Skip to main content
Case #1
Demographics: 64 years old, Male
Indication: Shortness of breath

Case #1

Findings

  • Opacification and volume loss in the right upper lobe with superior displacement of the minor fissure
  • Mild rightward mediastinal shift
  • Mild patchy left lower lobe opacification
  • Right IJ approach Port-A-Cath with tip overlying the superior cavoatrial junction
  • No pleural effusion or pneumothorax
  • Normal size and configuration of the cardiopericardial silhouette

Diagnosis

Right upper lobe collapse

Sample Report

Right upper lobe collapse, which raises concern for mucous plugging or a central obstructing mass. Recommend chest CT for further evaluation.

Mild patchy opacities in the left lower lobe are nonspecific and may relate to atelectasis, aspiration, or pneumonia.

Discussion

  • Right upper lobe collapse is often identified on a frontal radiograph by volume loss and opacification with upward deviation of the minor fissure
  • The Golden S sign results from the medial aspect of the minor fissure getting caught on a hilar mass while the mid and lateral portions elevate - so if you see this appearance, think about a central obstructing mass

Annotated Images & Illustrations

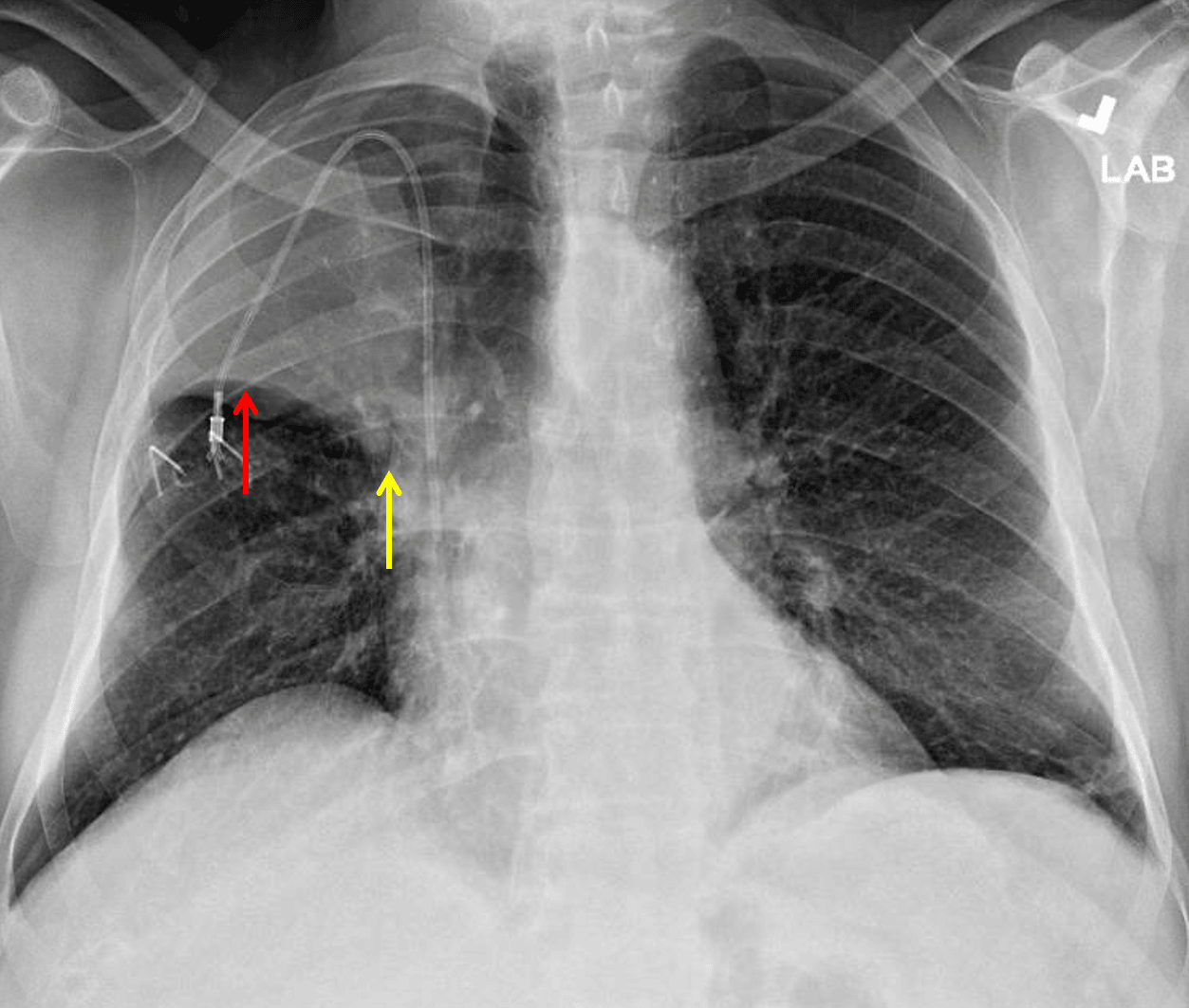
Right upper lobe collapse. The minor fissure is elevated laterally (red arrow) but not as elevated centrally (yellow arrow) raising concern for a perihilar mass.

Right upper lobe collapse. The minor fissure is elevated laterally (red arrow) but not as elevated centrally (yellow arrow) raising concern for a perihilar mass.

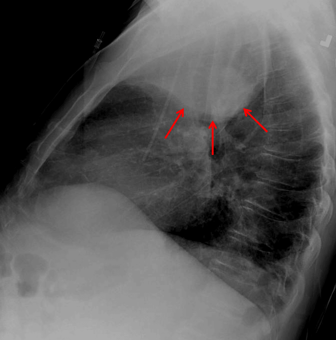
Right upper lobe collapse. Lateral view shows a paradoxical bulging appearance along the inferior margin of the collapsed lobe concerning for mass (red arrows).

Right upper lobe collapse. Lateral view shows a paradoxical bulging appearance along the inferior margin of the collapsed lobe concerning for mass (red arrows).

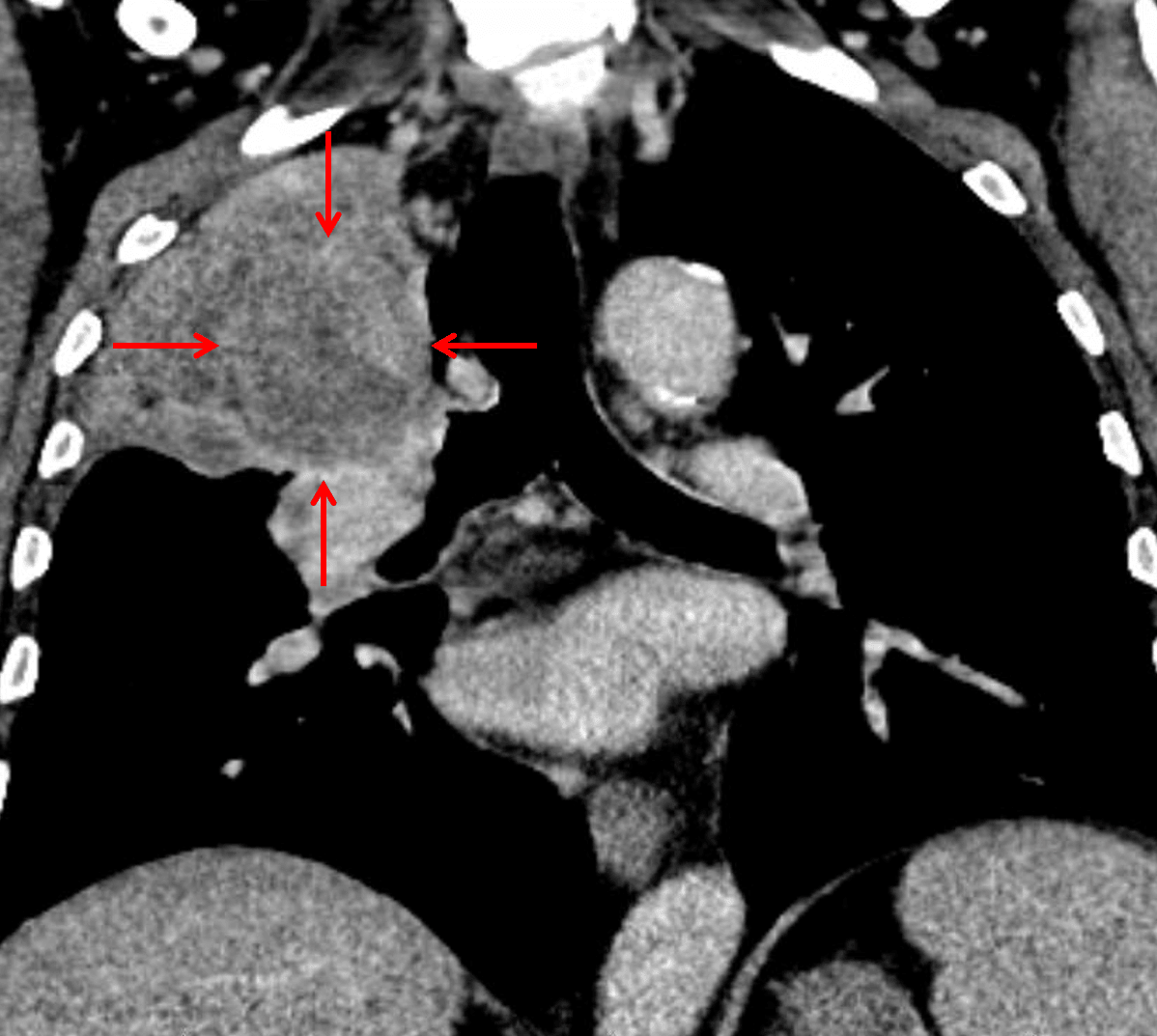
Subsequent CT confirmed the presence of a suprahilar mass with bronchial invasion (red arrows), though the mass is difficult to distinguish from the adjacent atelectatic lung.

Subsequent CT confirmed the presence of a suprahilar mass with bronchial invasion (red arrows), though the mass is difficult to distinguish from the adjacent atelectatic lung.

Right upper lobe collapse. Illustration by Valerie George, MD

Right upper lobe collapse. Illustration by Valerie George, MD

Site Feedback

Your feedback helps us improve CaseStacks. Please share your thoughts, suggestions, or report any issues you've encountered.

/5
Thank you for your feedback! We appreciate your input.