Skip to main content
Case #4

PRO Plan Required

Unlock this case with a PRO membership

Demographics: 33 years old, Male
Indication: Focal epilepsy

Case #4

Findings

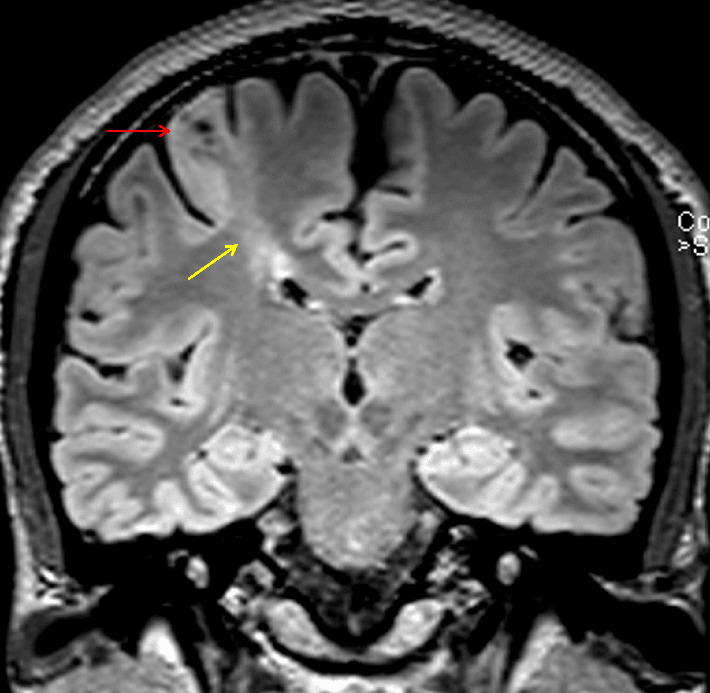
  • T2/FLAIR signal hyperintensity in the right precentral gyrus (including the hand motor knob) and extending slightly into the postcentral gyrus with blurring of the gray-white interface
  • Band of T2/FLAIR signal hyperintensity bridging this abnormal cortex and the ventricular ependymal margin
  • No substantial gyral expansion or intracranial mass effect

Annotated Images & Illustrations

Abnormal cortical thickening and T2/FLAIR signal hyperintensity (red arrow) with blurring of the gray-white junction and a band of T2/FLAIR signal hyperintensity extending to the underlying ventricular margin (yellow arrow).

Abnormal cortical thickening and T2/FLAIR signal hyperintensity (red arrow) with blurring of the gray-white junction and a band of T2/FLAIR signal hyperintensity extending to the underlying ventricular margin (yellow arrow).

Diagnosis

Focal cortical dysplasia (type II)

Key Imaging Features

Become a PRO member to unlock the key imaging features

Differential Diagnosis

Become a PRO member to unlock the differential diagnosis

Discussion

PRO Plan Required

Unlock the discussion with a PRO membership

View Plans

Pearls

Become a PRO member to unlock the pearls

Site Feedback

Your feedback helps us improve CaseStacks. Please share your thoughts, suggestions, or report any issues you've encountered.

/5
Thank you for your feedback! We appreciate your input.