Skip to main content
Case #6

PRO Plan Required

Unlock this case with a PRO membership

Demographics: 9 years old, Male
Indication: Precocious puberty

Case #6

Findings

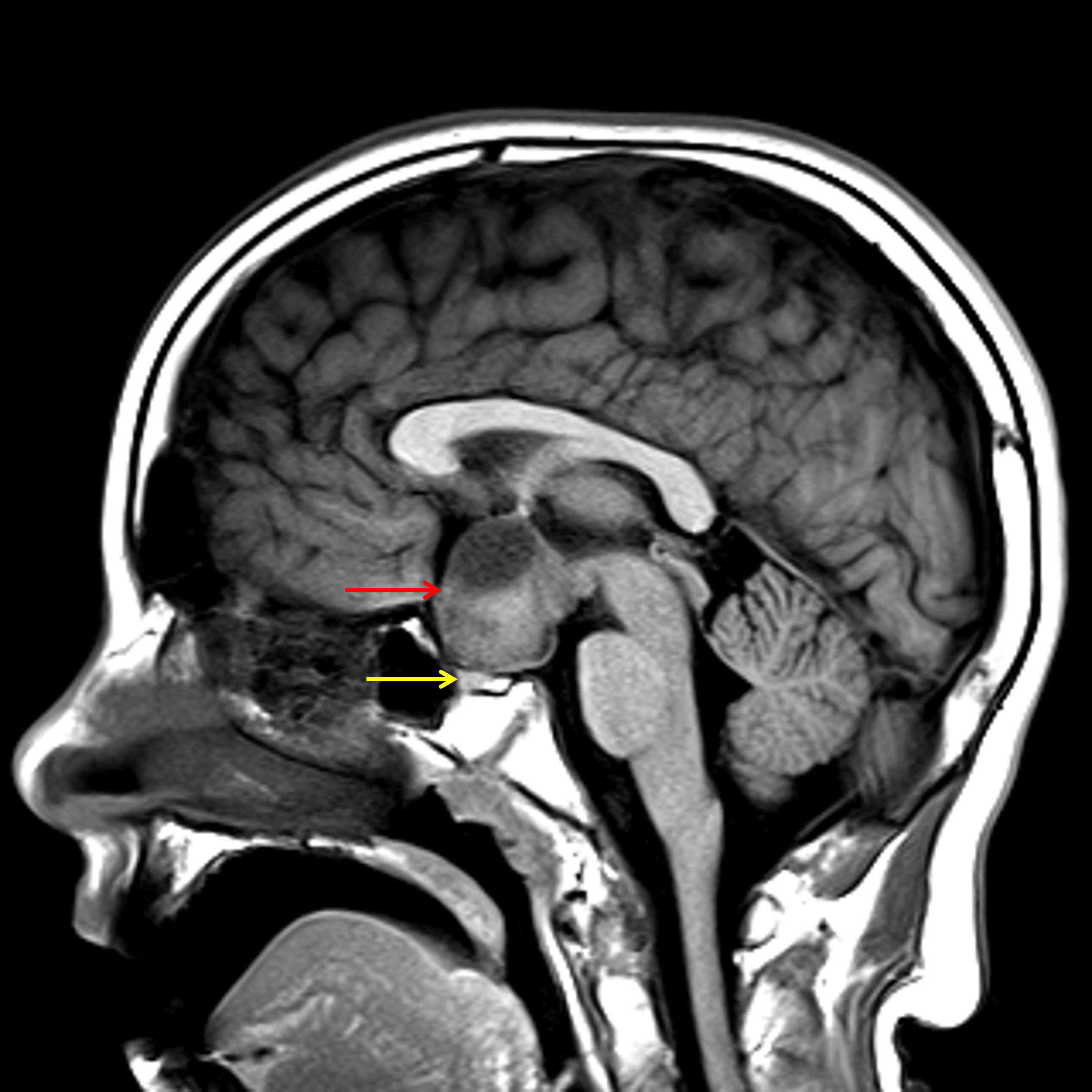
  • Suprasellar mass measuring 3.5 x 2 x 3.3 cm with heterogeneous internal T1 and T2 signal
  • Nodular enhancing component superiorly measuring up to 1.8 cm
  • The optic chiasm appears to be incorporated within the mass
  • The pituitary gland is visualized separate from the mass
  • The mass contacts the right A1 ACA segment, both supraclinoid internal carotid arteries, the basilar artery, the posterior communicating arteries, and the P1 segments of both PCAs
  • The mass also contacts and deforms the floor of the third ventricle

Annotated Images & Illustrations

Heterogeneous suprasellar mass (red arrow) which is seen separate from the pituitary gland (yellow arrow).

Heterogeneous suprasellar mass (red arrow) which is seen separate from the pituitary gland (yellow arrow).

Diagnosis

Optic pathway glioma (pilocytic astrocytoma)

Differential Diagnosis

Become a PRO member to unlock the differential diagnosis

Pearls

Become a PRO member to unlock the pearls

Site Feedback

Your feedback helps us improve CaseStacks. Please share your thoughts, suggestions, or report any issues you've encountered.

/5
Thank you for your feedback! We appreciate your input.