Skip to main content
Case #3

PRO Plan Required

Unlock this case with a PRO membership

Demographics: 15 years old, Male
Indication: Headache

Case #3

Findings

Annotated Images & Illustrations

FLAIR hyperintense, expansile lesion in the right occipital lobe (red arrow).

FLAIR hyperintense, expansile lesion in the right occipital lobe (red arrow).

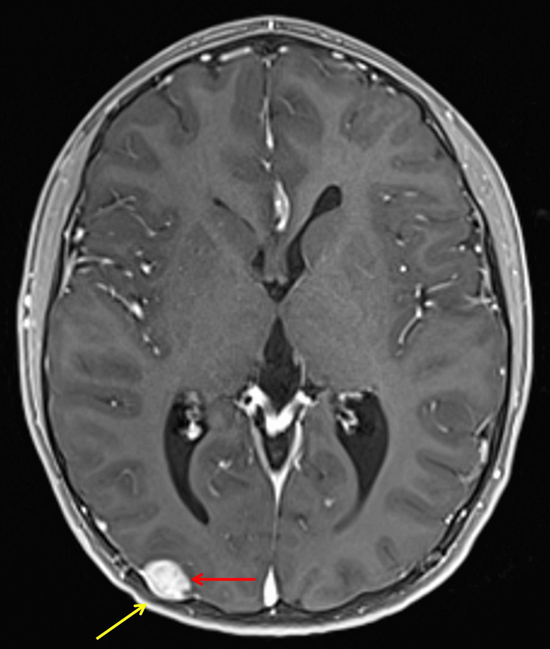
Corresponding nodular enhancement (red arrow) with overlying calvarial scalloping (yellow arrow).

Corresponding nodular enhancement (red arrow) with overlying calvarial scalloping (yellow arrow).

Diagnosis

Ganglioglioma

Differential Diagnosis

Become a PRO member to unlock the differential diagnosis

Pearls

Become a PRO member to unlock the pearls

Site Feedback

Your feedback helps us improve CaseStacks. Please share your thoughts, suggestions, or report any issues you've encountered.

/5
Thank you for your feedback! We appreciate your input.