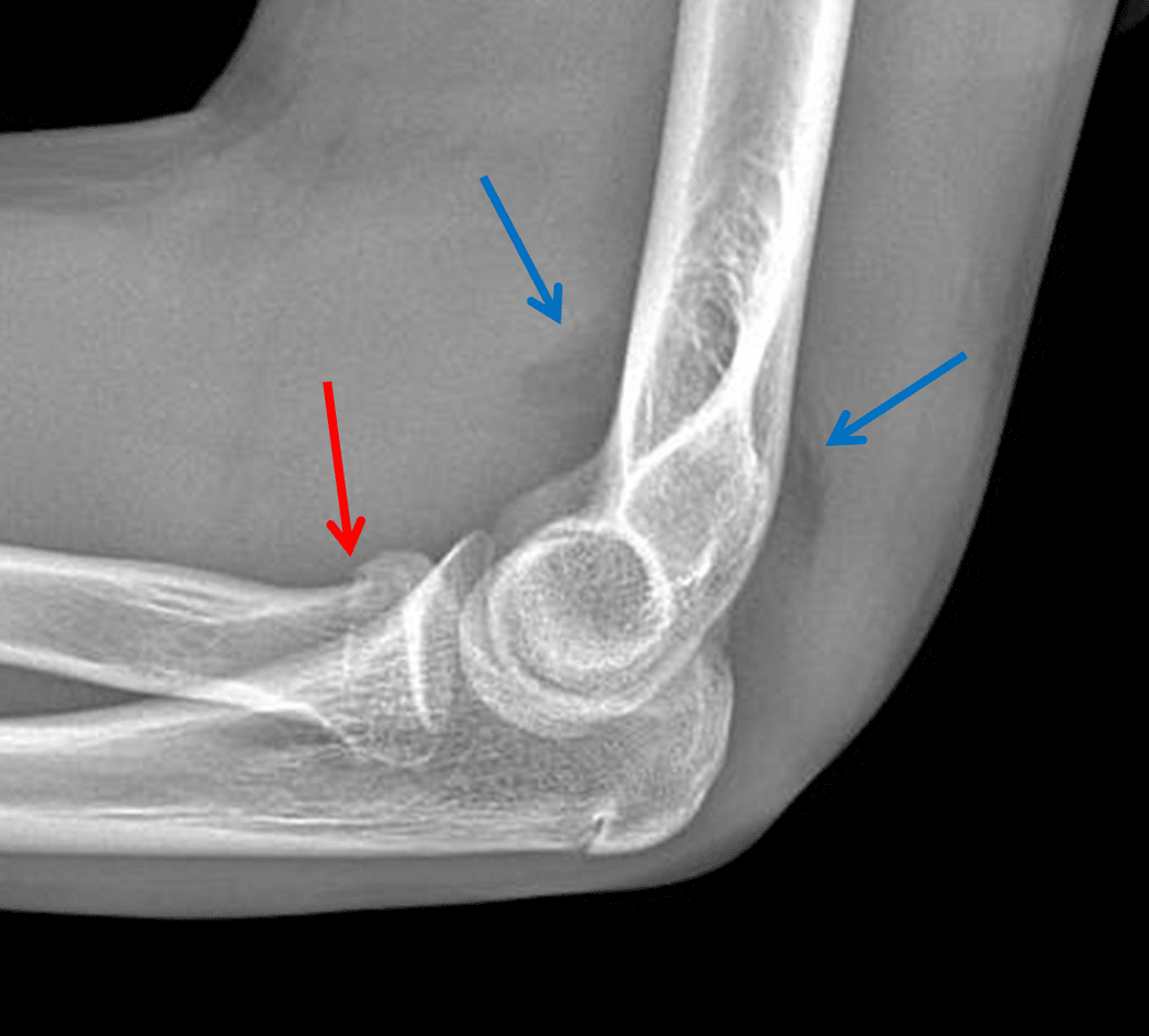
Red arrow: mildly impacted radial head fracture. Blue arrows: uplifted anterior and posterior fat pads indicative of a joint effusion.

Red arrow: mildly impacted radial head fracture. Blue arrows: uplifted anterior and posterior fat pads indicative of a joint effusion.

Elbow joint effusion. Illustration by Valerie George, MD

Elbow joint effusion. Illustration by Valerie George, MD

Site Feedback

Your feedback helps us improve CaseStacks. Please share your thoughts, suggestions, or report any issues you've encountered.

/5
Thank you for your feedback! We appreciate your input.