Skip to main content
Case #3
Demographics: 79 years old, Female
Indication: Shortness of breath

Case #3

Findings

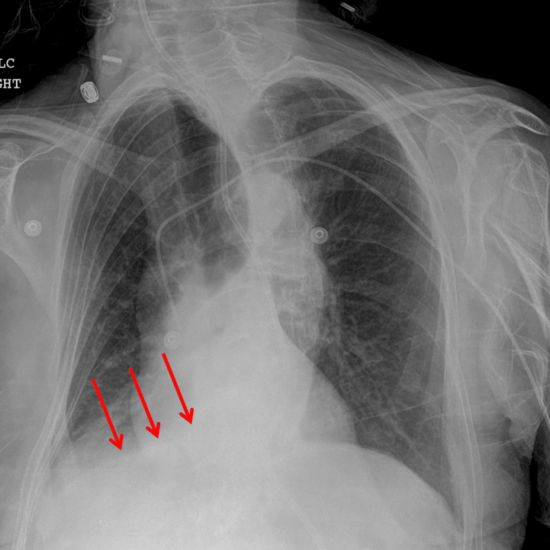
  • Triangular opacity at the posteromedial right lung base with loss of the silhouette of the medial and posterior aspect of the right hemidiaphragm
  • Evidence of volume loss in the right hemithorax including elevation of the right hemidiaphragm, inferior positioning of the right hilum, rightward mediastinal shift, and crowding of many right ribs
  • Possible right hilar fullness
  • Likely chronic interstitial coarsening
  • Left upper extremity PICC tip projects over the superior cavoatrial junction
  • Feeding tube courses beyond the inferior border of the image
  • Anterior wedging of a midthoracic vertebral body with associated focal kyphosis
  • Thoracic levoscoliosis
  • Osteopenia

Diagnosis

Right lower lobe collapse

Sample Report

Right lower lobe collapse with question of right hilar fullness. Recommend chest CT to exclude an obstructing hilar mass. Superimposed aspiration/pneumonia at the right lung base is not excluded, though the right basilar opacification could be entirely explained by lobar collapse.

Discussion

  • The right lower lobe usually collapses to the inferior/posterior/medial aspect of the right hemithorax, resulting in loss of the medial and posterior silhouette of the right hemidiaphragm. The right heart border silhouette is preserved, which helps distinguish right lower lobe collapse from right middle lobe collapse

Annotated Images & Illustrations

Red arrows: right lower lobe collapse.

Red arrows: right lower lobe collapse.

Red arrows: right lower lobe collapse.

Red arrows: right lower lobe collapse.

Right lower lobe collapse. Illustration by Valerie George, MD

Right lower lobe collapse. Illustration by Valerie George, MD

Site Feedback

Your feedback helps us improve CaseStacks. Please share your thoughts, suggestions, or report any issues you've encountered.

/5
Thank you for your feedback! We appreciate your input.