Skip to main content
Case #2
Demographics: 55 years old, Male
Indication: Chest pain

Case #2

Findings

Diagnosis

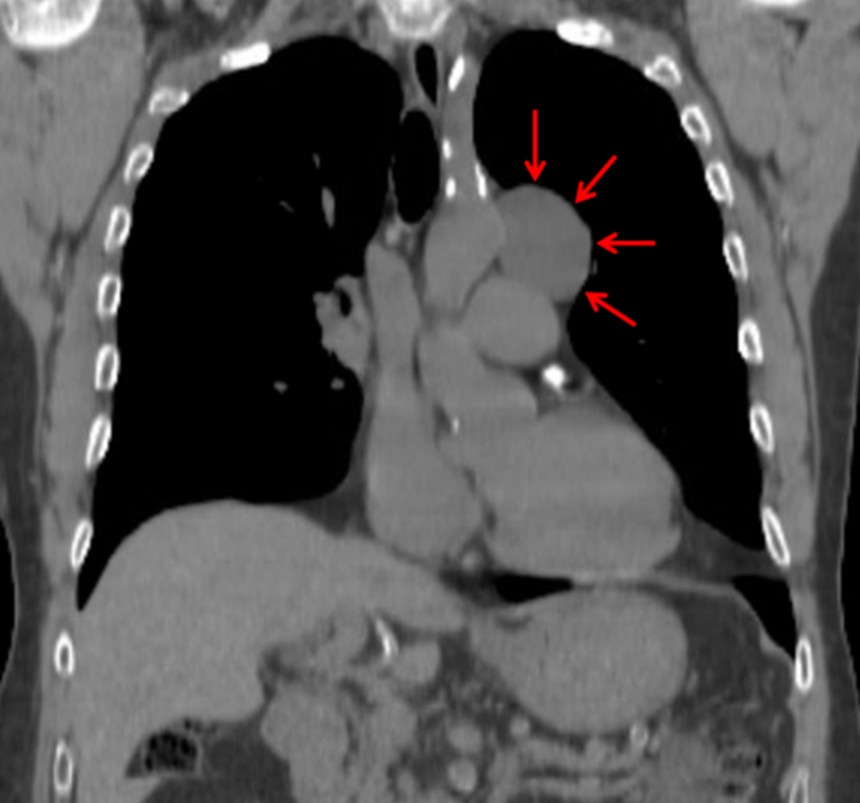
Middle mediastinal mass (duplication cyst)

Sample Report

Left middle mediastinal mass. Recommend CT for further evaluation.

Otherwise no evidence of acute cardiopulmonary disease.

Discussion

  • It is important to try to separate mediastinal masses based on location in the anterior, middle, or posterior mediastinum
  • A recent publication by the International Thymic Malignancy Interest Group (ITMIG) defines the three mediastinal compartments as prevascular (bounded posteriorly by the pericardium), visceral (bounded anteriorly by the pericardium and posteriorly by an imaginary line drawn through each thoracic vertebral body 1 cm from its anterior margin), and paravertebral
  • Think about the following categories with middle (visceral) mediastinal masses:
    • vascular pathology - e.g. dissection, aneurysm, variant anatomy
    • lymph nodes
    • tumors - especially cardiac or pericardial
    • incidental - pericardial cysts, duplication cysts
    • esophageal pathology: tumor, dilation, hiatal hernia
  • This case turned out to be a benign duplication cyst (see CT below)

Annotated Images & Illustrations

CT demonstrated a middle mediastinal mass most consistent with a benign duplication cyst (red arrows).

CT demonstrated a middle mediastinal mass most consistent with a benign duplication cyst (red arrows).

Site Feedback

Your feedback helps us improve CaseStacks. Please share your thoughts, suggestions, or report any issues you've encountered.

/5
Thank you for your feedback! We appreciate your input.