Use mouse wheel, arrow keys or left click (with scroll tool selected) to scroll
ui.case.use_touch_gestures
DICOM HelpSource: Local (us-east1-c)
Findings
- Acute nondisplaced, mildly impacted transverse fracture of the distal radial metaphysis with mild dorsal tilt and intraarticular extension
- Acute nondisplaced ulnar styloid fracture
- Mild acquired ulnar positive variance
- Mild degenerative changes of the first CMC and triscaphe joints
Diagnosis
Colles fracture (Frykman IV)
Sample Report
Acute nondisplaced, mildly impacted transverse fracture of the distal radial metaphysis with mild dorsal tilt and intraarticular extension.
Acute nondisplaced ulnar styloid fracture.
Mild acquired ulnar positive variance.
Mild degenerative changes of the first CMC and triscaphe joints.
Discussion
- Distal radial fractures can often be referred to as one of the following 3 eponyms:
- Colles fracture - a transverse fracture with dorsal tilt of the distal radial articular surface. May have associated impaction and/or intraarticular extension
- Some reserve this term only for fractures that do not have intraarticular extension
- Smith fracture - a transverse fracture with **volar **tilt of the distal radial articular surface. May have associated impaction and/or intraarticular extension
- Barton fracture - an obliquely-oriented intraarticular distal radial fracture that may result in an articular surface step-off
- Technically a Barton fracture involves the dorsal articular surface. If the fracture involves the volar surface, it is referred to as a reverse Barton fracture
- Colles fracture - a transverse fracture with dorsal tilt of the distal radial articular surface. May have associated impaction and/or intraarticular extension
- A commonly used classification system for distal radial fractures is the Frykman classification, which is based of the appearance of fractures on AP radiographs alone:
- Type I: extraarticular transverse metaphyseal fracture
- Type II: type I with an ulnar styloid fracture
- Type III: distal radial fracture extending into the radiocarpal joint
- Type IV: type III with an ulnar styloid fracture (like this case)
- Type V: transverse fracture involving the distal radioulnar joint, but not the radiocarpal joint
- Type VI: type V with an ulnar styloid fracture
- Type VII: comminuted fracture involving both the distal radioulnar and radiocarpal joints
- Type VIII: type VII with an ulnar styloid fracture
- Make sure to also look for ulnar positive variance when you see an impacted radial fracture, as this can lead to long-term morbidity
Annotated Images & Illustrations
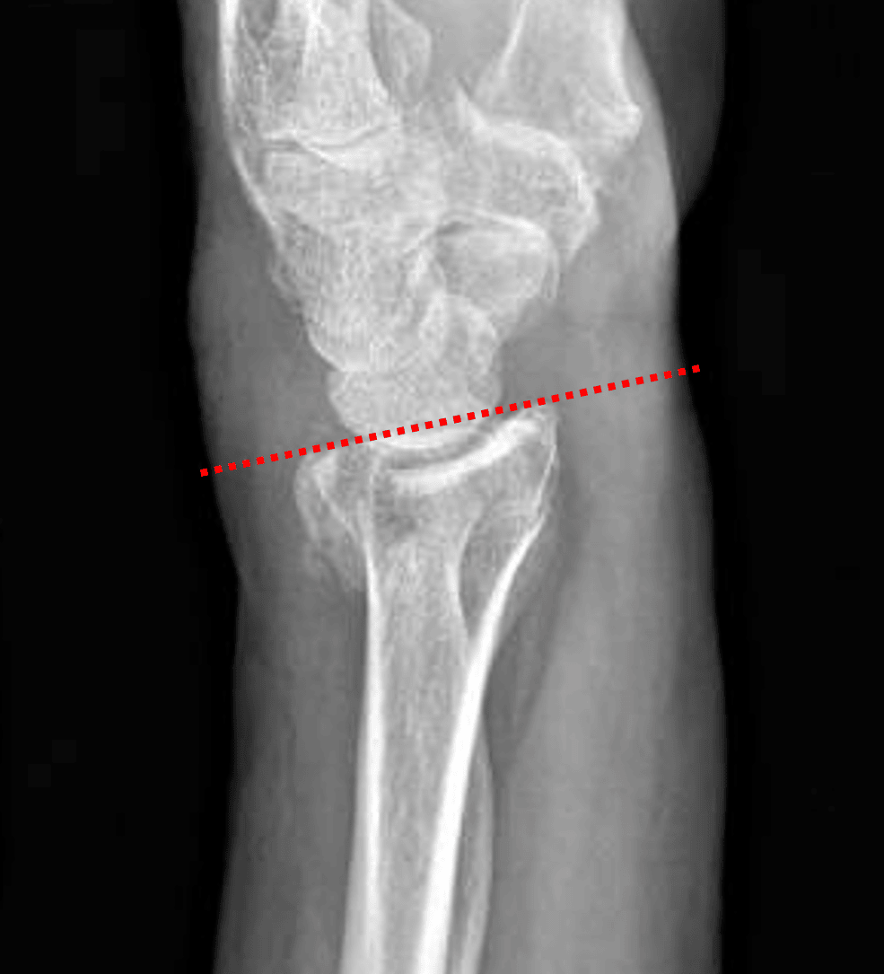
Colles fracture: lateral view shows mild dorsal tilt of the distal radial articular surface (red dotted line).
Types of distal radial fractures.
References