Skip to main content
Case #9

PRO Plan Required

Unlock this case with a PRO membership

Demographics: 43 years old, Female
Indication: Headache

Case #9

Findings

CT

  • Nodularity along the ependymal surface of both lateral ventricles, which is similar in attenuation to gray matter

MRI

  • Nodularity along the ependymal surface of both lateral ventricles, which follows gray matter signal on all sequences
  • No corresponding enhancement or susceptibility artifact
  • No substantial intracranial mass effect or evidence of hydrocephalus
  • Left parietal developmental venous anomaly
  • Prominent adenoids

Annotated Images & Illustrations

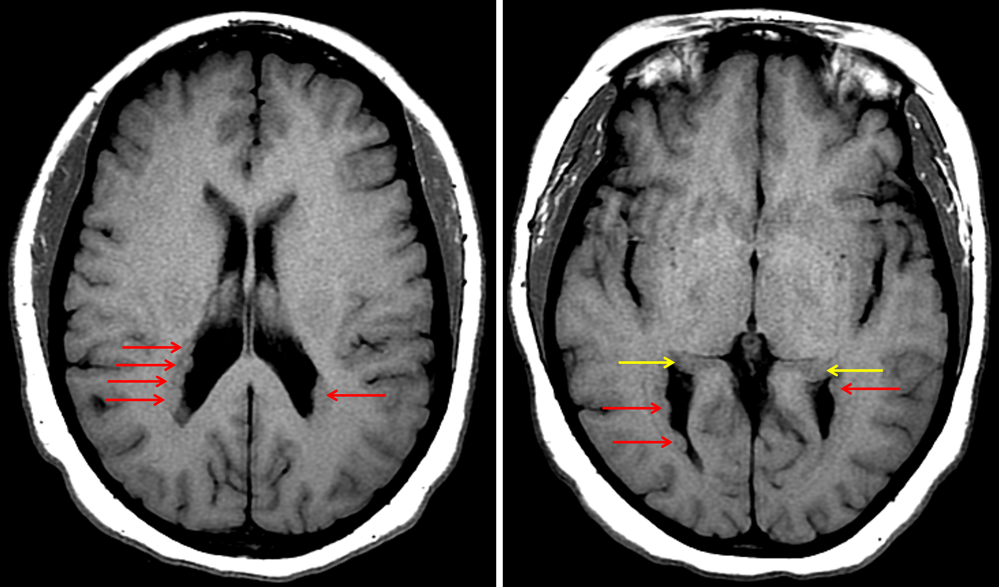
Multifocal nodular subependymal gray matter heterotopia (red arrows). Make sure not to mistake the caudate tails (yellow arrows) for gray matter heterotopia.

Multifocal nodular subependymal gray matter heterotopia (red arrows). Make sure not to mistake the caudate tails (yellow arrows) for gray matter heterotopia.

Diagnosis

Gray matter heterotopia

Key Imaging Features

Become a PRO member to unlock the key imaging features

Differential Diagnosis

Become a PRO member to unlock the differential diagnosis

Discussion

PRO Plan Required

Unlock the discussion with a PRO membership

View Plans

Pearls

Become a PRO member to unlock the pearls

Site Feedback

Your feedback helps us improve CaseStacks. Please share your thoughts, suggestions, or report any issues you've encountered.

/5
Thank you for your feedback! We appreciate your input.