Skip to main content
Case #10

PRO Plan Required

Unlock this case with a PRO membership

Demographics: 46 years old, Male
Indication: Migraines, vision changes

Case #10

Findings

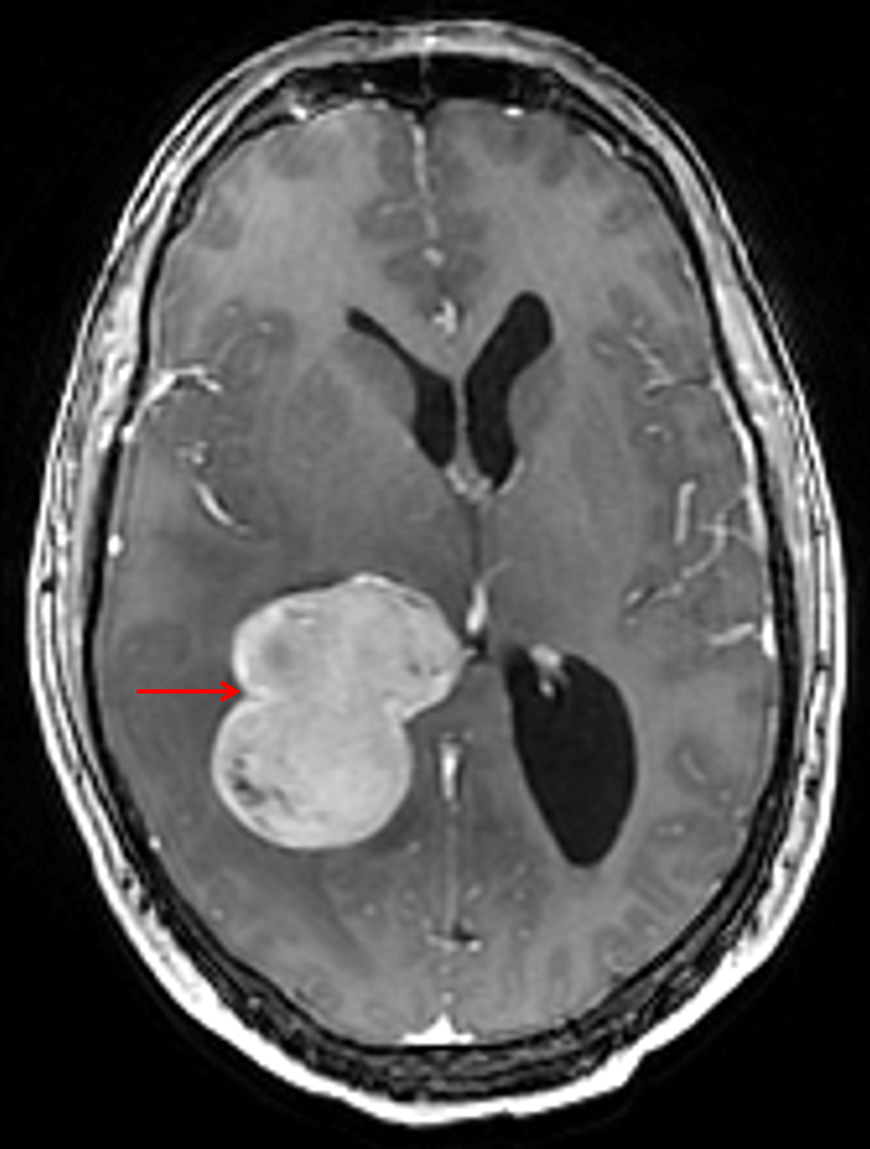
  • Homogeneously enhancing mass with lobulated contours centered in the atrium of the right lateral ventricle measuring 5.5 x 4.8 x 3.7 cm
  • Mild corresponding restricted diffusion
  • Surrounding vasogenic edema in the posterior right cerebral hemisphere
  • Associated downward mass effect on the midbrain tectum with narrowing of the cerebral aqueduct and posterior aspect of the third ventricle and resultant obstructive hydrocephalus

Annotated Images & Illustrations

Homogeneously enhancing mass centered in the atrium of the right lateral ventricle (red arrow).

Homogeneously enhancing mass centered in the atrium of the right lateral ventricle (red arrow).

Mild corresponding restricted diffusion (red arrows).

Mild corresponding restricted diffusion (red arrows).

Diagnosis

Intraventricular meningioma

Differential Diagnosis

Become a PRO member to unlock the differential diagnosis

Pearls

Become a PRO member to unlock the pearls

Site Feedback

Your feedback helps us improve CaseStacks. Please share your thoughts, suggestions, or report any issues you've encountered.

/5
Thank you for your feedback! We appreciate your input.