Skip to main content
Case #44

PRO Plan Required

Unlock this case with a PRO membership

Demographics: 55 years old, Female
Indication: Headache

Case #44

Findings

Annotated Images & Illustrations

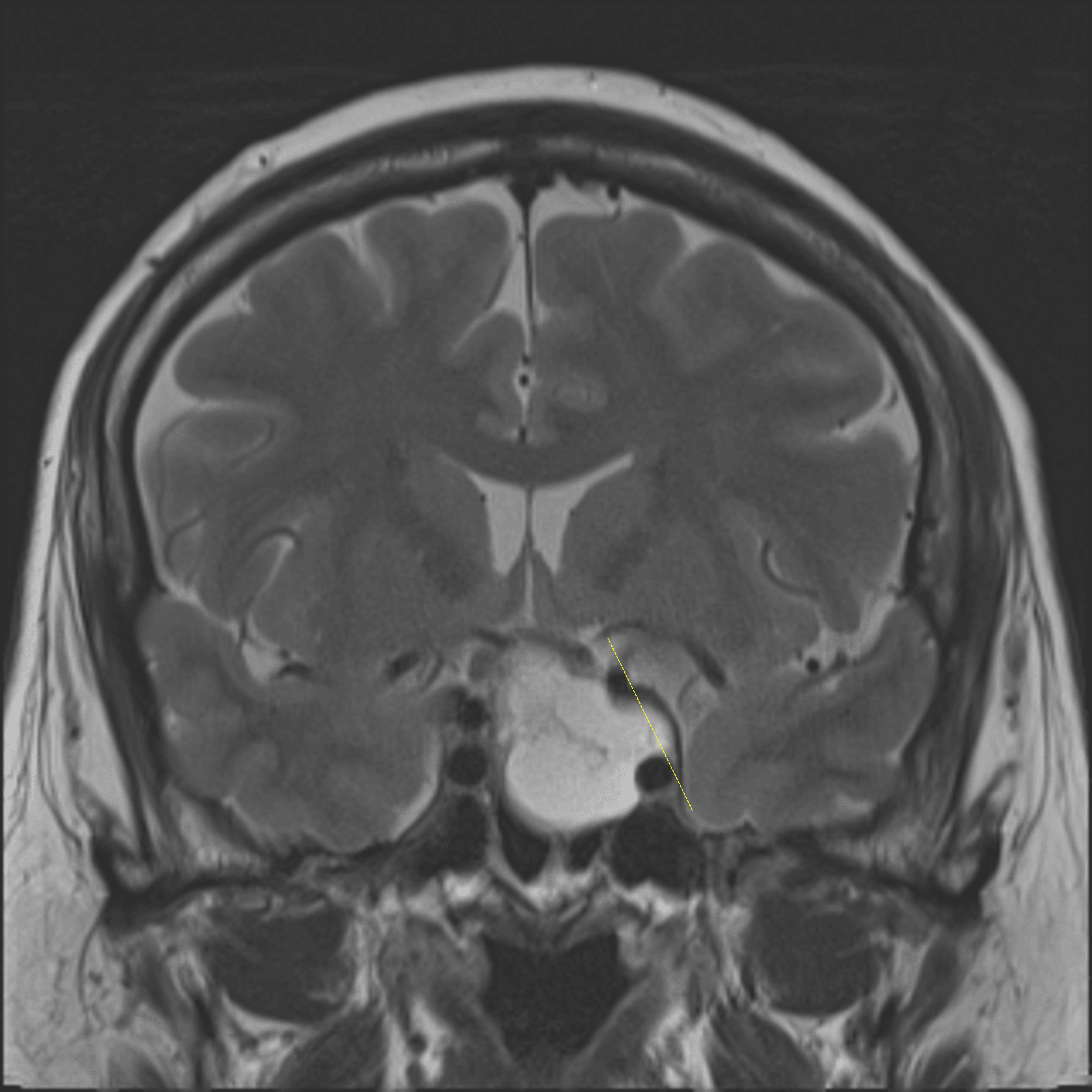
Tumor bulges lateral to the left lateral carotid tangent line (yellow dotted line), suggesting cavernous sinus invasion.

Tumor bulges lateral to the left lateral carotid tangent line (yellow dotted line), suggesting cavernous sinus invasion.

Diagnosis

Cystic pituitary macroadenoma

Differential Diagnosis

Become a PRO member to unlock the differential diagnosis

Pearls

Become a PRO member to unlock the pearls

Site Feedback

Your feedback helps us improve CaseStacks. Please share your thoughts, suggestions, or report any issues you've encountered.

/5
Thank you for your feedback! We appreciate your input.