Skip to main content
Case #49

PRO Plan Required

Unlock this case with a PRO membership

Demographics: 39 years old, Female
Indication: Seizure

Case #49

Findings

  • Peripherally-located mass in the anterior aspect of the left frontal lobe measuring 4.5 x 5.5 x 5 cm
  • The mass is largely nonenhancing, though there may be minimal nodular enhancement along its anteromedial margin
  • Central cystic component
  • No corresponding restricted diffusion
  • No substantial surrounding vasogenic edema
  • Corresponding mass effect with local sulcal effacement and 1 cm left-to-right midline shift and subfalcine herniation anteriorly
  • No evidence of downward transtentorial herniation or hydrocephalus

Annotated Images & Illustrations

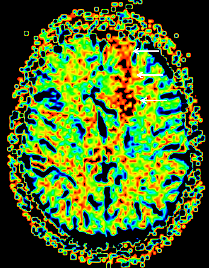
Cerebral blood volume map demonstrates relatively elevated cerebral blood volume corresponding to the left frontal mass (white arrows).

Cerebral blood volume map demonstrates relatively elevated cerebral blood volume corresponding to the left frontal mass (white arrows).

Diagnosis

Oligodendroglioma

Differential Diagnosis

Become a PRO member to unlock the differential diagnosis

Pearls

Become a PRO member to unlock the pearls

Site Feedback

Your feedback helps us improve CaseStacks. Please share your thoughts, suggestions, or report any issues you've encountered.

/5
Thank you for your feedback! We appreciate your input.