Skip to main content
Case #48

PRO Plan Required

Unlock this case with a PRO membership

Demographics: 31 years old, Male
Indication: Tinnitus

Case #48

Findings

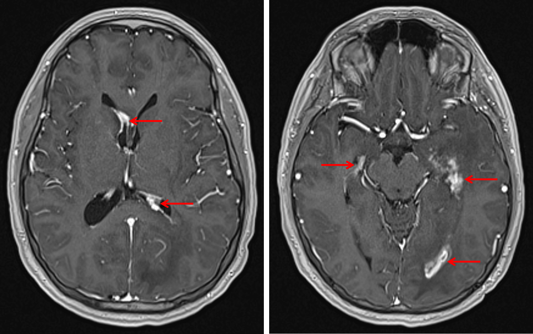
  • Multifocal nodular enhancement along the ependymal lining of the ventricular system, most notably involving the atria, temporal horn, and occipital horn of the left lateral ventricle and the frontal and temporal horns of the right lateral ventricle
  • Adjacent cerebral parenchymal edema, more pronounced in the left cerebral hemisphere
  • Corresponding mass effect with regional sulcal crowding, mild crowding of the left lateral ventricle, and minimal left-to-right midline shift
  • No evidence of herniation
  • Mild prominence of the right lateral ventricular atrium without rounding of the temporal horns or third ventricle to strongly suggest hydrocephalus

Annotated Images & Illustrations

Multiple sites of nodular enhancement along the margins of the lateral ventricles (red arrows) in this patient with neurosarcoidosis.

Multiple sites of nodular enhancement along the margins of the lateral ventricles (red arrows) in this patient with neurosarcoidosis.

Diagnosis

Neurosarcoidosis

Key Imaging Features

Become a PRO member to unlock the key imaging features

Differential Diagnosis

Become a PRO member to unlock the differential diagnosis

Discussion

PRO Plan Required

Unlock the discussion with a PRO membership

View Plans

Pearls

Become a PRO member to unlock the pearls

Site Feedback

Your feedback helps us improve CaseStacks. Please share your thoughts, suggestions, or report any issues you've encountered.

/5
Thank you for your feedback! We appreciate your input.