Skip to main content
Case #2
Demographics: 33 years old, Female
Indication: Shortness of breath

Case #2

Findings

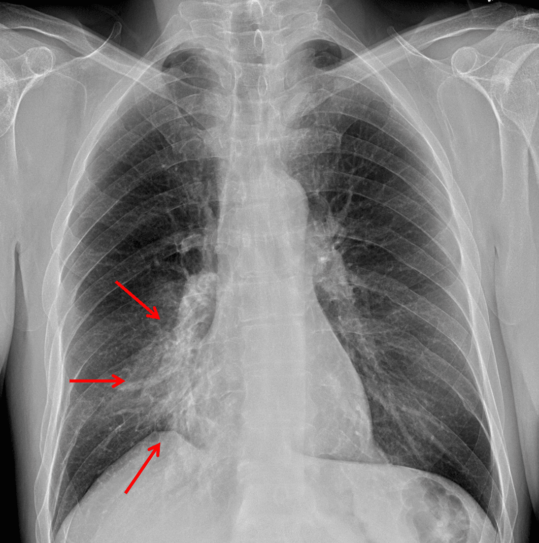
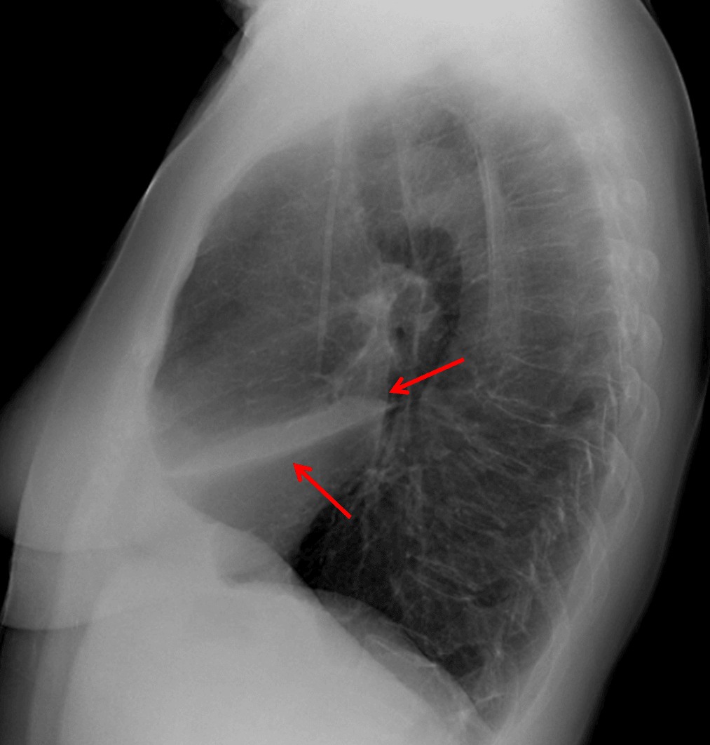
  • Blurring of the right heart border on the PA projection with a triangular opacity seen overlying the cardiac silhouette on the lateral projection
  • Right IJ approach port catheter with tip projecting over the superior cavoatrial junction
  • No pleural effusion or pneumothorax
  • Normal size and configuration of the cardiopericardial silhouette
  • Emphysema

Diagnosis

Right middle lobe collapse

Sample Report

Right middle lobe collapse. Recommend followup imaging to ensure resolution. If there is persistent lobar collapse on followup imaging, chest CT should be obtained to assess for a fixed obstructive lesion.

Discussion

  • Right middle lobe collapse classically results in a triangular anterior opacity on the lateral view and hazy opacity with loss of the right heart border on frontal view
  • Look for evidence of volume loss when trying to decide between atelectasis and consolidation. Signs of volume loss include hemidiaphragm elevation and hilar displacement toward the abnormality

Annotated Images & Illustrations

Red arrows: hazy airspace opacity with obscuring of the right heart border.

Red arrows: hazy airspace opacity with obscuring of the right heart border.

Red arrows: anterior airspace opacity sharply marginated by the major fissure inferiorly.

Red arrows: anterior airspace opacity sharply marginated by the major fissure inferiorly.

Right middle lobe collapse. Illustration by Valerie George, MD

Right middle lobe collapse. Illustration by Valerie George, MD

Site Feedback

Your feedback helps us improve CaseStacks. Please share your thoughts, suggestions, or report any issues you've encountered.

/5
Thank you for your feedback! We appreciate your input.