Skip to main content
Case #2
Demographics: 67 years old, Female
Indication: Fall

Case #2

Findings

  • Acute comminuted, impacted, transverse distal radial metaphyseal fracture with mild volar displacement, volar angulation of the distal radial articular surface, and extension into the radiocarpal joint
  • Acute mildly comminuted, minimally displaced spiral fracture of the distal ulna
  • Acquired ulnar positive variance
  • Mild degenerative changes of the first MCP joint and involving many of the carpal joints

Diagnosis

Smith fracture (Frykman IV)

Sample Report

Acute comminuted, impacted, transverse distal radial metaphyseal fracture with mild volar displacement, volar angulation of the distal radial articular surface, and extension into the radiocarpal joint.

Acute mildly comminuted, minimally displaced spiral fracture of the distal ulna.

Acquired ulnar positive variance.

Mild degenerative changes of the first MCP joint and involving many of the carpal joints.

Discussion

  • Distal radial fractures can often be referred to as one of the following 3 eponyms:
    • Colles fracture - a transverse fracture with dorsal tilt of the distal radial articular surface. May have associated impaction and/or intraarticular extension
      • Some reserve this term only for fractures that do not have intraarticular extension
    • Smith fracture - a transverse fracture with **volar **tilt of the distal radial articular surface. May have associated impaction and/or intraarticular extension
    • Barton fracture - an obliquely-oriented intraarticular distal radial fracture that may result in an articular surface step-off
      • Technically a Barton fracture involves the dorsal articular surface. If the fracture involves the volar surface, it is referred to as a reverse Barton fracture
  • A commonly used classification system for distal radial fractures is the Frykman classification, which is based of the appearance of fractures on AP radiographs alone:
    • Type I: extraarticular transverse metaphyseal fracture
    • Type II: type I with an ulnar styloid fracture
    • Type III: distal radial fracture extending into the radiocarpal joint
    • Type IV: type III with an ulnar styloid fracture
    • Type V: transverse fracture involving the distal radioulnar joint, but not the radiocarpal joint
    • Type VI: type V with an ulnar styloid fracture
    • Type VII: comminuted fracture involving both the distal radioulnar and radiocarpal joints
    • Type VIII: type VII with an ulnar styloid fracture
  • Make sure to also look for ulnar positive variance when you see an impacted radial fracture, as this can lead to long-term morbidity

Annotated Images & Illustrations

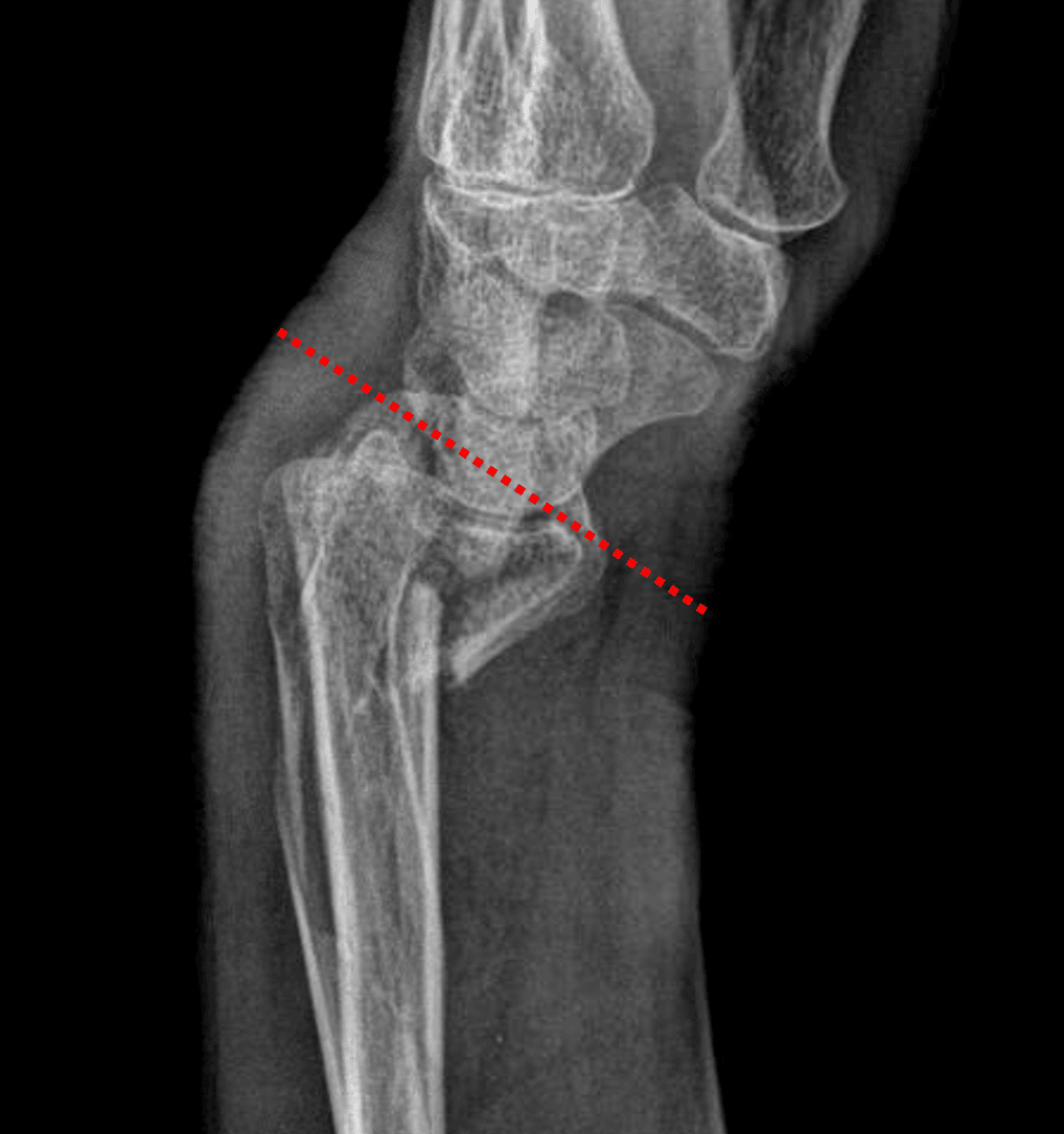
Smith fracture with volar displacement and volar angulation of the distal radial articular surface (red dotted line).

Smith fracture with volar displacement and volar angulation of the distal radial articular surface (red dotted line).

Types of distal radial fractures.

Types of distal radial fractures.

Site Feedback

Your feedback helps us improve CaseStacks. Please share your thoughts, suggestions, or report any issues you've encountered.

/5
Thank you for your feedback! We appreciate your input.